Estripeaut Dora, Aramburú María Gabriela, Sáez-Llorens Xavier, Thompson Herbert A, Dasch Gregory A, Paddock Christopher D, Zaki Sherif, Eremeeva Marina E
Hospital del Niño, Panama City, Panama.
Emerg Infect Dis. 2007 Nov;13(11):1763-5. doi: 10.3201/eid1311.070931.
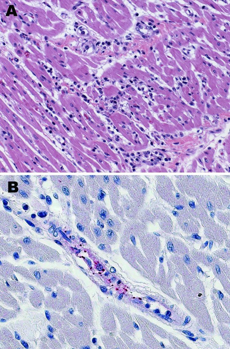
We describe a fatal pediatric case of Rocky Mountain spotted fever in Panama, the first, to our knowledge, since the 1950s. Diagnosis was established by immunohistochemistry, PCR, and isolation of Rickettsia rickettsii from postmortem tissues. Molecular typing demonstrated strong relatedness of the isolate to strains of R. rickettsii from Central and South America.
我们描述了巴拿马一例致命的小儿落基山斑疹热病例,据我们所知,这是自20世纪50年代以来的首例。通过免疫组织化学、聚合酶链反应(PCR)以及从尸检组织中分离出立氏立克次体确定了诊断。分子分型显示该分离株与来自中美洲和南美洲的立氏立克次体菌株有很强的相关性。