Suppr超能文献

Atelectasis induced by thoracotomy causes lung injury during mechanical ventilation in endotoxemic rats.

作者信息

Choi Won-Il, Kwon Kun Young, Kim Jin Mo, Quinn Deborah A, Hales Charles A, Seo Jeong Wook

机构信息

Department of Medicine, Keimyung University Dongsan Hospital, Daegu, Korea.

出版信息

J Korean Med Sci. 2008 Jun;23(3):406-13. doi: 10.3346/jkms.2008.23.3.406.

Abstract

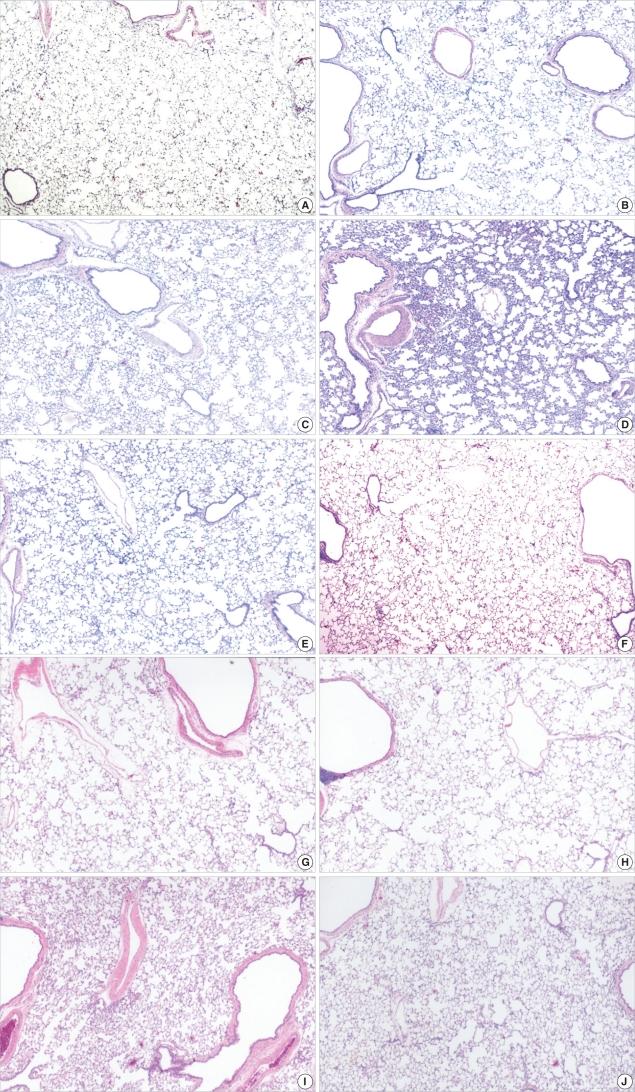
Atelectasis can impair arterial oxygenation and decrease lung compliance. However, the effects of atelectasis on endotoxemic lungs during ventilation have not been well studied. We hypothesized that ventilation at low volumes below functional residual capacity (FRC) would accentuate lung injury in lipopolysaccharide (LPS)-pretreated rats. LPS-pretreated rats were ventilated with room air at 85 breaths/min for 2 hr at a tidal volume of 10 mL/kg with or without thoracotomy. Positive end-expiratory pressure (PEEP) was applied to restore FRC in the thoracotomy group. While LPS or thoracotomy alone did not cause significant injury, the combination of endotoxemia and thoracotomy caused significant hypoxemia and hypercapnia. The injury was observed along with a marked accumulation of inflammatory cells in the interstitium of the lungs, predominantly comprising neutrophils and mononuclear cells. Immunohistochemistry showed increased inducible nitric oxide synthase (iNOS) expression in mononuclear cells accumulated in the interstitium in the injury group. Pretreatment with PEEP or an iNOS inhibitor (1400 W) attenuated hypoxemia, hypercapnia, and the accumulation of inflammatory cells in the lung. In conclusion, the data suggest that atelectasis induced by thoracotomy causes lung injury during mechanical ventilation in endotoxemic rats through iNOS expression.

摘要
https://cdn.ncbi.nlm.nih.gov/pmc/blobs/3a55/2526521/c69cce5140e8/jkms-23-406-g001.jpg

文献AI研究员

20分钟写一篇综述,助力文献阅读效率提升50倍。

立即体验

用中文搜PubMed

大模型驱动的PubMed中文搜索引擎

马上搜索

文档翻译

学术文献翻译模型,支持多种主流文档格式。

立即体验