Sakane Isao, Kamataki Chiaki, Takizawa Yoshimasa, Nakashima Marina, Toki Seiichi, Ichikawa Hiroaki, Ikawa Shukuko, Shibata Takehiko, Kurumizaka Hitoshi
Consolidated Research Institute for Advanced Science and Medical Care, Waseda University, 513 Wasedatsurumaki-cho, Shinjuku-ku, Tokyo 162-0041, Japan.
Nucleic Acids Res. 2008 Aug;36(13):4266-76. doi: 10.1093/nar/gkn405. Epub 2008 Jun 26.
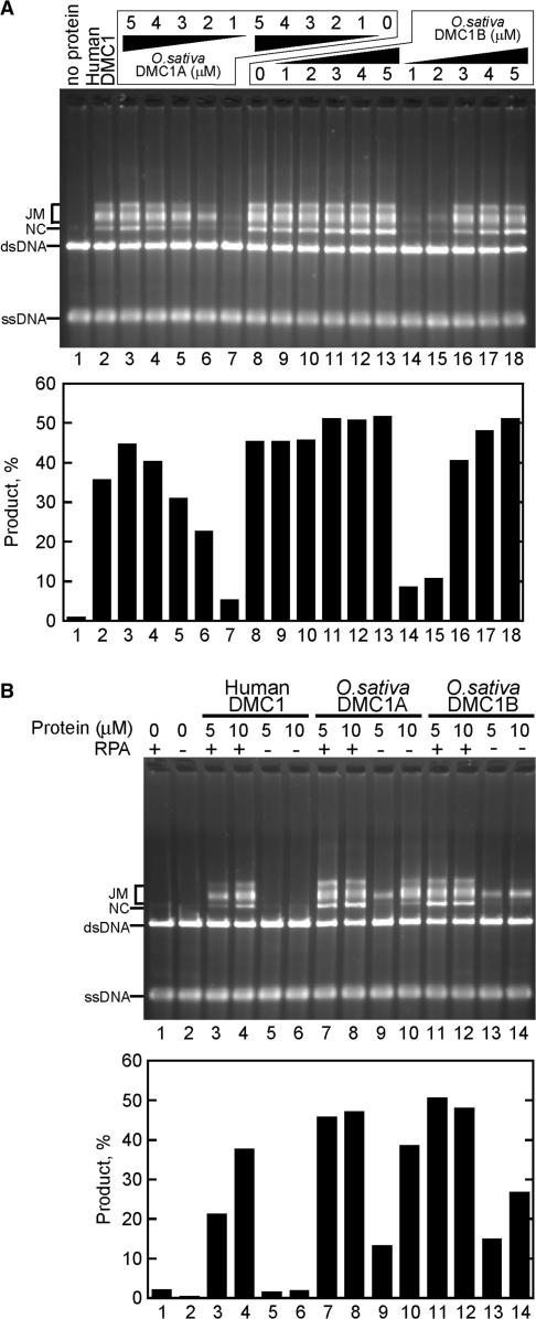
The DMC1 protein, a meiosis-specific DNA recombinase, catalyzes strand exchange between homologous chromosomes. In rice, two Dmc1 genes, Dmc1A and Dmc1B, have been reported. Although the Oryza sativa DMC1A protein has been partially characterized, however the biochemical properties of the DMC1B protein have not been defined. In the present study, we expressed the Oryza sativa DMC1A and DMC1B proteins in bacteria and purified them. The purified DMC1A and DMC1B proteins formed helical filaments along single-stranded DNA (ssDNA) and double-stranded DNA (dsDNA), and promoted robust strand exchange between ssDNA and dsDNA over five thousand base pairs in the presence of RPA, as a co-factor. The DMC1A and DMC1B proteins also promoted strand exchange in the absence of RPA with long DNA substrates containing several thousand base pairs. In contrast, the human DMC1 protein strictly required RPA to promote strand exchange with these long DNA substrates. The strand-exchange activity of the Oryza sativa DMC1A protein was much higher than that of the DMC1B protein. Consistently, the DNA-binding activity of the DMC1A protein was higher than that of the DMC1B protein. These biochemical differences between the DMC1A and DMC1B proteins may provide important insight into their functional differences during meiosis in rice.
DMC1蛋白是一种减数分裂特异性DNA重组酶,可催化同源染色体之间的链交换。在水稻中,已报道了两个Dmc1基因,即Dmc1A和Dmc1B。尽管水稻DMC1A蛋白已得到部分表征,但DMC1B蛋白的生化特性尚未明确。在本研究中,我们在细菌中表达了水稻DMC1A和DMC1B蛋白并进行了纯化。纯化后的DMC1A和DMC1B蛋白沿着单链DNA(ssDNA)和双链DNA(dsDNA)形成螺旋丝,并在作为辅因子的RPA存在下促进了超过5000个碱基对的ssDNA和dsDNA之间强大的链交换。DMC1A和DMC1B蛋白在没有RPA的情况下,对于含有数千个碱基对的长DNA底物也能促进链交换。相比之下,人类DMC1蛋白严格需要RPA来促进与这些长DNA底物的链交换。水稻DMC1A蛋白的链交换活性远高于DMC1B蛋白。同样,DMC1A蛋白的DNA结合活性也高于DMC1B蛋白。DMC1A和DMC1B蛋白之间的这些生化差异可能为深入了解它们在水稻减数分裂过程中的功能差异提供重要线索。