Suppr超能文献

正常猪表皮中朗格汉斯细胞的超微结构鉴定

Ultrastructural identification of Langerhans cells in normal swine epidermis.

作者信息

Romano J, Balaguer L

机构信息

Departamento de Anatomia y Producción Animal, Facultad de Veterinaria, Universidad de Santiago de Compostela, Lugo, Spain.

出版信息

J Anat. 1991 Dec;179:43-6.

Abstract

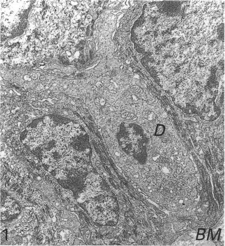
Langerhans cells of the epidermis of 6-month-old white crossbred farm pigs were identified by electron microscopy. Ultrastructurally they were similar to those described in other mammals. They were present in basal and suprabasal layers and were characterised by a lobulated nucleus and an electrolucent cytoplasm with occasional dendritic processes, and the absence of tonofilaments and specialised unions with surrounding keratinocytes. They were specifically identified by the presence of characteristic rod or racquet-shaped intracytoplasmic granules. Intraepidermal clear cells without specific granules were present, although no melanocytes were observed. This is the first report of the presence of Birbeck granules in porcine Langerhans cells.

摘要

通过电子显微镜对6月龄白色杂交农场猪表皮的朗格汉斯细胞进行了鉴定。超微结构上,它们与其他哺乳动物中描述的细胞相似。它们存在于基底层和基底层以上的层中,其特征是细胞核呈分叶状,细胞质透明,偶尔有树突状突起,并且没有张力丝以及与周围角质形成细胞的特殊连接。它们通过特征性的杆状或球拍状胞质内颗粒的存在而被特异性鉴定。尽管未观察到黑素细胞,但存在无特异性颗粒的表皮内透明细胞。这是关于猪朗格汉斯细胞中存在伯贝克颗粒的首次报道。

https://cdn.ncbi.nlm.nih.gov/pmc/blobs/9d68/1260573/49fb199b8409/janat00153-0052-a.jpg

文献检索

告别复杂PubMed语法,用中文像聊天一样搜索,搜遍4000万医学文献。AI智能推荐,让科研检索更轻松。

立即免费搜索

文件翻译

保留排版,准确专业,支持PDF/Word/PPT等文件格式,支持 12+语言互译。

免费翻译文档

深度研究

AI帮你快速写综述,25分钟生成高质量综述,智能提取关键信息,辅助科研写作。

立即免费体验