Suppr超能文献

一种来自人类细胞的DNA解旋酶。

A DNA helicase from human cells.

作者信息

Tuteja N, Tuteja R, Rahman K, Kang L Y, Falaschi A

机构信息

International Centre for Genetic Engineering and Biotechnology, Trieste, Italy.

出版信息

Nucleic Acids Res. 1990 Dec 11;18(23):6785-92. doi: 10.1093/nar/18.23.6785.

Abstract

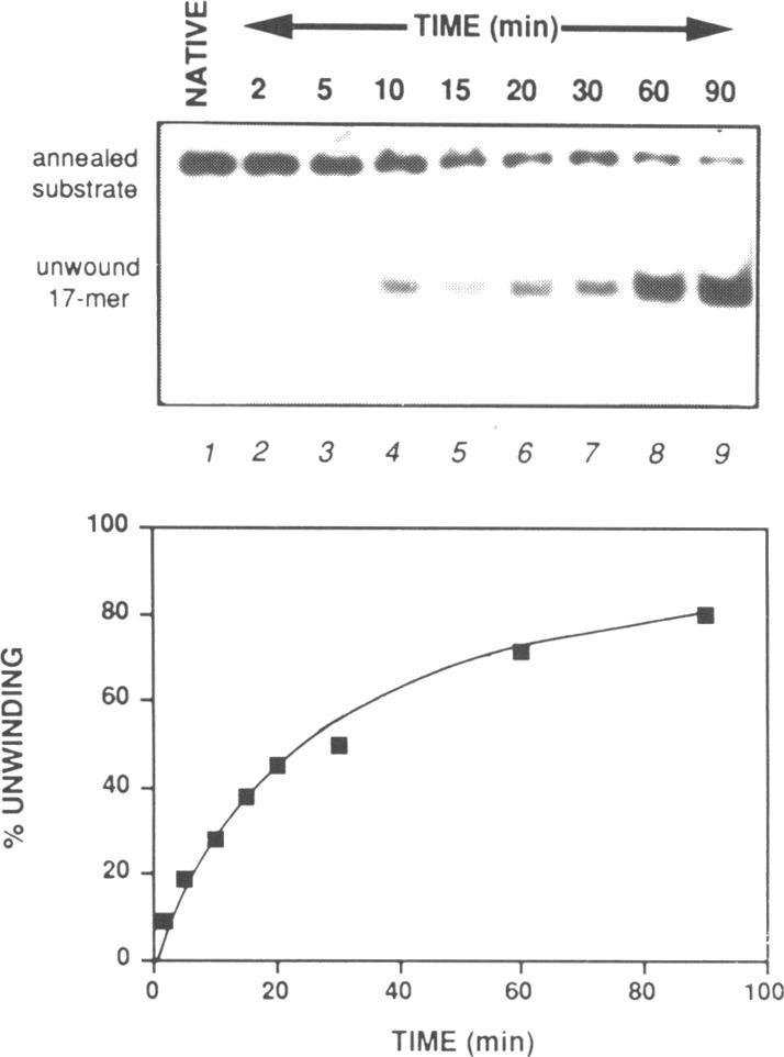
We have initiated the characterization of the DNA helicases from HeLa cells, and we have observed at least 4 molecular species as judged by their different fractionation properties. One of these only, DNA helicase I, has been purified to homogeneity and characterized. Helicase activity was measured by assaying the unwinding of a radioactively labelled oligodeoxynucleotide (17 mer) annealed to M13 DNA. The apparent molecular weight of helicase I on SDS polyacrylamide gel electrophoresis is 65 kDa. Helicase I reaction requires a divalent cation for activity (Mg2+ greater than Mn2+ greater than Ca2+) and is dependent on hydrolysis of ATP or dATP. CTP, GTP, UTP, dCTP, dGTP, dTTP, ADP, AMP and non-hydrolyzable ATP analogues such as ATP gamma S are unable to sustain helicase activity. The helicase activity has an optimal pH range between pH8.0 to pH9.0, is stimulated by KCl or NaCl up to 200mM, is inhibited by potassium phosphate (100mM) and by EDTA (5mM), and is abolished by trypsin. The unwinding is also inhibited competitively by the coaddition of single stranded DNA. The purified fraction was free of DNA topoisomerase, DNA ligase and nuclease activities. The direction of unwinding reaction is 3' to 5' with respect to the strand of DNA on which the enzyme is bound. The enzyme also catalyses the ATP-dependent unwinding of a DNA:RNA hybrid consisting of a radioactively labelled single stranded oligodeoxynucleotide (18 mer) annealed on a longer RNA strand. The enzyme does not require a single stranded DNA tail on the displaced strand at the border of duplex regions; i.e. a replication fork-like structure is not required to perform DNA unwinding. The purification of the other helicases is in progress.

摘要

我们已开始对来自HeLa细胞的DNA解旋酶进行特性分析,并且根据它们不同的分级分离特性,我们观察到至少4种分子类型。其中只有一种,即DNA解旋酶I,已被纯化至同质并进行了特性分析。通过检测与M13 DNA退火的放射性标记寡脱氧核苷酸(17聚体)的解旋来测定解旋酶活性。在SDS聚丙烯酰胺凝胶电泳上,解旋酶I的表观分子量为65 kDa。解旋酶I反应需要二价阳离子来发挥活性(Mg2+>Mn2+>Ca2+),并且依赖于ATP或dATP的水解。CTP、GTP、UTP、dCTP、dGTP、dTTP、ADP、AMP以及不可水解的ATP类似物如ATPγS均无法维持解旋酶活性。解旋酶活性的最佳pH范围在pH8.0至pH9.0之间,在KCl或NaCl浓度高达200 mM时受到刺激,受到磷酸钾(100 mM)和EDTA(5 mM)的抑制,并被胰蛋白酶消除。单链DNA的共同添加也会竞争性抑制解旋反应。纯化的组分不含DNA拓扑异构酶、DNA连接酶和核酸酶活性。解旋反应的方向相对于酶所结合的DNA链是从3'到5'。该酶还催化由与较长RNA链退火的放射性标记单链寡脱氧核苷酸(18聚体)组成的DNA:RNA杂交体的ATP依赖性解旋。该酶在双链区域边界的被置换链上不需要单链DNA尾巴;即进行DNA解旋不需要复制叉样结构。其他解旋酶的纯化工作正在进行中。

https://cdn.ncbi.nlm.nih.gov/pmc/blobs/a4b3/332732/5c4701f619de/nar00207-0051-a.jpg

文献检索

告别复杂PubMed语法,用中文像聊天一样搜索,搜遍4000万医学文献。AI智能推荐,让科研检索更轻松。

立即免费搜索

文件翻译

保留排版,准确专业,支持PDF/Word/PPT等文件格式,支持 12+语言互译。

免费翻译文档

深度研究

AI帮你快速写综述,25分钟生成高质量综述,智能提取关键信息,辅助科研写作。

立即免费体验