Suppr超能文献

源自胎儿骨髓的稳定人类间充质干细胞系的多向分化潜能。

Multilineage potential of stable human mesenchymal stem cell line derived from fetal marrow.

作者信息

Nagai Atsushi, Kim Woo K, Lee Hong J, Jeong Han S, Kim Kwang S, Hong Seok H, Park In H, Kim Seung U

机构信息

Division of Neurology, Department of Medicine, University of British Columbia, Vancouver, Canada.

出版信息

PLoS One. 2007 Dec 5;2(12):e1272. doi: 10.1371/journal.pone.0001272.

Abstract

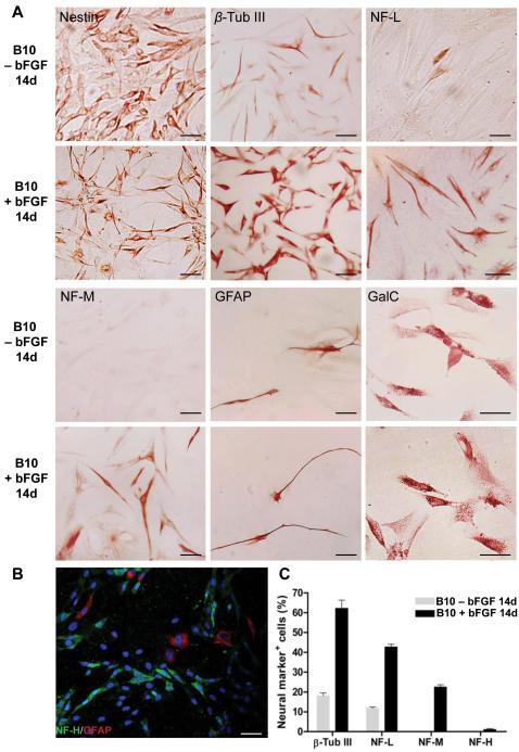
Human bone marrow contains two major cell types, hematopoietic stem cells (HSCs) and mesenchymal stem cells (MSCs). MSCs possess self-renewal capacity and pluripotency defined by their ability to differentiate into osteoblasts, chondrocytes, adipocytes and muscle cells. MSCs are also known to differentiate into neurons and glial cells in vitro, and in vivo following transplantation into the brain of animal models of neurological disorders including ischemia and intracerebral hemorrhage (ICH) stroke. In order to obtain sufficient number and homogeneous population of human MSCs, we have clonally isolated permanent and stable human MSC lines by transfecting primary cell cultures of fetal human bone marrow MSCs with a retroviral vector encoding v-myc gene. One of the cell lines, HM3.B10 (B10), was found to differentiate into neural cell types including neural stem cells, neurons, astrocytes and oligodendrocytes in vitro as shown by expression of genetic markers for neural stem cells (nestin and Musashi1), neurons (neurofilament protein, synapsin and MAP2), astrocytes (glial fibrillary acidic protein, GFAP) and oligodendrocytes (myelin basic protein, MBP) as determined by RT-PCR assay. In addition, B10 cells were found to differentiate into neural cell types as shown by immunocytochical demonstration of nestin (for neural stem cells), neurofilament protein and beta-tubulin III (neurons) GFAP (astrocytes), and galactocerebroside (oligodendrocytes). Following brain transplantation in mouse ICH stroke model, B10 human MSCs integrate into host brain, survive, differentiate into neurons and astrocytes and induce behavioral improvement in the ICH animals. B10 human MSC cell line is not only a useful tool for the studies of organogenesis and specifically for the neurogenesis, but also provides a valuable source of cells for cell therapy studies in animal models of stroke and other neurological disorders.

摘要

人类骨髓包含两种主要细胞类型,即造血干细胞(HSCs)和间充质干细胞(MSCs)。MSCs具有自我更新能力和多能性,其定义为能够分化成成骨细胞、软骨细胞、脂肪细胞和肌肉细胞。已知MSCs在体外以及移植到包括缺血性和脑出血(ICH)性中风等神经疾病动物模型的脑内后,能够分化成神经元和神经胶质细胞。为了获得足够数量且均一的人类MSCs群体,我们通过用编码v-myc基因的逆转录病毒载体转染胎儿人类骨髓MSCs的原代细胞培养物,克隆分离出了永久且稳定的人类MSC系。其中一个细胞系HM3.B10(B10),在体外被发现能够分化成包括神经干细胞、神经元、星形胶质细胞和少突胶质细胞在内的神经细胞类型,这通过逆转录聚合酶链反应(RT-PCR)检测确定的神经干细胞(巢蛋白和Musashi1)、神经元(神经丝蛋白、突触素和微管相关蛋白2,MAP2)、星形胶质细胞(胶质纤维酸性蛋白,GFAP)和少突胶质细胞(髓鞘碱性蛋白,MBP)的遗传标志物的表达得以证明。此外,通过免疫细胞化学证实巢蛋白(针对神经干细胞)、神经丝蛋白和β-微管蛋白III(神经元)、GFAP(星形胶质细胞)以及半乳糖脑苷脂(少突胶质细胞),发现B10细胞能够分化成神经细胞类型。在小鼠ICH性中风模型中进行脑移植后,B10人类MSCs整合到宿主脑中,存活下来,分化成神经元和星形胶质细胞,并在ICH动物中诱导行为改善。B10人类MSC细胞系不仅是器官发生研究特别是神经发生研究的有用工具,而且为中风和其他神经疾病动物模型的细胞治疗研究提供了宝贵的细胞来源。

https://cdn.ncbi.nlm.nih.gov/pmc/blobs/ce0e/2092394/e431b94eb0e4/pone.0001272.g001.jpg

文献AI研究员

20分钟写一篇综述,助力文献阅读效率提升50倍。

立即体验

用中文搜PubMed

大模型驱动的PubMed中文搜索引擎

马上搜索

文档翻译

学术文献翻译模型,支持多种主流文档格式。

立即体验