Suppr超能文献

泌尿生殖道感染沙眼衣原体的女性体内的抗体主要以构象依赖的方式识别质粒蛋白pgp3。

Antibodies from women urogenitally infected with C. trachomatis predominantly recognized the plasmid protein pgp3 in a conformation-dependent manner.

作者信息

Li Zhongyu, Zhong Youmin, Lei Lei, Wu Yimou, Wang Shiping, Zhong Guangming

机构信息

Department of Microbiology and Immunology, University of Texas Health Science Center at San Antonio, 7703 Floyd Curl Drive, San Antonio, TX 78229, USA.

出版信息

BMC Microbiol. 2008 Jun 9;8:90. doi: 10.1186/1471-2180-8-90.

Abstract

BACKGROUND

C. trachomatis organisms carry a cryptic plasmid that encodes 8 open reading frames designated as pORF1 to 8. It is not clear whether all 8 pORFs are expressed during C. trachomatis infection in humans and information on the functionality of the plasmid proteins is also very limited.

RESULTS

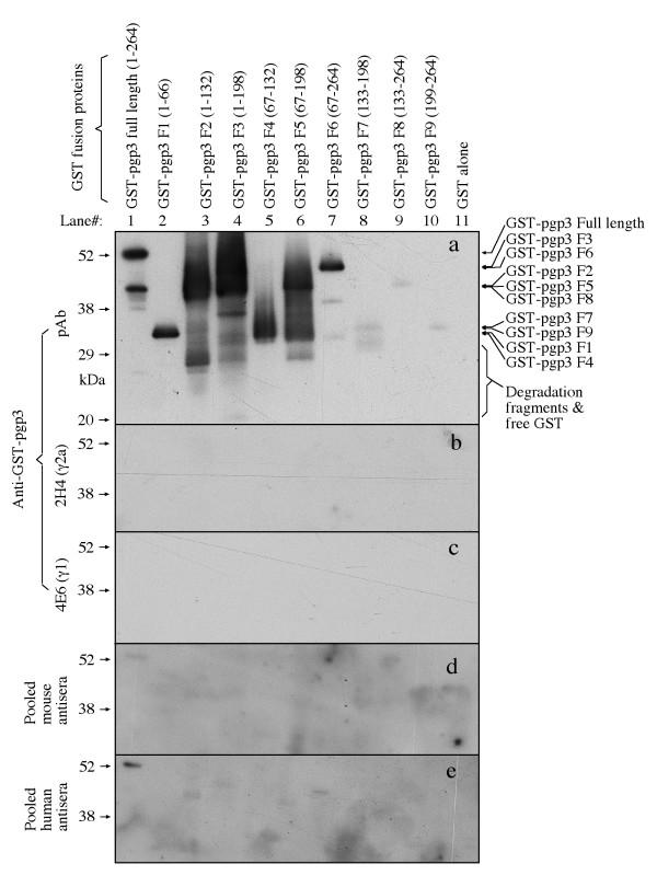
When antibodies from women urogenitally infected with C. trachomatis were reacted with the plasmid proteins, all 8 pORFs were positively recognized by one or more human antibody samples with the recognition of pORF5 protein (known as pgp3) by most antibodies and with the highest titers. The antibody recognition of the pORFs was blocked by C. trachomatis-infected HeLa but not normal HeLa cell lysates. The pgp3 fusion protein-purified human IgG detected the endogenous pgp3 in the cytosol of C. trachomatis-infected cells with an intracellular distribution pattern similar to that of CPAF, a chlamydial genome-encoded protease factor. However, the human antibodies no longer recognized pgp3 but maintained recognition of CPAF when both antigens were linearized or heat-denatured. The pgp3 conformation is likely maintained by the C-terminal 75% amino acid sequence since further deletion blocked the binding by the human antibodies and two conformation-dependent mouse monoclonal antibodies.

CONCLUSION

The plasmid-encoded 8 proteins are both expressed and immunogenic with pgp3 as the most immunodominant antigen during chlamydial infection in humans. More importantly, the human anti-pgp3 antibodies are highly conformation-dependent. These observations have provided important information for further understanding the function of the plasmid-encoded proteins and exploring the utility of pgp3 in chlamydial diagnosis and vaccination.

摘要

背景

沙眼衣原体携带一种隐蔽质粒,该质粒编码8个开放阅读框,命名为pORF1至8。目前尚不清楚在人类沙眼衣原体感染期间这8个pORF是否均有表达,并且关于质粒蛋白功能的信息也非常有限。

结果

当来自泌尿生殖道感染沙眼衣原体的女性的抗体与质粒蛋白反应时,所有8个pORF均被一种或多种人抗体样本阳性识别,其中大多数抗体识别pORF5蛋白(称为pgp3)且滴度最高。沙眼衣原体感染的HeLa细胞裂解物可阻断抗体对pORF的识别,而正常HeLa细胞裂解物则不能。纯化的pgp3融合蛋白检测到沙眼衣原体感染细胞胞质溶胶中的内源性pgp3,其细胞内分布模式与沙眼衣原体基因组编码的蛋白酶因子CPAF相似。然而,当两种抗原都线性化或热变性时,人抗体不再识别pgp3,但仍能识别CPAF。pgp3的构象可能由C末端75%的氨基酸序列维持,因为进一步缺失会阻断人抗体和两种构象依赖性小鼠单克隆抗体的结合。

结论

在人类沙眼衣原体感染期间,质粒编码的8种蛋白均有表达且具有免疫原性,其中pgp3是最具免疫优势的抗原。更重要的是,人抗pgp3抗体高度依赖构象。这些观察结果为进一步了解质粒编码蛋白的功能以及探索pgp3在沙眼衣原体诊断和疫苗接种中的应用提供了重要信息。

https://cdn.ncbi.nlm.nih.gov/pmc/blobs/9c0a/2432062/82c4a114d4c0/1471-2180-8-90-1.jpg

文献AI研究员

20分钟写一篇综述,助力文献阅读效率提升50倍。

立即体验

用中文搜PubMed

大模型驱动的PubMed中文搜索引擎

马上搜索

文档翻译

学术文献翻译模型,支持多种主流文档格式。

立即体验