Suppr超能文献

小鼠膀胱对膀胱内卡介苗(BCG)反应的鉴别指标。

Discriminators of mouse bladder response to intravesical Bacillus Calmette-Guerin (BCG).

作者信息

Saban Marcia R, Simpson Cindy, Davis Carole, Wallis Gemma, Knowlton Nicholas, Frank Mark Barton, Centola Michael, Gallucci Randle M, Saban Ricardo

机构信息

College of Medicine, Department of Physiology, Oklahoma University Health Sciences Center, Ohlahoma City, OK 73104, USA.

出版信息

BMC Immunol. 2007 May 16;8:6. doi: 10.1186/1471-2172-8-6.

Abstract

BACKGROUND

Intravesical Bacillus Calmette-Guerin (BCG) is an effective treatment for bladder superficial carcinoma and it is being tested in interstitial cystitis patients, but its precise mechanism of action remains poorly understood. It is not clear whether BCG induces the release of a unique set of cytokines apart from its pro-inflammatory effects. Therefore, we quantified bladder inflammatory responses and alterations in urinary cytokine protein induced by intravesical BCG and compared the results to non-specific pro-inflammatory stimuli (LPS and TNF-alpha). We went further to determine whether BCG treatment alters cytokine gene expression in the urinary bladder.

METHODS

C57BL/6 female mice received four weekly instillations of BCG, LPS, or TNF-alpha. Morphometric analyses were conducted in bladders isolated from all groups and urine was collected for multiplex analysis of 18 cytokines. In addition, chromatin immune precipitation combined with real-time polymerase chain reaction assay (CHIP/Q-PCR) was used to test whether intravesical BCG would alter bladder cytokine gene expression.

RESULTS

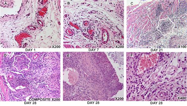
Acute BCG instillation induced edema which was progressively replaced by an inflammatory infiltrate, composed primarily of neutrophils, in response to weekly administrations. Our morphological analysis suggests that these polymorphonuclear neutrophils are of prime importance for the bladder responses to BCG. Overall, the inflammation induced by BCG was higher than LPS or TNF-alpha treatment but the major difference observed was the unique granuloma formation in response to BCG. Among the cytokines measured, this study highlighted the importance of IL-1beta, IL-2, IL-3, IL-4, IL-6, IL-10, IL-17, GM-CSF, KC, and Rantes as discriminators between generalized inflammation and BCG-specific inflammatory responses. CHIP/Q-PCR indicates that acute BCG instillation induced an up-regulation of IL-17A, IL-17B, and IL-17RA, whereas chronic BCG induced IL-17B, IL-17RA, and IL-17RB.

CONCLUSION

To the best of our knowledge, the present work is the first to report that BCG induces an increase in the IL-17 family genes. In addition, BCG induces a unique type of persisting bladder inflammation different from TNF-alpha, LPS, and, most likely, other classical pro-inflammatory stimuli.

摘要

背景

膀胱内灌注卡介苗(BCG)是治疗膀胱浅表癌的一种有效方法,目前正在间质性膀胱炎患者中进行试验,但其确切作用机制仍知之甚少。尚不清楚卡介苗除了具有促炎作用外,是否还能诱导释放一组独特的细胞因子。因此,我们对膀胱内灌注卡介苗诱导的膀胱炎症反应和尿中细胞因子蛋白的变化进行了定量,并将结果与非特异性促炎刺激物(脂多糖和肿瘤坏死因子-α)进行了比较。我们进一步确定卡介苗治疗是否会改变膀胱中的细胞因子基因表达。

方法

C57BL/6雌性小鼠每周接受4次卡介苗、脂多糖或肿瘤坏死因子-α的灌注。对所有组分离的膀胱进行形态计量分析,并收集尿液用于18种细胞因子的多重分析。此外,采用染色质免疫沉淀结合实时聚合酶链反应分析(CHIP/Q-PCR)来检测膀胱内灌注卡介苗是否会改变膀胱细胞因子基因表达。

结果

急性灌注卡介苗会诱导水肿,随着每周给药,水肿逐渐被主要由中性粒细胞组成的炎性浸润所取代。我们的形态学分析表明,这些多形核中性粒细胞对膀胱对卡介苗的反应至关重要。总体而言,卡介苗诱导的炎症高于脂多糖或肿瘤坏死因子-α治疗,但观察到的主要差异是对卡介苗产生的独特肉芽肿形成。在所检测的细胞因子中,本研究强调了白细胞介素-1β、白细胞介素-2、白细胞介素-3、白细胞介素-4、白细胞介素-6、白细胞介素-10、白细胞介素-17、粒细胞巨噬细胞集落刺激因子、KC和调节激活正常T细胞表达和分泌因子作为全身性炎症和卡介苗特异性炎症反应鉴别指标的重要性。CHIP/Q-PCR表明,急性灌注卡介苗会诱导白细胞介素-17A、白细胞介素-17B和白细胞介素-17RA上调,而慢性灌注卡介苗会诱导白细胞介素-17B、白细胞介素-17RA和白细胞介素-17RB上调。

结论

据我们所知,本研究首次报道卡介苗可诱导白细胞介素-17家族基因增加。此外,卡介苗诱导的是一种独特类型的持续性膀胱炎症,不同于肿瘤坏死因子-α、脂多糖,很可能也不同于其他经典促炎刺激物。

https://cdn.ncbi.nlm.nih.gov/pmc/blobs/db1a/1891101/8a69d9947640/1471-2172-8-6-1.jpg

文献AI研究员

20分钟写一篇综述,助力文献阅读效率提升50倍。

立即体验

用中文搜PubMed

大模型驱动的PubMed中文搜索引擎

马上搜索

文档翻译

学术文献翻译模型,支持多种主流文档格式。

立即体验