Suppr超能文献

狂犬病诊断方法在发展中国家的应用。

Rabies diagnosis for developing countries.

机构信息

Swiss Tropical Institute, Basel, Switzerland.

出版信息

PLoS Negl Trop Dis. 2008 Mar 26;2(3):e206. doi: 10.1371/journal.pntd.0000206.

Abstract

BACKGROUND

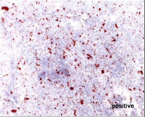
Canine rabies is a neglected disease causing 55,000 human deaths worldwide per year, and 99% of all cases are transmitted by dog bites. In N'Djaména, the capital of Chad, rabies is endemic with an incidence of 1.71/1,000 dogs (95% C.I. 1.45-1.98). The gold standard of rabies diagnosis is the direct immunofluorescent antibody (DFA) test, requiring a fluorescent microscope. The Centers for Disease Control and Prevention (CDC, Atlanta, United States of America) developed a histochemical test using low-cost light microscopy, the direct rapid immunohistochemical test (dRIT).

METHODOLOGY/PRINCIPAL FINDINGS: We evaluated the dRIT in the Chadian National Veterinary Laboratory in N'Djaména by testing 35 fresh samples parallel with both the DFA and dRIT. Additional retests (n = 68 in Chad, n = 74 at CDC) by DFA and dRIT of stored samples enhanced the power of the evaluation. All samples were from dogs, cats, and in one case from a bat. The dRIT performed very well compared to DFA. We found a 100% agreement of the dRIT and DFA in fresh samples (n = 35). Results of retesting at CDC and in Chad depended on the condition of samples. When the sample was in good condition (fresh brain tissue), we found simple Cohen's kappa coefficient related to the DFA diagnostic results in fresh tissue of 0.87 (95% C.I. 0.63-1) up to 1. For poor quality samples, the kappa values were between 0.13 (95% C.I. -0.15-0.40) and 0.48 (95% C.I. 0.14-0.82). For samples stored in glycerol, dRIT results were more likely to agree with DFA testing in fresh samples than the DFA retesting.

CONCLUSION/SIGNIFICANCE: The dRIT is as reliable a diagnostic method as the gold standard (DFA) for fresh samples. It has an advantage of requiring only light microscopy, which is 10 times less expensive than a fluorescence microscope. Reduced cost suggests high potential for making rabies diagnosis available in other cities and rural areas of Africa for large populations for which a capacity for diagnosis will contribute to rabies control.

摘要

背景

狂犬病是一种被忽视的疾病,每年导致全球 5.5 万人死亡,所有病例中有 99%是通过狗咬伤传播的。在乍得首都恩贾梅纳,狂犬病流行,发病率为每 1000 只狗 1.71 例(95%置信区间为 1.45-1.98)。狂犬病的金标准诊断方法是直接免疫荧光抗体(DFA)检测,需要荧光显微镜。美国疾病控制与预防中心(亚特兰大,美国)开发了一种使用低成本显微镜的组织化学检测方法,即直接快速免疫组织化学检测(dRIT)。

方法/主要发现:我们在恩贾梅纳的乍得国家兽医实验室评估了 dRIT,通过对 35 个新鲜样本进行平行检测,同时进行 DFA 和 dRIT 检测。在 CDC 对储存样本进行的额外重复检测(乍得 68 例,CDC 74 例)增强了评估的力度。所有样本均来自狗、猫,一例来自蝙蝠。与 DFA 相比,dRIT 表现非常出色。我们发现新鲜样本中 dRIT 和 DFA 的一致性为 100%(n = 35)。在 CDC 和乍得的重复检测结果取决于样本的状况。当样本状况良好(新鲜脑组织)时,我们发现与新鲜组织 DFA 诊断结果相关的简单 Cohen's kappa 系数为 0.87(95%置信区间为 0.63-1),最高可达 1。对于质量较差的样本,kappa 值在 0.13(95%置信区间为-0.15-0.40)和 0.48(95%置信区间为 0.14-0.82)之间。对于储存在甘油中的样本,dRIT 结果与新鲜样本中的 DFA 检测比 DFA 重复检测更有可能一致。

结论/意义:dRIT 是一种与金标准(DFA)一样可靠的诊断方法,适用于新鲜样本。它的优势在于只需要光显微镜,比荧光显微镜便宜 10 倍。降低成本表明,该方法有可能在非洲其他城市和农村地区为大量人群提供狂犬病诊断服务,因为这种诊断能力将有助于控制狂犬病。

https://cdn.ncbi.nlm.nih.gov/pmc/blobs/af62/2268742/1187bb87a199/pntd.0000206.g001.jpg

文献检索

告别复杂PubMed语法,用中文像聊天一样搜索,搜遍4000万医学文献。AI智能推荐,让科研检索更轻松。

立即免费搜索

文件翻译

保留排版,准确专业,支持PDF/Word/PPT等文件格式,支持 12+语言互译。

免费翻译文档

深度研究

AI帮你快速写综述,25分钟生成高质量综述,智能提取关键信息,辅助科研写作。

立即免费体验