Suppr超能文献

反式作用病毒蛋白酶对于禽白血病病毒逆转录酶的激活是必需且充分的。

trans-acting viral protease is necessary and sufficient for activation of avian leukosis virus reverse transcriptase.

作者信息

Stewart L, Vogt V M

机构信息

Section of Biochemistry, Molecular and Cell Biology, Cornell University, Ithaca, New York 14853.

出版信息

J Virol. 1991 Nov;65(11):6218-31. doi: 10.1128/JVI.65.11.6218-6231.1991.

Abstract

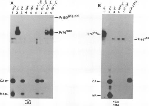
The structural and enzymatic components of retroviral cores are formed by proteolytic cleavage of precursor polypeptides, mediated by the viral protease (PR). We described previously the construction of PR-defective avian leukosis viruses. These mutant viruses are noninfectious, and their major internal components are the uncleaved gag and gag-pol polyproteins (Pr76gag and Pr180gag-pol). The reverse transcriptase (RT) activity associated with the PR-defective virions is approximately 500-fold reduced relative to that of wild-type virions, suggesting that specific cleavages activate RT activity. To gain a better understanding of the role that PR plays in the processing and activation of RT, we performed complementation experiments wherein wild-type or PR mutant gag precursors were separately coexpressed with frame-corrected wild-type or PR mutant gag-pol precursors. The results demonstrate that, as in other retrovirus systems, gag-pol precursors can be assembled into virions only when they are rescued by a gag precursor. If the gag precursor is wild type, then the rescued Pr180gag-pol is completely and properly matured, irrespective of whether its embedded PR domain is wild type or mutant. In both cases, the virions produced are fully and equally infectious. This indicates that an active-site mutation in the PR domain of the gag-pol precursor has no effect on avian leukosis virus infectivity when particles are assembled from wild-type gag precursors. In contrast, if the gag precursor has an active-site mutation in PR or is deleted for PR, then the virions are noninfectious and the gag and gag-pol precursors remain unprocessed, even if the embedded PR domain of Pr180gag-pol is wild type. Thus, in this system, virion-associated Pr180gag-pol displays no detectable cis- or trans-acting PR activity. As assayed with an exogenous template, virions with processed gag-pol polyprotein display high levels of RT activity while those with unprocessed Pr180gag-pol display greatly reduced RT activity. These results demonstrate that during virion assembly, the PR supplied by a gag precursor is both necessary and sufficient for trans-activation of RT through proteolytic maturation of copackaged gag-pol polyprotein.

摘要

逆转录病毒核心的结构和酶成分是由病毒蛋白酶(PR)介导的前体多肽的蛋白水解切割形成的。我们之前描述了PR缺陷型禽白血病病毒的构建。这些突变病毒无感染性,其主要内部成分是未切割的gag和gag-pol多蛋白(Pr76gag和Pr180gag-pol)。与PR缺陷型病毒粒子相关的逆转录酶(RT)活性相对于野生型病毒粒子降低了约500倍,这表明特定的切割激活了RT活性。为了更好地理解PR在RT加工和激活中的作用,我们进行了互补实验,其中野生型或PR突变型gag前体分别与框架校正的野生型或PR突变型gag-pol前体共表达。结果表明,与其他逆转录病毒系统一样,gag-pol前体只有在被gag前体拯救时才能组装成病毒粒子。如果gag前体是野生型,那么被拯救的Pr180gag-pol会完全且正确地成熟,无论其嵌入的PR结构域是野生型还是突变型。在这两种情况下,产生的病毒粒子都具有完全相同的感染性。这表明当从野生型gag前体组装颗粒时,gag-pol前体PR结构域中的活性位点突变对禽白血病病毒的感染性没有影响。相反,如果gag前体在PR中有活性位点突变或PR缺失,那么病毒粒子无感染性,gag和gag-pol前体仍未加工,即使Pr180gag-pol嵌入的PR结构域是野生型。因此,在这个系统中,与病毒粒子相关的Pr180gag-pol没有可检测到的顺式或反式作用PR活性。用外源模板检测时,具有加工后的gag-pol多蛋白的病毒粒子显示出高水平的RT活性,而具有未加工的Pr180gag-pol的病毒粒子显示出大大降低的RT活性。这些结果表明,在病毒粒子组装过程中,gag前体提供的PR对于通过共包装的gag-pol多蛋白的蛋白水解成熟来反式激活RT既是必要的也是充分的。

https://cdn.ncbi.nlm.nih.gov/pmc/blobs/1a01/250316/b617de5025b0/jvirol00054-0580-a.jpg

文献AI研究员

20分钟写一篇综述,助力文献阅读效率提升50倍。

立即体验

用中文搜PubMed

大模型驱动的PubMed中文搜索引擎

马上搜索

文档翻译

学术文献翻译模型,支持多种主流文档格式。

立即体验