Suppr超能文献

含动静脉袢组织工程腔室中的新生血管形成:NADPH氧化酶的作用

Neovascularization in an arterio-venous loop-containing tissue engineering chamber: role of NADPH oxidase.

作者信息

Jiang F, Zhang G, Hashimoto I, Kumar B S, Bortolotto S, Morrison W A, Dusting G J

机构信息

Bernard O'Brien Institute of Microsurgery, the University of Melbourne, Victoria, Australia.

出版信息

J Cell Mol Med. 2008 Oct;12(5B):2062-72. doi: 10.1111/j.1582-4934.2008.00199.x.

Abstract

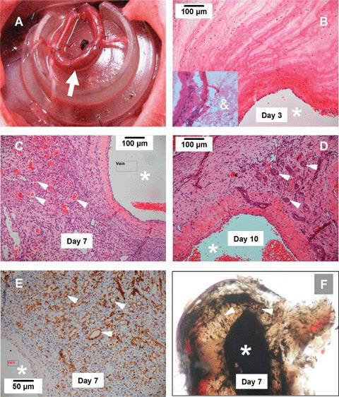
Using an in vivo arterio-venous loop-containing tissue-engineering chamber, we have created a variety of vascularized tissue blocks, including functional myocardium. The viability of the transplanted cells is limited by the rate of neovascularization in the chamber. A Nox2-containing nicotinamide adenine dinucleotide phosphate (NADPH) oxidase is thought to have a critical role in ischaemic angiogenesis. In this study we investigated whether NADPH oxidase is involved in the neovascularization process in the tissue-engineering chamber. New blood vessels originating from the venous and the arterial ends of the loop could be identified after 3 days, and the vessel density (by lectin staining) peaked after 7 days and was maintained for at least 14 days. This was accompanied by granulation tissue formation and concomitant increase in the mRNA level of Nox4 NADPH oxidase. Although the total level of Nox2 mRNA in the chamber tissue decreased from day 3 to day 7, immunohistochemistry identified a strong expression of Nox2 in the endothelial cells of the new vessels. In human microvascular endothelial cells, the NADPH oxidase inhibitor apocynin reduced NADPH oxidase activity and inhibited the angiogenic responses in vitro. Local treatment with the NADPH oxidase inhibitors apocynin or gp91ds-tat peptide significantly suppressed the vessel growth in the chamber. In conclusion, NADPH oxidase-dependent redox signalling is important for neovascularization in this novel tissue-engineering chamber in vivo, and boosting this signalling might be a new approach to extending vascularization and tissue growth.

摘要

利用包含动静脉环的体内组织工程腔室,我们已构建出多种血管化组织块,包括功能性心肌。移植细胞的活力受腔室内血管生成速率的限制。含Nox2的烟酰胺腺嘌呤二核苷酸磷酸(NADPH)氧化酶被认为在缺血性血管生成中起关键作用。在本研究中,我们调查了NADPH氧化酶是否参与组织工程腔室中的血管生成过程。3天后可识别出来自环的静脉端和动脉端的新生血管,血管密度(通过凝集素染色)在7天后达到峰值,并维持至少14天。这伴随着肉芽组织形成以及Nox4 NADPH氧化酶mRNA水平的相应增加。尽管腔室组织中Nox2 mRNA的总水平从第3天到第7天有所下降,但免疫组织化学显示Nox2在新生血管的内皮细胞中有强烈表达。在人微血管内皮细胞中,NADPH氧化酶抑制剂夹竹桃麻素降低了NADPH氧化酶活性并在体外抑制了血管生成反应。用NADPH氧化酶抑制剂夹竹桃麻素或gp91ds - tat肽进行局部处理可显著抑制腔室内的血管生长。总之,NADPH氧化酶依赖性氧化还原信号传导对于这种新型体内组织工程腔室中的血管生成很重要,增强这种信号传导可能是扩展血管化和组织生长的一种新方法。

https://cdn.ncbi.nlm.nih.gov/pmc/blobs/9de5/4506171/7d2dcb710c0a/jcmm0012-2062-f1.jpg

文献AI研究员

20分钟写一篇综述,助力文献阅读效率提升50倍。

立即体验

用中文搜PubMed

大模型驱动的PubMed中文搜索引擎

马上搜索

文档翻译

学术文献翻译模型,支持多种主流文档格式。

立即体验