Suppr超能文献

逆转录酶在真实无碱基RNA模板上的跨损伤合成及核糖核酸酶H活性

Trans-lesion synthesis and RNaseH activity by reverse transcriptases on a true abasic RNA template.

作者信息

Küpfer Pascal A, Crey-Desbiolles Caroline, Leumann Christian J

机构信息

Department of Chemistry and Biochemistry, University of Bern, Freiestrasse 3, CH-3012 Bern, Switzerland.

出版信息

Nucleic Acids Res. 2007;35(20):6846-53. doi: 10.1093/nar/gkm767. Epub 2007 Oct 11.

Abstract

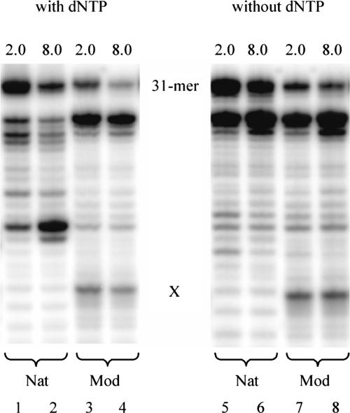
While much is known about abasic DNA, the biological impact of abasic RNA is largely unexplored. To test the mutagenic potential of this RNA lesion in the context of retroviruses, we synthesized a 31-mer oligoribonucleotide containing an abasic (rAS) site and used it as a template for studying DNA primer extension by HIV-1, avian myeloblastosis virus (AMV) and moloney murine leukemia virus (MMLV) reversed transcriptases (RT). We found that trans-lesion synthesis readily takes place with HIV-1 RT and to a lesser extent with AMV RT while MMLV RT aborts DNA synthesis. The preference of dNTP incorporation follows the order A approximately G > C approximately T and thus obeys to the 'A-rule'. In the case of HIV-1 RT, we measured the kinetic data of dNTP incorporation and compared it to abasic DNA. We found that A-incorporation is only 2-fold slower relative to a matched (undamaged) RNA template while it is 7-fold slower in the case of DNA. Furthermore, there is less discrimination in incorporation between the four dNTPs in the case of abasic RNA compared to abasic DNA. These experiments clearly point to a higher promiscuity of lesion bypass on abasic RNA. Given their known higher chemical stability, such rAS sites can clearly contribute to (retro)viral evolution.

摘要

虽然人们对无碱基DNA了解甚多,但无碱基RNA的生物学影响在很大程度上尚未得到探索。为了在逆转录病毒背景下测试这种RNA损伤的诱变潜力,我们合成了一种含有无碱基(rAS)位点的31聚体寡核糖核苷酸,并将其用作研究HIV-1、禽成髓细胞瘤病毒(AMV)和莫洛尼鼠白血病病毒(MMLV)逆转录酶(RT)进行DNA引物延伸的模板。我们发现,HIV-1 RT很容易进行跨损伤合成,AMV RT的跨损伤合成程度较小,而MMLV RT则中止DNA合成。dNTP掺入的偏好顺序为A≈G>C≈T,因此遵循“A规则”。对于HIV-1 RT,我们测量了dNTP掺入的动力学数据,并将其与无碱基DNA进行比较。我们发现,相对于匹配的(未受损的)RNA模板,A掺入仅慢2倍,而在DNA的情况下则慢7倍。此外,与无碱基DNA相比,无碱基RNA在四种dNTP掺入之间的区分较少。这些实验清楚地表明,无碱基RNA上的损伤绕过具有更高的混杂性。鉴于它们已知的更高化学稳定性,这种rAS位点显然可以促进(逆转)病毒进化。

https://cdn.ncbi.nlm.nih.gov/pmc/blobs/474e/2175328/0d93bcccf591/gkm767f1.jpg

文献AI研究员

20分钟写一篇综述,助力文献阅读效率提升50倍。

立即体验

用中文搜PubMed

大模型驱动的PubMed中文搜索引擎

马上搜索

文档翻译

学术文献翻译模型,支持多种主流文档格式。

立即体验