Mao Guogen, Pan Xiaoyu, Zhu Bei-Bei, Zhang Yanbin, Yuan Fenghua, Huang Jian, Lovell Mark A, Lee Maxwell P, Markesbery William R, Li Guo-Min, Gu Liya
Graduate Center for Toxicology, University of Kentucky, Lexington, KY, USA.
Nucleic Acids Res. 2007;35(8):2759-66. doi: 10.1093/nar/gkm189. Epub 2007 Apr 10.
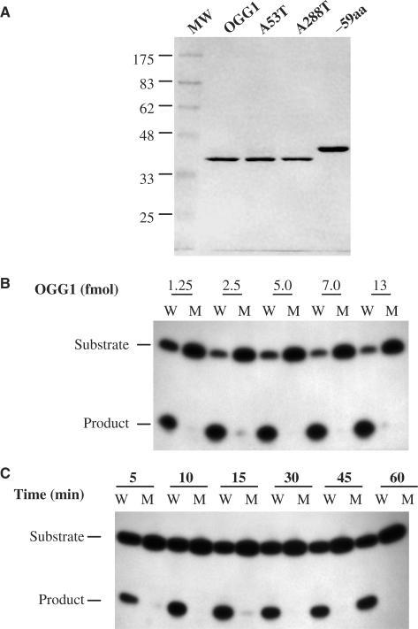
Patients with Alzheimer's disease (AD) exhibit higher levels of 8-oxo-guanine (8-oxoG) DNA lesions in their brain, suggesting a reduced or defective 8-oxoG repair. To test this hypothesis, this study investigated 14 AD patients and 10 age-matched controls for mutations of the major 8-oxoG removal gene OGG1. Whereas no alterations were detected in any control samples, four AD patients exhibited mutations in OGG1, two carried a common single base (C796) deletion that alters the carboxyl terminal sequence of OGG1, and the other two had nucleotide alterations leading to single amino acid substitutions. In vitro biochemical assays revealed that the protein encoded by the C796-deleted OGG1 completely lost its 8-oxoG glycosylase activity, and that the two single residue-substituted OGG1 proteins showed a significant reduction in the glycosylase activity. These results were consistent with the fact that nuclear extracts derived from a limited number of AD patients with OGG1 mutations exhibited greatly reduced 8-oxoG glycosylase activity compared with age-matched controls and AD patients without OGG1 alterations. Our findings suggest that defects in OGG1 may be important in the pathogenesis of AD in a significant fraction of AD patients and provide new insight into the molecular basis for the disease.
阿尔茨海默病(AD)患者大脑中8-氧代鸟嘌呤(8-oxoG)DNA损伤水平较高,这表明8-oxoG修复功能降低或存在缺陷。为验证这一假设,本研究调查了14例AD患者和10例年龄匹配的对照者主要的8-oxoG去除基因OGG1的突变情况。在任何对照样本中均未检测到改变,而4例AD患者的OGG1存在突变,其中2例携带一个常见的单碱基(C796)缺失,该缺失改变了OGG1的羧基末端序列,另外2例有核苷酸改变导致单个氨基酸替换。体外生化分析表明,C796缺失的OGG1编码的蛋白质完全丧失了其8-oxoG糖基化酶活性,并且两个单残基替换的OGG1蛋白质的糖基化酶活性显著降低。这些结果与以下事实一致:与年龄匹配的对照者和无OGG1改变的AD患者相比,从有限数量的有OGG1突变的AD患者获得的核提取物显示8-oxoG糖基化酶活性大大降低。我们的研究结果表明,在相当一部分AD患者中,OGG1缺陷可能在AD发病机制中起重要作用,并为该疾病的分子基础提供了新的见解。