Correia P N, Carpenter G H, Osailan S M, Paterson K L, Proctor G B
Salivary Research Unit, King's College London Dental Institute at Guy's, King's College and St Thomas' Hospitals, London, UK.
Oral Dis. 2008 Sep;14(6):520-8. doi: 10.1111/j.1601-0825.2007.01413.x. Epub 2008 Jan 22.
The commonly associated aetiology of salivary gland inflammation and salivary hypofunction has led to the widely held belief that inflammation causes salivary gland hypofunction. Indeed, our own recent study seemed to support this contention. Here, we tested the hypothesis that, in an acute duct ligation model, eliminating inflammation the submandibular gland would recover normal function.
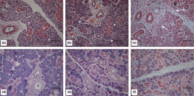
Ligation of the rat submandibular gland excretory duct for 24 h was used to induce inflammation and salivary gland hypofunction. A group of duct ligated rats was compared with a second group given dexamethasone, on the day of duct ligation. Twenty-four hours later salivary gland function was assessed and salivary glands were collected.
Histology and myeloperoxidase activity assay revealed a profound decrease in inflammatory cell infiltration of ligated glands from rats given dexamethasone, compared with ligated glands in the absence of dexamethasone. Salivary flow rate evoked by methacholine was decreased (P < 0.01) by approximately 56% (ligated vs control, 79 +/- 9 microl min(-1) g(-1)vs 177 +/- 11 microl min(-1) g(-1)) and salivary flow from ligated dexamethasone-treated and ligated glands was similar.
Despite eliminating the inflammatory reaction in the ligated gland, salivary hypofunction was not reversed, suggesting that other mechanisms must be at work in the ligation-induced salivary hypofunction.
唾液腺炎症和唾液分泌功能减退的常见相关病因导致人们普遍认为炎症会引起唾液腺功能减退。事实上,我们自己最近的研究似乎支持这一观点。在此,我们验证了一个假设,即在急性导管结扎模型中,消除炎症后下颌下腺将恢复正常功能。
结扎大鼠下颌下腺排泄导管24小时以诱导炎症和唾液腺功能减退。一组导管结扎大鼠与另一组在导管结扎当天给予地塞米松的大鼠进行比较。24小时后评估唾液腺功能并收集唾液腺。
组织学和髓过氧化物酶活性测定显示,与未给予地塞米松的结扎腺体相比,给予地塞米松的大鼠结扎腺体的炎性细胞浸润明显减少。乙酰甲胆碱诱发的唾液流速降低(P < 0.01)约56%(结扎组与对照组相比,79 ± 9微升·分钟⁻¹·克⁻¹ 对177 ± 11微升·分钟⁻¹·克⁻¹),并且结扎地塞米松处理组和结扎组的唾液流速相似。
尽管消除了结扎腺体中的炎症反应,但唾液分泌功能减退并未逆转,这表明在结扎诱导的唾液分泌功能减退中必定存在其他作用机制。