Suppr超能文献

多排螺旋计算机断层扫描测量传统猪和微型猪之间的心脏功能及冠状动脉造影比较

Comparison of cardiac function and coronary angiography between conventional pigs and micropigs as measured by multidetector row computed tomography.

作者信息

Ahn Young Keun, Ryu Jung Min, Jeong Hea Chang, Kim Yun Hyeon, Jeong Myung Ho, Lee Min Young, Lee Sang Hun, Park Jae Hong, Yun Seung Pil, Han Ho Jae

机构信息

College of Veterinary Medicine, Biotherapy Human Resources Center, Chonnam National University, Gwangju 500-757, Korea.

出版信息

J Vet Sci. 2008 Jun;9(2):121-6. doi: 10.4142/jvs.2008.9.2.121.

Abstract

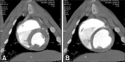
Pigs are the most likely source animals for cardiac xenotransplantation. However, an appropriate method for estimating the cardiac function of micropigs had not been established. Computed tomography (CT) analysis aimed at estimating cardiac function and assessing the coronary arteries has not been carried out in micropigs. This study determined the feasibility of evaluating cardiac function in a micropig model using multidetector row computed tomography (MDCT) and compared the cardiac function values with those of conventional pigs. The mean age of the conventional pigs and micropigs was approximately 80 days and approximately 360 days, respectively. The mean body weight in the conventional pigs and micropigs was 29.70 +/- 0.73 and 34.10 +/- 0.98 kg, respectively. Cardiac MDCT detected ejection fractions of 52.93 +/- 3.10% and 59.00 +/- 5.56% and cardiac outputs of 1.46 +/- 0.64 l/min and 1.21 +/- 0.24 l/min in conventional pigs and micropigs, respectively. There were no significant differences in cardiac function between conventional pigs and micropigs in the reconstructed CT images. There were also no differences in the coronary angiographic images obtained by MDCT. It is expected that the results of this study will help improve understanding of cardiac function in micropigs. The data presented in this study suggest that MDCT is a feasible method for evaluating cardiac function in micropigs.

摘要

猪是心脏异种移植最有可能的供体动物。然而,尚未建立一种合适的方法来评估小型猪的心脏功能。针对评估心脏功能和冠状动脉的计算机断层扫描(CT)分析尚未在小型猪中进行。本研究确定了使用多排探测器计算机断层扫描(MDCT)评估小型猪模型心脏功能的可行性,并将心脏功能值与传统猪的进行比较。传统猪和小型猪的平均年龄分别约为80天和约360天。传统猪和小型猪的平均体重分别为29.70±0.73千克和34.10±0.98千克。心脏MDCT检测到传统猪和小型猪的射血分数分别为52.93±3.10%和59.00±5.56%,心输出量分别为1.46±0.64升/分钟和1.21±0.24升/分钟。在重建的CT图像中,传统猪和小型猪的心脏功能没有显著差异。MDCT获得的冠状动脉造影图像也没有差异。预计本研究结果将有助于增进对小型猪心脏功能的了解。本研究提供的数据表明,MDCT是评估小型猪心脏功能的一种可行方法。

https://cdn.ncbi.nlm.nih.gov/pmc/blobs/8795/2839088/a3954e0e435a/jvs-9-121-g001.jpg

文献AI研究员

20分钟写一篇综述,助力文献阅读效率提升50倍。

立即体验

用中文搜PubMed

大模型驱动的PubMed中文搜索引擎

马上搜索

文档翻译

学术文献翻译模型,支持多种主流文档格式。

立即体验