Suppr超能文献

经皮肾镜取石术中的反常空气栓塞:一例报告

Paradoxical air embolism during percutaneous nephrolithotomy: a case report.

作者信息

Song Seung Hun, Hong Bumsik, Park Hyung Keun, Park Taehan

机构信息

Department of Urology, CHA General Hospital, College of Medicine, Pochon CHA University, Seoul, Korea.

出版信息

J Korean Med Sci. 2007 Dec;22(6):1071-3. doi: 10.3346/jkms.2007.22.6.1071.

Abstract

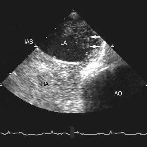
Air embolism is a rare complication of percutaneous nephrolithotomy. Patent foramen ovale, which is necessary in fetal circulation, is a potential route for emboli arising from the venous system to enter the systemic arterial circulation, resulting in paradoxical air embolism syndrome. A case of paradoxical air embolism during percutaneous nephrolithotomy is presented. To our knowledge, this is the first report of paradoxical air embolism associated with patent foramen ovale during percutaneous nephrolithotomy.

摘要

空气栓塞是经皮肾镜取石术的一种罕见并发症。卵圆孔未闭在胎儿循环中是必要的,它是静脉系统产生的栓子进入体循环动脉系统的潜在途径,可导致反常空气栓塞综合征。本文报告了一例经皮肾镜取石术期间发生的反常空气栓塞病例。据我们所知,这是经皮肾镜取石术期间与卵圆孔未闭相关的反常空气栓塞的首例报告。

https://cdn.ncbi.nlm.nih.gov/pmc/blobs/6056/2694641/d46824ab3bea/jkms-22-1071-g001.jpg

文献AI研究员

20分钟写一篇综述,助力文献阅读效率提升50倍。

立即体验

用中文搜PubMed

大模型驱动的PubMed中文搜索引擎

马上搜索

文档翻译

学术文献翻译模型,支持多种主流文档格式。

立即体验