• 文献检索
  • 文档翻译
  • 深度研究
  • 学术资讯
  • Suppr Zotero 插件Zotero 插件
  • 邀请有礼
  • 套餐&价格
  • 历史记录
应用&插件
Suppr Zotero 插件Zotero 插件浏览器插件Mac 客户端Windows 客户端微信小程序
定价
高级版会员购买积分包购买API积分包
服务
文献检索文档翻译深度研究API 文档MCP 服务
关于我们
关于 Suppr公司介绍联系我们用户协议隐私条款
关注我们

Suppr 超能文献

核心技术专利:CN118964589B侵权必究
粤ICP备2023148730 号-1Suppr @ 2026

文献检索

告别复杂PubMed语法,用中文像聊天一样搜索,搜遍4000万医学文献。AI智能推荐,让科研检索更轻松。

立即免费搜索

文件翻译

保留排版,准确专业,支持PDF/Word/PPT等文件格式,支持 12+语言互译。

免费翻译文档

深度研究

AI帮你快速写综述,25分钟生成高质量综述,智能提取关键信息,辅助科研写作。

立即免费体验

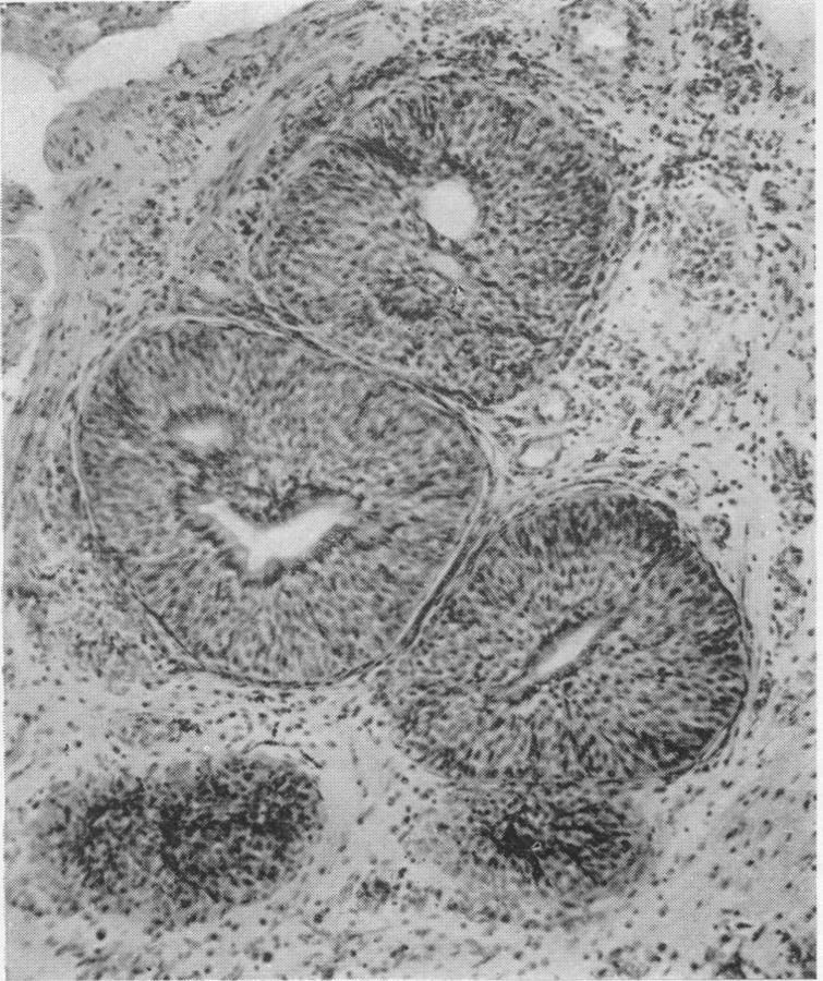
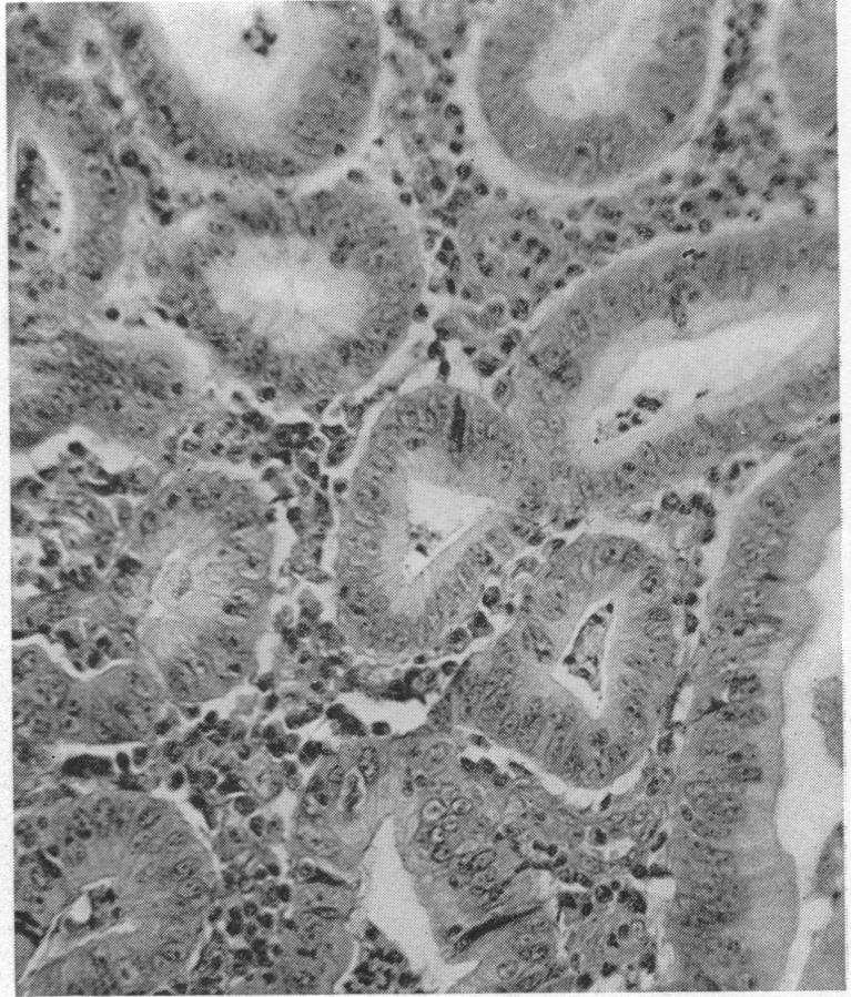
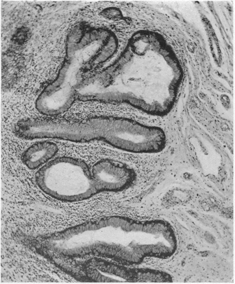
THE POTENTIAL MALIGNANCY IN EXSTROPHY OF THE BLADDER.

作者信息

Scholl A J

出版信息

Ann Surg. 1922 Mar;75(3):365-71. doi: 10.1097/00000658-192203000-00008.

DOI:10.1097/00000658-192203000-00008
PMID:17864611
原文链接:https://pmc.ncbi.nlm.nih.gov/articles/PMC1399891/
Abstract
摘要
https://cdn.ncbi.nlm.nih.gov/pmc/blobs/bee0/1399891/b8a70809f138/annsurg00714-0127-d.jpg
https://cdn.ncbi.nlm.nih.gov/pmc/blobs/bee0/1399891/9842f412a725/annsurg00714-0125-a.jpg
https://cdn.ncbi.nlm.nih.gov/pmc/blobs/bee0/1399891/412b38beeb9a/annsurg00714-0125-b.jpg
https://cdn.ncbi.nlm.nih.gov/pmc/blobs/bee0/1399891/9d8a58108be7/annsurg00714-0125-c.jpg
https://cdn.ncbi.nlm.nih.gov/pmc/blobs/bee0/1399891/a3009473ca0a/annsurg00714-0125-d.jpg
https://cdn.ncbi.nlm.nih.gov/pmc/blobs/bee0/1399891/2baae782ceef/annsurg00714-0126-a.jpg
https://cdn.ncbi.nlm.nih.gov/pmc/blobs/bee0/1399891/39dd5e89d462/annsurg00714-0126-b.jpg
https://cdn.ncbi.nlm.nih.gov/pmc/blobs/bee0/1399891/2a148ac64910/annsurg00714-0126-c.jpg
https://cdn.ncbi.nlm.nih.gov/pmc/blobs/bee0/1399891/8200d53efb4c/annsurg00714-0126-d.jpg
https://cdn.ncbi.nlm.nih.gov/pmc/blobs/bee0/1399891/cba4c0803e12/annsurg00714-0127-a.jpg
https://cdn.ncbi.nlm.nih.gov/pmc/blobs/bee0/1399891/c40b47d25026/annsurg00714-0127-b.jpg
https://cdn.ncbi.nlm.nih.gov/pmc/blobs/bee0/1399891/c96bc30f687f/annsurg00714-0127-c.jpg
https://cdn.ncbi.nlm.nih.gov/pmc/blobs/bee0/1399891/b8a70809f138/annsurg00714-0127-d.jpg
https://cdn.ncbi.nlm.nih.gov/pmc/blobs/bee0/1399891/9842f412a725/annsurg00714-0125-a.jpg
https://cdn.ncbi.nlm.nih.gov/pmc/blobs/bee0/1399891/412b38beeb9a/annsurg00714-0125-b.jpg
https://cdn.ncbi.nlm.nih.gov/pmc/blobs/bee0/1399891/9d8a58108be7/annsurg00714-0125-c.jpg
https://cdn.ncbi.nlm.nih.gov/pmc/blobs/bee0/1399891/a3009473ca0a/annsurg00714-0125-d.jpg
https://cdn.ncbi.nlm.nih.gov/pmc/blobs/bee0/1399891/2baae782ceef/annsurg00714-0126-a.jpg
https://cdn.ncbi.nlm.nih.gov/pmc/blobs/bee0/1399891/39dd5e89d462/annsurg00714-0126-b.jpg
https://cdn.ncbi.nlm.nih.gov/pmc/blobs/bee0/1399891/2a148ac64910/annsurg00714-0126-c.jpg
https://cdn.ncbi.nlm.nih.gov/pmc/blobs/bee0/1399891/8200d53efb4c/annsurg00714-0126-d.jpg
https://cdn.ncbi.nlm.nih.gov/pmc/blobs/bee0/1399891/cba4c0803e12/annsurg00714-0127-a.jpg
https://cdn.ncbi.nlm.nih.gov/pmc/blobs/bee0/1399891/c40b47d25026/annsurg00714-0127-b.jpg
https://cdn.ncbi.nlm.nih.gov/pmc/blobs/bee0/1399891/c96bc30f687f/annsurg00714-0127-c.jpg
https://cdn.ncbi.nlm.nih.gov/pmc/blobs/bee0/1399891/b8a70809f138/annsurg00714-0127-d.jpg

相似文献

1
THE POTENTIAL MALIGNANCY IN EXSTROPHY OF THE BLADDER.膀胱外翻中的潜在恶性肿瘤
Ann Surg. 1922 Mar;75(3):365-71. doi: 10.1097/00000658-192203000-00008.
2
Maternal and fetal risk factors for bladder exstrophy: A nationwide Swedish case-control study.膀胱外翻的母婴风险因素:一项瑞典全国性病例对照研究。
J Pediatr Urol. 2016 Oct;12(5):304.e1-304.e7. doi: 10.1016/j.jpurol.2016.05.035. Epub 2016 Jul 15.
3
T4 urothelial carcinoma in undiagnosed closed bladder exstrophy in a post-menopausal female.一名绝经后女性未诊断出的闭合性膀胱外翻中的T4期尿路上皮癌。
Can J Urol. 2018 Feb;25(1):9214-9216.
4
Criteria for the prenatal diagnosis of classic bladder exstrophy.经典膀胱外翻产前诊断标准。
Obstet Gynecol. 1995 Jun;85(6):961-4. doi: 10.1016/0029-7844(95)00069-4.
5
Combined cystometrography and electromyography of the external urethral sphincter following complete primary repair of bladder exstrophy.完全性膀胱外翻一期修复术后尿道外括约肌的膀胱测压肌电图联合检查。
J Urol. 2014 May;191(5 Suppl):1547-52. doi: 10.1016/j.juro.2013.10.104. Epub 2014 Mar 26.
6
Squamous cell carcinoma at bladder exstrophy site after early cystectomy.早期膀胱切除术后膀胱外翻部位的鳞状细胞癌。
Pediatr Surg Int. 2015 Nov;31(11):1107-10. doi: 10.1007/s00383-015-3725-9. Epub 2015 Jul 14.
7
An unusual bladder/cloacal exstrophy with urachal exstrophy.一种伴有脐尿管外翻的罕见膀胱/泄殖腔外翻。
Urol Int. 2008;81(1):113-5. doi: 10.1159/000137651. Epub 2008 Jul 16.
8
Prenatal diagnosis of bladder exstrophy: what counseling?膀胱外翻的产前诊断:如何进行咨询?
J Urol. 1999 Jan;161(1):259-61; discussion 262.
9
Prostate-specific antigen in men born with bladder exstrophy.
Urology. 1997 Feb;49(2):253-6. doi: 10.1016/S0090-4295(96)00438-4.
10
Epidemiology of bladder exstrophy and epispadias: a communication from the International Clearinghouse for Birth Defects Monitoring Systems.膀胱外翻和尿道上裂的流行病学:来自国际出生缺陷监测系统信息中心的一份报告
Teratology. 1987 Oct;36(2):221-7. doi: 10.1002/tera.1420360210.

引用本文的文献

1
Combined intestinal and squamous metaplasia of the renal pelvis.肾盂肠化生合并鳞状化生
J Clin Pathol. 1969 Mar;22(2):187-91. doi: 10.1136/jcp.22.2.187.
2
Glandular neoplasia within the urinary tract. The aetiology of adenocarcinoma of the urothelium with a review of the literature. I. Introduction: the origin of glandular epithelium in the renal pelvis, ureter and bladder.泌尿道内的腺性肿瘤。尿路上皮腺癌的病因学及文献综述。I. 引言:肾盂、输尿管和膀胱腺上皮的起源
Virchows Arch A Pathol Pathol Anat. 1971;352(4):296-311. doi: 10.1007/BF00542714.