Ryu Jung Min, Kim Dong Hyun, Lee Min Young, Lee Sang Hun, Park Jae Hong, Yun Seung Pil, Jang Min Woo, Kim Seong Hwan, Rho Gyu Jin, Han Ho Jae
Department of Veterinary Physiology, College of Veterinary Medicine, Biotherapy Human Resources Center (BK21), Chonnam National University, Gwangju, Korea.
J Vet Sci. 2009 Jun;10(2):93-8. doi: 10.4142/jvs.2009.10.2.93.
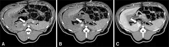
The shortage of organ donors has stimulated interest in the possibility of using animal organs for transplantation into humans. In addition, pigs are now considered to be the most likely source animals for human xenotransplantation because of their advantages over non-human primates. However, the appropriate standard values for estimations of the liver of micropigs have not been established. The determination of standard values for the micropig liver using multi-detector row computed tomography (MDCT) would help to select a suitable donor for an individual patient, determine the condition of the liver of the micropigs and help predict patient prognosis. Therefore, we determined the standard values for the livers of micropigs using MDCT. The liver parenchyma showed homogenous enhancement and had no space-occupying lesions. The total and right lobe volumes of the liver were 698.57 +/- 47.81 ml and 420.14 +/- 26.70 ml, which are 51.74% and 49.35% of the human liver volume, respectively. In micropigs, the percentage of liver volume to body weight was approximately 2.05%. The diameters of the common hepatic artery and proper hepatic artery were 6.24 +/- 0.20 mm and 4.68 +/- 0.13 mm, respectively. The hepatic vascular system of the micropigs was similar to that of humans, except for the variation in the length of the proper hepatic artery. In addition, the diameter of the portal vein was 11.27 +/- 0.38 mm. In conclusion, imaging evaluation using the MDCT was a reliable method for liver evaluation and its vascular anatomy for xenotransplantation using micropigs.
器官供体的短缺激发了人们对使用动物器官进行人体移植可能性的兴趣。此外,由于猪相对于非人灵长类动物具有优势,现在它们被认为是人类异种移植最有可能的供体来源动物。然而,小型猪肝脏评估的适当标准值尚未确定。使用多排探测器计算机断层扫描(MDCT)确定小型猪肝脏的标准值,将有助于为个体患者选择合适的供体,确定小型猪肝脏的状况,并有助于预测患者的预后。因此,我们使用MDCT确定了小型猪肝脏的标准值。肝脏实质显示均匀强化,无占位性病变。肝脏的总体积和右叶体积分别为698.57±47.81 ml和420.14±26.70 ml,分别占人类肝脏体积的51.74%和49.35%。在小型猪中,肝脏体积占体重的百分比约为2.05%。肝总动脉和肝固有动脉的直径分别为6.24±0.20 mm和4.68±0.13 mm。小型猪的肝血管系统与人类相似,只是肝固有动脉的长度有所不同。此外,门静脉直径为11.27±0.38 mm。总之,使用MDCT进行成像评估是一种可靠的方法,可用于评估小型猪异种移植的肝脏及其血管解剖结构。