• 文献检索
  • 文档翻译
  • 深度研究
  • 学术资讯
  • Suppr Zotero 插件Zotero 插件
  • 邀请有礼
  • 套餐&价格
  • 历史记录
应用&插件
Suppr Zotero 插件Zotero 插件浏览器插件Mac 客户端Windows 客户端微信小程序
定价
高级版会员购买积分包购买API积分包
服务
文献检索文档翻译深度研究API 文档MCP 服务
关于我们
关于 Suppr公司介绍联系我们用户协议隐私条款
关注我们

Suppr 超能文献

核心技术专利:CN118964589B侵权必究
粤ICP备2023148730 号-1Suppr @ 2026

文献检索

告别复杂PubMed语法,用中文像聊天一样搜索,搜遍4000万医学文献。AI智能推荐,让科研检索更轻松。

立即免费搜索

文件翻译

保留排版,准确专业,支持PDF/Word/PPT等文件格式,支持 12+语言互译。

免费翻译文档

深度研究

AI帮你快速写综述,25分钟生成高质量综述,智能提取关键信息,辅助科研写作。

立即免费体验

一例乳腺产基质癌。

A case of matrix-producing carcinoma of the breast.

作者信息

Hirose Toshiyuki, Honda Junko, Bando Yoshimi, Sasa Mitsunori, Hirose Yukiko, Nagao Taeko, Tangoku Akira

机构信息

Department of Surgery, Tokushima Breast Care Clinic, 4-7-7, Nakashimada-Cho, Tokushima 770-0052, Japan.

出版信息

World J Surg Oncol. 2008 Jun 17;6:60. doi: 10.1186/1477-7819-6-60.

DOI:10.1186/1477-7819-6-60
PMID:18559079
原文链接:https://pmc.ncbi.nlm.nih.gov/articles/PMC2440382/
Abstract

BACKGROUND

Matrix-producing carcinoma (MPC) of the breast is one variant type of metaplastic carcinoma. The cellular origin of MPC remains unclear. It has been suggested the tumor cells in MPC have the combined characteristics of both epithelial cells and mesenchymal cells. Several reports suggested that the tumor cells in MPC might originate from the myoepithelial cells, but others suggested the origin was basal-like cells.

CASE PRESENTATION

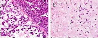
The patient was a 42-year-old Japanese female. A tumor of about 2 cm in diameter was noted in the right breast. CT revealed the circumference of the tumor to have a ring-like structure, and fine needle aspiration cytology indicated suspicion for malignancy. Breast-conserving surgery was performed. Histopathological studies showed carcinoma cells, having cuboidal to oval-shaped nucleus, were proliferating in cord-like and sheet-like structures in the periphery. In the central areas of the tumor, myxoedematous area was observed with cartilaginous matrix and necrosis. The diagnosis was a matrix-producing carcinoma. Immunohistochemical findings showed the tumor cells had the characteristics of both epithelial cells and mesenchymal cells, while being negative for estrogen receptor, progesterone receptor, Her2, myoepithelial cell markers and basal cell markers.

CONCLUSION

The findings for our present patient and many of the other MPC patients reported in the published literature indicate that this breast cancer has the properties of both epithelial cells and mesenchymal cells. In addition, there is a possibility that matrix-producing tumor cells of our present patient may have a feature of undifferentiated cells.

摘要

背景

乳腺产基质癌(MPC)是化生性癌的一种变异类型。MPC的细胞起源尚不清楚。有人提出MPC中的肿瘤细胞具有上皮细胞和间充质细胞的综合特征。一些报告表明MPC中的肿瘤细胞可能起源于肌上皮细胞,但也有人认为其起源是基底样细胞。

病例介绍

患者为一名42岁的日本女性。右侧乳房发现一个直径约2厘米的肿瘤。CT显示肿瘤周边有环状结构,细针穿刺细胞学检查提示怀疑为恶性肿瘤。实施了保乳手术。组织病理学研究显示,细胞核呈立方形至椭圆形的癌细胞在外周呈条索状和片状结构增殖。在肿瘤的中心区域,观察到黏液水肿区域伴有软骨基质和坏死。诊断为产基质癌。免疫组化结果显示肿瘤细胞具有上皮细胞和间充质细胞的特征,而雌激素受体、孕激素受体、Her2、肌上皮细胞标志物和基底细胞标志物均为阴性。

结论

我们目前这位患者以及已发表文献中报道的许多其他MPC患者的研究结果表明,这种乳腺癌具有上皮细胞和间充质细胞的特性。此外,我们目前这位患者的产基质肿瘤细胞有可能具有未分化细胞的特征。

https://cdn.ncbi.nlm.nih.gov/pmc/blobs/d5b8/2440382/3bdd63ddd507/1477-7819-6-60-5.jpg
https://cdn.ncbi.nlm.nih.gov/pmc/blobs/d5b8/2440382/031cb585f321/1477-7819-6-60-1.jpg
https://cdn.ncbi.nlm.nih.gov/pmc/blobs/d5b8/2440382/c4aebd065f29/1477-7819-6-60-2.jpg
https://cdn.ncbi.nlm.nih.gov/pmc/blobs/d5b8/2440382/f91987cf9087/1477-7819-6-60-3.jpg
https://cdn.ncbi.nlm.nih.gov/pmc/blobs/d5b8/2440382/dcd77981b604/1477-7819-6-60-4.jpg
https://cdn.ncbi.nlm.nih.gov/pmc/blobs/d5b8/2440382/3bdd63ddd507/1477-7819-6-60-5.jpg
https://cdn.ncbi.nlm.nih.gov/pmc/blobs/d5b8/2440382/031cb585f321/1477-7819-6-60-1.jpg
https://cdn.ncbi.nlm.nih.gov/pmc/blobs/d5b8/2440382/c4aebd065f29/1477-7819-6-60-2.jpg
https://cdn.ncbi.nlm.nih.gov/pmc/blobs/d5b8/2440382/f91987cf9087/1477-7819-6-60-3.jpg
https://cdn.ncbi.nlm.nih.gov/pmc/blobs/d5b8/2440382/dcd77981b604/1477-7819-6-60-4.jpg
https://cdn.ncbi.nlm.nih.gov/pmc/blobs/d5b8/2440382/3bdd63ddd507/1477-7819-6-60-5.jpg

相似文献

1
A case of matrix-producing carcinoma of the breast.一例乳腺产基质癌。
World J Surg Oncol. 2008 Jun 17;6:60. doi: 10.1186/1477-7819-6-60.
2
[Matrix-producing breast carcinoma with myoepithelial differentiation--description of 11 cases and review of literature aimed at histogenesis and differential diagnosis].[具有肌上皮分化的产生基质的乳腺癌——11例病例描述及针对组织发生和鉴别诊断的文献综述]
Ceska Gynekol. 2004 May;69(3):229-36.
3
[A Case of Matrix-Producing Carcinoma of the Breast].[一例乳腺基质生成癌]
J UOEH. 2017;39(2):167-173. doi: 10.7888/juoeh.39.167.
4
Matrix-producing carcinoma: a rare variant of metaplastic breast carcinoma with heterologous elements.产生基质的癌:一种具有异源成分的化生性乳腺癌的罕见变体。
Breast J. 2010 Jul-Aug;16(4):420-3. doi: 10.1111/j.1524-4741.2010.00925.x. Epub 2010 May 26.
5
A case of matrix-producing carcinoma of the breast with micoglandular adenosis and review of literature.一例伴有微腺性腺病的乳腺产基质癌及文献复习
Int J Clin Exp Pathol. 2015 Jul 1;8(7):8568-72. eCollection 2015.
6
Spindle cell metaplastic carcinoma of breast: A clinicopathological and immunohistochemical analysis.乳腺梭形细胞化生癌:临床病理及免疫组化分析
Asia Pac J Clin Oncol. 2017 Apr;13(2):e72-e78. doi: 10.1111/ajco.12322. Epub 2014 Dec 8.
7
Matrix-Producing Carcinoma of the Breast: Case Report.乳腺基质生成癌:病例报告
J Breast Health. 2015 Oct 1;11(4):202-204. doi: 10.5152/tjbh.2015.2411. eCollection 2015 Oct.
8
Invasive ductal carcinoma of the breast with a large central acellular zone associated with matrix-producing carcinoma.乳腺浸润性导管癌伴大片中央无细胞区,与产基质癌相关。
Tumori. 2004 Sep-Oct;90(5):498-500. doi: 10.1177/030089160409000510.
9
Clinicopathological characteristics of metaplastic breast cancer - analysis of the basic immunohistochemical profile and comparison with other invasive breast cancer types.化生性乳腺癌的临床病理特征——基本免疫组织化学特征分析及与其他浸润性乳腺癌类型的比较。
Breast. 2019 Feb;43:135-141. doi: 10.1016/j.breast.2018.12.004. Epub 2018 Dec 7.
10
Matrix-producing carcinoma of the breast in the Chinese population: a clinicopathological study of 13 cases.中国人乳腺产基质癌:13 例临床病理研究。
Pathol Int. 2011 Jul;61(7):415-22. doi: 10.1111/j.1440-1827.2011.02676.x. Epub 2011 May 18.

引用本文的文献

1
Metaplastic carcinoma of the breast: Clinicopathological features and treatment outcomes with long-term follow up.乳腺化生性癌:临床病理特征及长期随访的治疗结果
Mol Clin Oncol. 2021 Sep;15(3):178. doi: 10.3892/mco.2021.2340. Epub 2021 Jul 1.
2
Matrix-producing Breast Carcinoma: A Rare Subtype of Metaplastic Breast Carcinoma.产基质乳腺癌:一种罕见的化生性乳腺癌亚型
Cureus. 2019 Jul 22;11(7):e5188. doi: 10.7759/cureus.5188.
3
Rare case of metaplastic breast cancer in a man.男性发生化生性乳腺癌的罕见病例。

本文引用的文献

1
Epithelial-mesenchymal transition in breast cancer relates to the basal-like phenotype.乳腺癌中的上皮-间质转化与基底样表型相关。
Cancer Res. 2008 Feb 15;68(4):989-97. doi: 10.1158/0008-5472.CAN-07-2017.
2
BRCA1 regulates human mammary stem/progenitor cell fate.BRCA1基因调控人类乳腺干细胞/祖细胞的命运。
Proc Natl Acad Sci U S A. 2008 Feb 5;105(5):1680-5. doi: 10.1073/pnas.0711613105. Epub 2008 Jan 29.
3
Epithelial--mesenchymal and mesenchymal--epithelial transitions in carcinoma progression.上皮-间质转化和间质-上皮转化在肿瘤进展中的作用
BMJ Case Rep. 2018 Mar 7;2018:bcr-2017-222033. doi: 10.1136/bcr-2017-222033.
4
Cytopathological features of matrix-producing carcinoma of the breast.乳腺产基质癌的细胞病理学特征。
J Cytol. 2015 Jan-Mar;32(1):33-5. doi: 10.4103/0970-9371.155231.
5
Breast carcinoma with a predominant duct-replacing component and chondroid matrix production.以导管替代成分为主且产生软骨样基质的乳腺癌。
Med Mol Morphol. 2016 Dec;49(4):233-237. doi: 10.1007/s00795-015-0101-8. Epub 2015 Mar 28.
6
Matrix-producing carcinoma of the breast: a case report.乳腺基质生成癌:一例报告
Case Rep Oncol. 2013 May 1;6(2):245-9. doi: 10.1159/000351119. Print 2013 May.
J Cell Physiol. 2007 Nov;213(2):374-83. doi: 10.1002/jcp.21223.
4
Molecular signatures of metaplastic carcinoma of the breast by large-scale transcriptional profiling: identification of genes potentially related to epithelial-mesenchymal transition.通过大规模转录谱分析乳腺化生性癌的分子特征:鉴定与上皮-间质转化潜在相关的基因
Oncogene. 2007 Dec 13;26(57):7859-71. doi: 10.1038/sj.onc.1210593. Epub 2007 Jul 2.
5
A mouse model of basal-like breast carcinoma with metaplastic elements.一种具有化生成分的基底样乳腺癌小鼠模型。
J Pathol. 2007 Mar;211(4):389-98. doi: 10.1002/path.2124.
6
CD44+/CD24- breast cancer cells exhibit enhanced invasive properties: an early step necessary for metastasis.CD44+ /CD24-乳腺癌细胞表现出增强的侵袭特性:这是转移所必需的早期步骤。
Breast Cancer Res. 2006;8(5):R59. doi: 10.1186/bcr1610.
7
Metaplastic breast cancer: clinical significance.化生性乳腺癌:临床意义
Am J Surg. 2006 May;191(5):657-64. doi: 10.1016/j.amjsurg.2006.01.038.
8
p63 is useful in the diagnosis of mammary metaplastic carcinomas.p63在乳腺化生癌的诊断中很有用。
Pathology. 2006 Feb;38(1):16-20. doi: 10.1080/00313020500444625.
9
Metaplastic breast cancer: clinical features and outcomes.化生性乳腺癌:临床特征与预后
Am Surg. 2005 Sep;71(9):725-30.
10
Metaplastic carcinoma of the breast: a clinicopathological review.乳腺化生性癌:临床病理综述
J Clin Pathol. 2006 Oct;59(10):1079-83. doi: 10.1136/jcp.2005.030536. Epub 2006 Feb 7.