Bonaldo Myrna C, Mello Samanta M, Trindade Gisela F, Rangel Aymara A, Duarte Adriana S, Oliveira Prisciliana J, Freire Marcos S, Kubelka Claire F, Galler Ricardo
Fundação Oswaldo Cruz, Instituto Oswaldo Cruz, Laboratório de Biologia Molecular, de Flavivírus, Rio de Janeiro, Fundação Oswaldo Cruz, Avenida Brasil 4365, Manguinhos, Rio de Janeiro, RJ 21045-900, Brazil.
Virol J. 2007 Oct 30;4:115. doi: 10.1186/1743-422X-4-115.
The yellow fever virus, a member of the genus Flavivirus, is an arthropod-borne pathogen causing severe disease in humans. The attenuated yellow fever 17D virus strain has been used for human vaccination for 70 years and has several characteristics that are desirable for the development of new, live attenuated vaccines. We described here a methodology to construct a viable, and immunogenic recombinant yellow fever 17D virus expressing a green fluorescent protein variant (EGFP). This approach took into account the presence of functional motifs and amino acid sequence conservation flanking the E and NS1 intergenic region to duplicate and fuse them to the exogenous gene and thereby allow the correct processing of the viral polyprotein precursor.
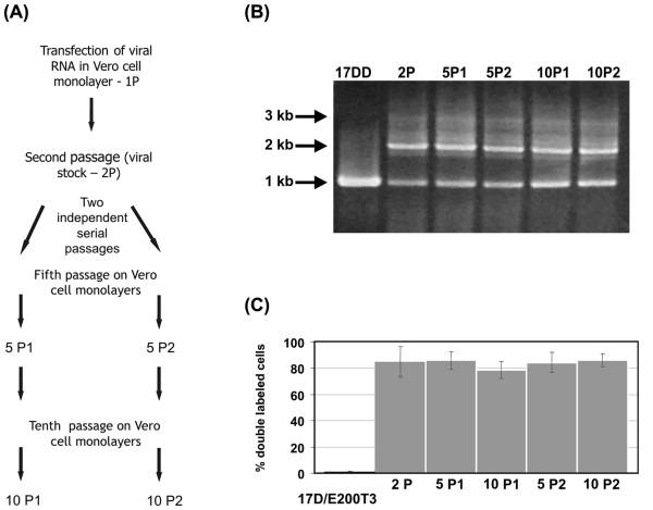
YF 17D EGFP recombinant virus was grew in Vero cells and reached a peak titer of approximately 6.45 +/- 0.4 log10 PFU/mL at 96 hours post-infection. Immunoprecipitation and confocal laser scanning microscopy demonstrated the expression of the EGFP, which was retained in the endoplasmic reticulum and not secreted from infected cells. The association with the ER compartment did not interfere with YF assembly, since the recombinant virus was fully competent to replicate and exit the cell. This virus was genetically stable up to the tenth serial passage in Vero cells. The recombinant virus was capable to elicit a neutralizing antibody response to YF and antibodies to EGFP as evidenced by an ELISA test. The applicability of this cloning strategy to clone gene foreign sequences in other flavivirus genomes was demonstrated by the construction of a chimeric recombinant YF 17D/DEN4 virus.
This system is likely to be useful for a broader live attenuated YF 17D virus-based vaccine development for human diseases. Moreover, insertion of foreign genes into the flavivirus genome may also allow in vivo studies on flavivirus cell and tissue tropism as well as cellular processes related to flavivirus infection.
黄热病毒是黄病毒属的成员,是一种节肢动物传播的病原体,可导致人类严重疾病。减毒黄热17D病毒株已用于人类疫苗接种70年,具有几种新的减毒活疫苗开发所需的特性。我们在此描述了一种构建表达绿色荧光蛋白变体(EGFP)的有活力且具有免疫原性的重组黄热17D病毒的方法。该方法考虑了E和NS1基因间区域侧翼的功能基序和氨基酸序列保守性,以复制它们并将其融合到外源基因上,从而使病毒多蛋白前体得到正确加工。
YF 17D EGFP重组病毒在Vero细胞中生长,感染后96小时达到约6.45 +/- 0.4 log10 PFU/mL的峰值滴度。免疫沉淀和共聚焦激光扫描显微镜显示了EGFP的表达,其保留在内质网中,未从感染细胞中分泌。与内质网区室的关联不干扰黄热病毒的组装,因为重组病毒完全能够复制并离开细胞。该病毒在Vero细胞中传至第10代时基因稳定。ELISA试验证明,重组病毒能够引发针对黄热病毒的中和抗体反应以及针对EGFP的抗体。通过构建嵌合重组YF 17D/DEN4病毒,证明了这种克隆策略在克隆其他黄病毒基因组中的外源基因序列方面的适用性。
该系统可能有助于开发更广泛的基于黄热17D减毒活病毒的人类疾病疫苗。此外,将外源基因插入黄病毒基因组还可能允许对黄病毒的细胞和组织嗜性以及与黄病毒感染相关的细胞过程进行体内研究。