Department of General Surgery, Frenchay Hospital, Bristol, UK.
World J Emerg Surg. 2007 Sep 20;2:25. doi: 10.1186/1749-7922-2-25.
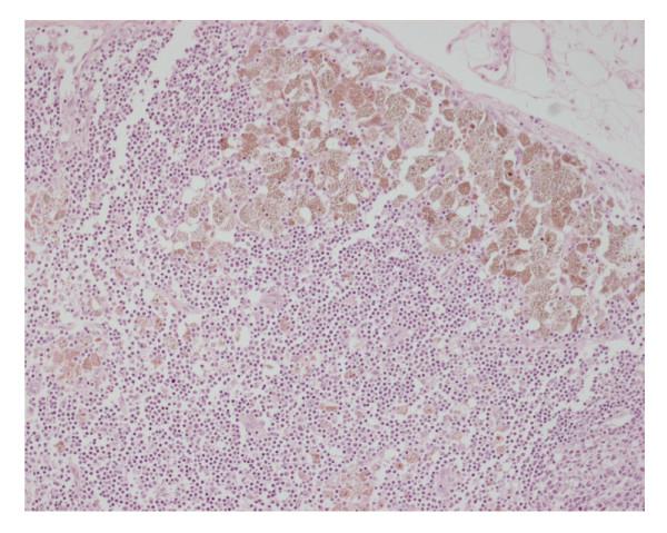
Melanosis Coli is described as black or brown discolouration of the mucosa of the colon. Its a benign condition, which arises from anthraquinone laxative abuse and has no symptoms of its own. The main importance of diagnosing Melanosis Coli correctly lies in the fact that if its extensive, there may be difficulty in differentiating it from ischemic colitis.
We present a case of extensive Melanosis Coli involving the whole of large bowel that appeared gangrenous. A sub total colectomy was performed on presumed diagnosis of ischemic bowel.
This report reminds the clinicians that extensive Melanosis Coli may mimic ischemic colitis and thus must be considered as a differential diagnosis.
结肠黑变病是指结肠黏膜的黑色或褐色色素沉着。它是一种良性疾病,由蒽醌类泻药滥用引起,本身没有任何症状。正确诊断结肠黑变病的主要重要性在于,如果病变广泛,可能难以将其与缺血性结肠炎区分开来。
我们报告了一例累及整个大肠的广泛结肠黑变病,病变呈坏疽性。根据缺血性肠病的推测诊断,进行了次全结肠切除术。
本报告提醒临床医生,广泛的结肠黑变病可能类似于缺血性结肠炎,因此必须被视为鉴别诊断之一。