• 文献检索
  • 文档翻译
  • 深度研究
  • 学术资讯
  • Suppr Zotero 插件Zotero 插件
  • 邀请有礼
  • 套餐&价格
  • 历史记录
应用&插件
Suppr Zotero 插件Zotero 插件浏览器插件Mac 客户端Windows 客户端微信小程序
定价
高级版会员购买积分包购买API积分包
服务
文献检索文档翻译深度研究API 文档MCP 服务
关于我们
关于 Suppr公司介绍联系我们用户协议隐私条款
关注我们

Suppr 超能文献

核心技术专利:CN118964589B侵权必究
粤ICP备2023148730 号-1Suppr @ 2026

文献检索

告别复杂PubMed语法,用中文像聊天一样搜索,搜遍4000万医学文献。AI智能推荐,让科研检索更轻松。

立即免费搜索

文件翻译

保留排版,准确专业,支持PDF/Word/PPT等文件格式,支持 12+语言互译。

免费翻译文档

深度研究

AI帮你快速写综述,25分钟生成高质量综述,智能提取关键信息,辅助科研写作。

立即免费体验

多发性骨髓瘤的一种罕见表现:病例报告

An unusual presentation of multiple myeloma: a case report.

作者信息

Molloy Catherine B, Peck Rahul A, Bonny Stephen J, Jowitt Simon N, Denton John, Freemont Anthony J, Ismail Abbas A

机构信息

Rheumatology, St, Michaels Hospital, Toronto, Canada.

出版信息

J Med Case Rep. 2007 Sep 10;1:84. doi: 10.1186/1752-1947-1-84.

DOI:10.1186/1752-1947-1-84
PMID:17845728
原文链接:https://pmc.ncbi.nlm.nih.gov/articles/PMC2075505/
Abstract

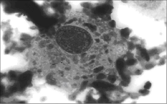
Multiple myeloma can occasionally manifest with joint disease. We report the case of an individual with a progressive bilateral carpal syndrome and a symmetrical severe seronegative polyarthritis and joint swelling. Investigations revealed an erosive seronegative inflammatory arthritis in association with bilateral carpal tunnel syndrome, anaemia, hepatic impairment and nephrotic-range proteinuria. Synovial fluid cytology demonstrated plasmablasts and multinucleated cells with products of chondrolysis. The diagnosis of multiple myeloma (with secondary amyloidosis) was made on serum protein electrophoresis and bone marrow biopsy.The relationship between myeloma and joint disease is discussed, highlighted by the presence in this case of all three pathogenic features associated with arthritis in myeloma patients- an erosive arthritis, carpal tunnel syndrome and an invasive tumoural arthritis.

摘要

多发性骨髓瘤偶尔可表现为关节疾病。我们报告一例患有进行性双侧腕管综合征、对称性重度血清阴性多关节炎及关节肿胀的患者。检查发现为侵蚀性血清阴性炎性关节炎,伴有双侧腕管综合征、贫血、肝功能损害及肾病范围蛋白尿。滑膜液细胞学检查显示有浆母细胞和多核细胞以及软骨溶解产物。通过血清蛋白电泳和骨髓活检确诊为多发性骨髓瘤(伴继发性淀粉样变性)。本文讨论了骨髓瘤与关节疾病之间的关系,本病例中出现的骨髓瘤患者关节炎相关的所有三种致病特征——侵蚀性关节炎、腕管综合征及侵袭性肿瘤性关节炎,突出了这种关系。

https://cdn.ncbi.nlm.nih.gov/pmc/blobs/f331/2075505/4f860d11e0a2/1752-1947-1-84-1.jpg
https://cdn.ncbi.nlm.nih.gov/pmc/blobs/f331/2075505/4f860d11e0a2/1752-1947-1-84-1.jpg
https://cdn.ncbi.nlm.nih.gov/pmc/blobs/f331/2075505/4f860d11e0a2/1752-1947-1-84-1.jpg

相似文献

1
An unusual presentation of multiple myeloma: a case report.多发性骨髓瘤的一种罕见表现:病例报告
J Med Case Rep. 2007 Sep 10;1:84. doi: 10.1186/1752-1947-1-84.
2
Amyloidosis mimicking rheumatoid arthritis.酷似类风湿关节炎的淀粉样变性病。
Clin Rheumatol. 1998;17(5):409-11. doi: 10.1007/BF01450905.
3
Pyoderma gangrenosum: clinical and laboratory findings in 15 patients with special reference to polyarthritis.坏疽性脓皮病:15例患者的临床及实验室检查结果,特别提及多关节炎
Medicine (Baltimore). 1980 Mar;59(2):114-33.
4
Systemic amyloidosis: unusual presentation mistaken for a recurrent scabies infection.系统性淀粉样变性:被误诊为复发性疥疮感染的不寻常表现。
Cutis. 2014 Jun;93(6):311-5.
5
Amyloid arthropathy associated with multiple myeloma: a systematic analysis of 101 reported cases.与多发性骨髓瘤相关的淀粉样变关节病:101 例报告病例的系统分析。
Semin Arthritis Rheum. 2013 Dec;43(3):405-12. doi: 10.1016/j.semarthrit.2013.07.004. Epub 2013 Aug 28.
6
Monoclonal gammopathies presenting as inflammatory arthritis: uncommon but important--a case series.以炎症性关节炎为表现的单克隆丙种球蛋白病:不常见但很重要——病例系列。
Int J Rheum Dis. 2012 Jun;15(3):336-9. doi: 10.1111/j.1756-185X.2012.01727.x.
7
Combined bilateral submandibular and sublingual swelling, macroglossus, and carpal tunnel syndrome caused by light chain amyloidosis.轻链型淀粉样变性引起的双侧颌下和舌下联合肿胀、巨舌及腕管综合征。
Ear Nose Throat J. 1998 Feb;77(2):95-8, 100-1.
8
A study of amyloid arthropathy in multiple myeloma.多发性骨髓瘤中淀粉样变关节病的一项研究。
Q J Med. 1981 Autumn;50(200):417-33.
9
Scleroderma-like illness as a presenting feature of multiple myeloma and amyloidosis.硬皮病样疾病作为多发性骨髓瘤和淀粉样变性的首发特征。
J Clin Rheumatol. 2008 Jun;14(3):161-5. doi: 10.1097/RHU.0b013e3181775a15.
10
Amyloidosis, macroglossia, and carpal tunnel syndrome associated with myeloma.淀粉样变性、巨舌症与骨髓瘤相关的腕管综合征。
J Oral Surg. 1975 Sep;33(9):690-2.

引用本文的文献

1
A Rare Presentation of Multiple Myeloma With Spontaneous Haematoma.多发性骨髓瘤伴自发性血肿的罕见表现
Cureus. 2024 Jul 8;16(7):e64077. doi: 10.7759/cureus.64077. eCollection 2024 Jul.
2
A case of multiple myeloma misdiagnosed as seronegative rheumatoid arthritis: a rare case report.一例误诊为血清阴性类风湿关节炎的多发性骨髓瘤:罕见病例报告
Ann Med Surg (Lond). 2024 Apr 24;86(6):3721-3723. doi: 10.1097/MS9.0000000000002088. eCollection 2024 Jun.
3
A Case of Multiple Myeloma Misdiagnosed as Seronegative Rheumatoid Arthritis and Review of Relevant Literature.

本文引用的文献

1
Tumoral joint involvement in multiple myeloma and Waldenström's macroglobulinemia--report of 4 cases.
J Rheumatol. 1996 Dec;23(12):2175-8.
2
Arthritis associated with monoclonal gammapathy: clinical characteristics.
Br J Rheumatol. 1996 Mar;35(3):241-3. doi: 10.1093/rheumatology/35.3.241.
3
Leukemic arthritis.白血病性关节炎
Semin Arthritis Rheum. 1994 Aug;24(1):48-56. doi: 10.1016/0049-0172(94)90099-x.
4
1例多发性骨髓瘤误诊为血清阴性类风湿关节炎并文献复习
Case Rep Rheumatol. 2018 Oct 11;2018:9746241. doi: 10.1155/2018/9746241. eCollection 2018.
Arthritis associated with a crystallizing cryoprecipitable IgG paraprotein.
与可结晶的冷沉淀性IgG副蛋白相关的关节炎。
Am J Med. 1980 Mar;68(3):461-5. doi: 10.1016/0002-9343(80)90122-9.
5
Primary lymphoma of bone presenting as monoarthritis.表现为单关节炎的原发性骨淋巴瘤。
J Rheumatol. 1984 Dec;11(6):851-4.
6
Amyloid joint disease.淀粉样关节病
Medicine (Baltimore). 1972 Nov;51(6):465-79. doi: 10.1097/00005792-197211000-00003.
7
Erosive arthritis in monoclonal gammopathy of uncertain significance: report of four cases.意义未明的单克隆丙种球蛋白病中的侵蚀性关节炎:4例报告
Arthritis Rheum. 1991 Dec;34(12):1600-5. doi: 10.1002/art.1780341220.
8
A clinical staging system for multiple myeloma. Correlation of measured myeloma cell mass with presenting clinical features, response to treatment, and survival.一种多发性骨髓瘤的临床分期系统。测量的骨髓瘤细胞量与初始临床特征、治疗反应及生存情况的相关性。
Cancer. 1975 Sep;36(3):842-54. doi: 10.1002/1097-0142(197509)36:3<842::aid-cncr2820360303>3.0.co;2-u.
9
[Articular complications of Kahler's disease. Results of a survey of 1953 cases of plasmocytic myelomas].[卡勒氏病的关节并发症。1953例浆细胞骨髓瘤病例的调查结果]
Rev Rhum Mal Osteoartic. 1975 Jan;42(1):25-34.