Mathew Grace, Mckay David S, Ciftçioglu Neva
Nanobac Pharmaceuticals Inc, Johnson Space Center, Houston,TX 77058, USA.
Int J Nanomedicine. 2008;3(2):265-75.
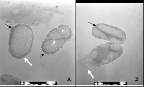
The nanotechnology industry is currently in the process of producing new nanoparticles. The biological activity of nanoparticles including adverse as well as beneficial effects tends to increase as their size decreases. The smaller the particles are, the greater their bioactivity and toxicity. Thus, one can easily conjecture the impact ofa nanoparticle if it could also self-replicate. This in vitro study reveals the self-propagating ability of unique calcifying nanoparticles (CNP) that can be as small as 50 nm in size and found in blood, blood products, and calcified soft tissues. Although specific detection techniques, morphological characteristics and biomineralizing properties of CNP are well established, their genomic information and self-propagating capability have always been challenged. The objective of this study is to document the propagation of CNP under physiological conditions, using inverted light microscopy (LM) and the Biostation IM time-lapse imaging system. Their detailed morphological structure was examined using scanning (SEM) and transmission (TEM) electron microscopy. This present study, in conjunction with previous findings of metabolic activity, antibiotic sensitivity, antibody specificity, morphological aspects and infectivity, validates CNP as self-replicators. Therefore these sterile-filterable, blood-borne nanoparticles should be of concern to the nanomedicine industry.
纳米技术产业目前正在生产新型纳米颗粒。纳米颗粒的生物活性,包括不良影响和有益影响,往往会随着其尺寸的减小而增加。颗粒越小,其生物活性和毒性就越大。因此,人们很容易推测,如果纳米颗粒能够自我复制会产生怎样的影响。这项体外研究揭示了独特的钙化纳米颗粒(CNP)的自我繁殖能力,这种纳米颗粒大小可至50纳米,存在于血液、血液制品和钙化软组织中。尽管CNP的特定检测技术、形态特征和生物矿化特性已得到充分证实,但其基因组信息和自我繁殖能力一直受到质疑。本研究的目的是使用倒置光学显微镜(LM)和Biostation IM延时成像系统记录CNP在生理条件下的繁殖情况。使用扫描电子显微镜(SEM)和透射电子显微镜(TEM)检查其详细的形态结构。本研究结合先前关于代谢活性、抗生素敏感性、抗体特异性、形态学方面和感染性的研究结果,证实CNP具有自我复制能力。因此,这些可通过无菌过滤、存在于血液中的纳米颗粒应引起纳米医学行业的关注。