Suppr超能文献

CyberKnife 放射外科治疗复杂颅底肿瘤:治疗计划参数分析。

CyberKnife radiosurgery in the treatment of complex skull base tumors: analysis of treatment planning parameters.

机构信息

Department of Neurosurgery, Georgetown University Hospital, USA.

出版信息

Radiat Oncol. 2006 Dec 16;1:46. doi: 10.1186/1748-717X-1-46.

Abstract

BACKGROUND

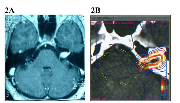
Tumors of the skull base pose unique challenges to radiosurgical treatment because of their irregular shapes, proximity to critical structures and variable tumor volumes. In this study, we investigate whether acceptable treatment plans with excellent conformity and homogeneity can be generated for complex skull base tumors using the Cyberknife radiosurgical system.

METHODS

At Georgetown University Hospital from March 2002 through May 2005, the CyberKnife was used to treat 80 patients with 82 base of skull lesions. Tumors were classified as simple or complex based on their proximity to adjacent critical structures. All planning and treatments were performed by the same radiosurgery team with the goal of minimizing dosage to adjacent critical structures and maximizing target coverage. Treatments were fractionated to allow for safer delivery of radiation to both large tumors and tumors in close proximity to critical structures.

RESULTS

The CyberKnife treatment planning system was capable of generating highly conformal and homogeneous plans for complex skull base tumors. The treatment planning parameters did not significantly vary between spherical and non-spherical target volumes. The treatment parameters obtained from the plans of the complex base of skull group, including new conformity index, homogeneity index and percentage tumor coverage, were not significantly different from those of the simple group.

CONCLUSION

Our data indicate that CyberKnife treatment plans with excellent homogeneity, conformity and percent target coverage can be obtained for complex skull base tumors. Longer follow-up will be required to determine the safety and efficacy of fractionated treatment of these lesions with this radiosurgical system.

摘要

背景

由于颅骨基底肿瘤的形状不规则、靠近关键结构以及肿瘤体积变化等因素,给放射外科治疗带来了独特的挑战。本研究旨在探讨 Cyberknife 放射外科系统是否能够为复杂颅骨基底肿瘤生成具有良好适形性和均匀性的治疗计划。

方法

2002 年 3 月至 2005 年 5 月,在乔治敦大学医院,使用 CyberKnife 治疗了 80 例 82 例颅骨基底病变患者。根据肿瘤与邻近关键结构的接近程度,将肿瘤分为简单或复杂。所有的规划和治疗均由同一位放射外科医生团队完成,目标是将相邻关键结构的剂量最小化,同时最大化目标覆盖范围。治疗采用分次进行,以确保对大肿瘤和紧邻关键结构的肿瘤更安全地进行放射治疗。

结果

CyberKnife 治疗计划系统能够为复杂颅骨基底肿瘤生成高度适形和均匀的治疗计划。球形和非球形靶体积的治疗计划参数无显著差异。复杂颅骨基底组的计划获得的治疗参数,包括新适形指数、均匀性指数和肿瘤覆盖率百分比,与简单组无显著差异。

结论

我们的数据表明,对于复杂颅骨基底肿瘤,可以获得具有良好均匀性、适形性和目标覆盖率的 CyberKnife 治疗计划。需要更长的随访时间来确定该放射外科系统对这些病变进行分次治疗的安全性和有效性。

https://cdn.ncbi.nlm.nih.gov/pmc/blobs/6a8a/1764417/b2abb2df426f/1748-717X-1-46-1.jpg

文献AI研究员

20分钟写一篇综述,助力文献阅读效率提升50倍。

立即体验

用中文搜PubMed

大模型驱动的PubMed中文搜索引擎

马上搜索

文档翻译

学术文献翻译模型,支持多种主流文档格式。

立即体验