Suppr超能文献

利用XenoMouse技术生成并鉴定针对严重急性呼吸综合征冠状病毒具有不同结合和序列特征的人源单克隆中和抗体。

Generation and characterization of human monoclonal neutralizing antibodies with distinct binding and sequence features against SARS coronavirus using XenoMouse.

作者信息

Coughlin Melissa, Lou Gin, Martinez Osvaldo, Masterman Stephanie K, Olsen Ole A, Moksa Angelica A, Farzan Michael, Babcook John S, Prabhakar Bellur S

机构信息

Department of Microbiology and Immunology (MC790) College of Medicine, University of Illinois at Chicago, Room E705. 835 S. Wolcott AveChicago, IL 60612, USA.

出版信息

Virology. 2007 Apr 25;361(1):93-102. doi: 10.1016/j.virol.2006.09.029. Epub 2006 Dec 11.

Abstract

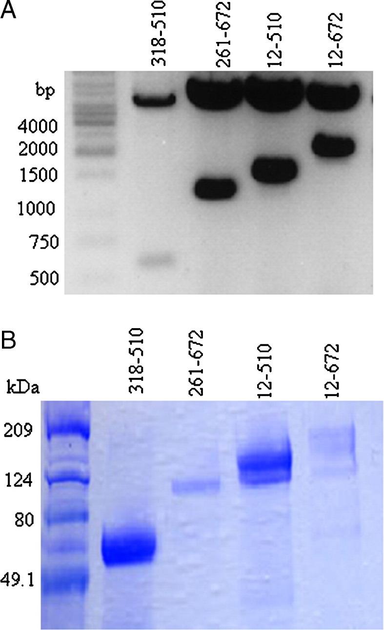
Passive therapy with neutralizing human monoclonal antibodies (mAbs) could be an effective therapy against severe acute respiratory syndrome coronavirus (SARS-CoV). Utilizing the human immunoglobulin transgenic mouse, XenoMouse, we produced fully human SARS-CoV spike (S) protein specific antibodies. Antibodies were examined for reactivity against a recombinant S1 protein, to which 200 antibodies reacted. Twenty-seven antibodies neutralized 200TCID(50) SARS-CoV (Urbani). Additionally, 57 neutralizing antibodies were found that are likely specific to S2. Mapping of the binding region was achieved with several S1 recombinant proteins. Most S1 reactive neutralizing mAbs bound to the RBD, aa 318-510. However, two S1 specific mAbs reacted with a domain upstream of the RBD between aa 12 and 261. Immunoglobulin gene sequence analyses suggested at least 8 different binding specificities. Unique human mAbs could be used as a cocktail that would simultaneously target several neutralizing epitopes and prevent emergence of escape mutants.

摘要

用中和性人单克隆抗体(mAb)进行被动治疗可能是对抗严重急性呼吸综合征冠状病毒(SARS-CoV)的有效疗法。利用人免疫球蛋白转基因小鼠XenoMouse,我们制备了完全人源的针对SARS-CoV刺突(S)蛋白的特异性抗体。检测抗体与重组S1蛋白的反应性,有200种抗体发生反应。27种抗体中和了200个组织培养感染剂量(50%)的SARS-CoV(乌尔巴尼株)。此外,还发现了57种可能对S2特异的中和抗体。用几种S1重组蛋白实现了结合区域的定位。大多数与S1反应的中和性mAb与受体结合域(RBD)(氨基酸318 - 510)结合。然而,两种S1特异性mAb与RBD上游氨基酸12至261之间的一个结构域发生反应。免疫球蛋白基因序列分析表明至少有8种不同的结合特异性。独特的人源mAb可以用作一种混合物,同时靶向多个中和表位并防止逃逸突变体的出现。

https://cdn.ncbi.nlm.nih.gov/pmc/blobs/7f99/7103293/ab2719b3c7a3/gr1_lrg.jpg

文献AI研究员

20分钟写一篇综述,助力文献阅读效率提升50倍。

立即体验

用中文搜PubMed

大模型驱动的PubMed中文搜索引擎

马上搜索

文档翻译

学术文献翻译模型,支持多种主流文档格式。

立即体验