Boireau Stéphanie, Maiuri Paolo, Basyuk Eugenia, de la Mata Manuel, Knezevich Anna, Pradet-Balade Bérangère, Bäcker Volker, Kornblihtt Alberto, Marcello Alessandro, Bertrand Edouard
Institute of Molecular Genetics of Montpellier, Unité Mixte de Recherche 5535, Centre National de la Recherche Scientifique, 34293 Montpellier, France.
J Cell Biol. 2007 Oct 22;179(2):291-304. doi: 10.1083/jcb.200706018.
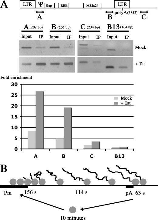
RNA polymerase II (RNAPII) is a fundamental enzyme, but few studies have analyzed its activity in living cells. Using human immunodeficiency virus (HIV) type 1 reporters, we study real-time messenger RNA (mRNA) biogenesis by photobleaching nascent RNAs and RNAPII at specific transcription sites. Through modeling, the use of mutant polymerases, drugs, and quantitative in situ hybridization, we investigate the kinetics of the HIV-1 transcription cycle. Initiation appears efficient because most polymerases demonstrate stable gene association. We calculate an elongation rate of approximately 1.9 kb/min, and, surprisingly, polymerases remain at transcription sites 2.5 min longer than nascent RNAs. With a total polymerase residency time estimated at 333 s, 114 are assigned to elongation, and 63 are assigned to 3'-end processing and/or transcript release. However, mRNAs were released seconds after polyadenylation onset, and analysis of polymerase density by chromatin immunoprecipitation suggests that they pause or lose processivity after passing the polyA site. The strengths and limitations of this kinetic approach to analyze mRNA biogenesis in living cells are discussed.
RNA聚合酶II(RNAPII)是一种基本酶,但很少有研究分析其在活细胞中的活性。我们使用1型人类免疫缺陷病毒(HIV)报告基因,通过对特定转录位点的新生RNA和RNAPII进行光漂白来研究实时信使RNA(mRNA)生物合成。通过建模、使用突变聚合酶、药物以及定量原位杂交,我们研究了HIV-1转录周期的动力学。起始似乎是高效的,因为大多数聚合酶表现出稳定的基因关联。我们计算出延伸速率约为1.9 kb/分钟,令人惊讶的是,聚合酶在转录位点停留的时间比新生RNA长2.5分钟。聚合酶的总停留时间估计为333秒,其中114秒用于延伸,63秒用于3'端加工和/或转录本释放。然而,mRNA在聚腺苷酸化开始后几秒内就被释放,通过染色质免疫沉淀对聚合酶密度的分析表明,它们在通过聚腺苷酸化位点后会暂停或失去持续性。本文讨论了这种动力学方法在分析活细胞中mRNA生物合成方面的优势和局限性。