Suppr超能文献

肝脏良性神经鞘瘤:一例报告

Benign schwannoma of the liver: a case report.

作者信息

Lee Won Hyun, Kim Tae Hyo, You Soong Suk, Choi Sun Pil, Min Hyun Ju, Kim Hyun Jin, Lee Ok Jae, Ko Gyung Hyuck

机构信息

Department of Internal Medicine, Gyeongsang National University School of Medicine, Jinju, Korea.

出版信息

J Korean Med Sci. 2008 Aug;23(4):727-30. doi: 10.3346/jkms.2008.23.4.727.

Abstract

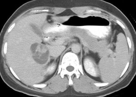
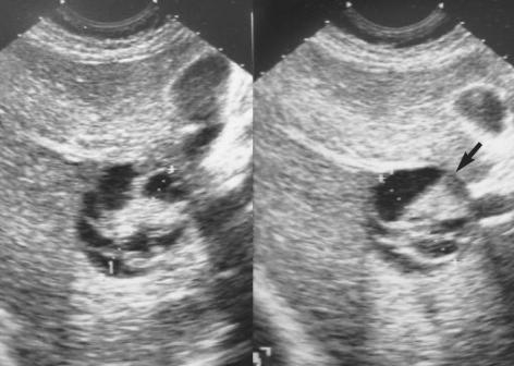
A primary benign schwannoma of the liver is extremely rare. Only nine cases have been reported in the medical literature worldwide and no case has been reported in Korea previously. A 36-yr-old woman was admitted to our hospital with vague epigastric pain. The ultrasound and computed tomography scan revealed a multi-septated cystic mass in the right lobe of the liver. The mass was resected; it was found to be a 5 x 4 x 2 cm mass filled with reddish yellow fluid. The histological examination confirmed the diagnosis of a benign schwannoma, proven by positive immunoreaction with the neurogenic marker S-100 protein and a negative response to CD34, CD117 and smooth muscle actin. This is the first report of a benign schwannoma of the liver parenchyma in a Korean patient.

摘要

原发性肝脏良性神经鞘瘤极为罕见。全球医学文献中仅报道过9例,韩国此前尚无相关病例报告。一名36岁女性因上腹部隐痛入院。超声和计算机断层扫描显示肝脏右叶有一个多分隔的囊性肿块。该肿块被切除,发现是一个5×4×2厘米的肿块,充满红黄相间的液体。组织学检查证实为良性神经鞘瘤,通过与神经源性标志物S-100蛋白的阳性免疫反应以及对CD34、CD117和平滑肌肌动蛋白的阴性反应得以证实。这是韩国患者肝脏实质良性神经鞘瘤的首例报告。

https://cdn.ncbi.nlm.nih.gov/pmc/blobs/dab5/2526407/43e392bdf375/jkms-23-727-g001.jpg

文献AI研究员

20分钟写一篇综述,助力文献阅读效率提升50倍。

立即体验

用中文搜PubMed

大模型驱动的PubMed中文搜索引擎

马上搜索

文档翻译

学术文献翻译模型,支持多种主流文档格式。

立即体验