Suppr超能文献

FUSE结合蛋白FBP1和FBP3是肾脏中潜在的c-myc调节因子,但在前列腺癌和膀胱癌中不是。

The FUSE binding proteins FBP1 and FBP3 are potential c-myc regulators in renal, but not in prostate and bladder cancer.

作者信息

Weber Achim, Kristiansen Ilka, Johannsen Manfred, Oelrich Beibei, Scholmann Katharina, Gunia Sven, May Matthias, Meyer Hellmuth-Alexander, Behnke Silvia, Moch Holger, Kristiansen Glen

机构信息

Department of Pathology, Institute of Surgical Pathology, University Hospital Zurich, Zurich, Switzerland.

出版信息

BMC Cancer. 2008 Dec 16;8:369. doi: 10.1186/1471-2407-8-369.

Abstract

BACKGROUND

The three far-upstream element (FUSE) binding proteins (FBP1, FBP2, and FBP3) belong to an ancient family of single-stranded DNA binding proteins which are required for proper regulation of the c-myc proto-oncogene. Whereas it is known that c-myc alterations play a completely different role in various carcinomas of the urogenital tract, the relevance of FBPs is unclear.

METHODS

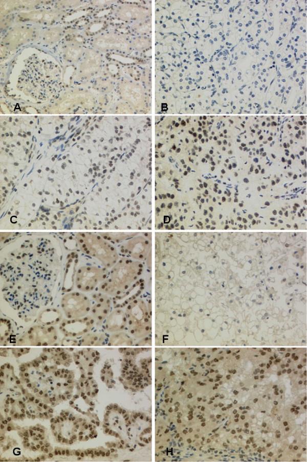
FBP1, FBP3 and c-myc expression was studied in 105 renal cell, 95 prostate and 112 urinary bladder carcinomas by immunohistochemistry using tissue microarrays.

RESULTS

High rates of FBP1 and FBP3 expression were observed in all cancer types. There was a concomitant up-regulation of FBP1 and FBP3 in renal cell and prostate carcinomas (p < 0.001 both). C-myc expression was detectable in 21% of prostate, 30% of renal and 34% of urothelial carcinomas. Interestingly, strong FBP1 and FBP3 expression was associated with c-myc up-regulation in clear cell renal cell carcinomas (p < 0.001 and 0.09 resp.), but not in bladder or prostate cancer.

CONCLUSION

The correlation between FBP1/FBP3, c-myc and high proliferation rate in renal cell carcinoma provides strong in vivo support for the suggested role of FBP1 and FBP3 as activators of c-myc. The frequent up-regulation of FBP1 and FBP3 in urothelial and prostate carcinoma suggests that FBPs also have an important function in gene regulation of these tumors.

摘要

背景

三种远上游元件(FUSE)结合蛋白(FBP1、FBP2和FBP3)属于古老的单链DNA结合蛋白家族,是原癌基因c-myc正常调控所必需的。虽然已知c-myc改变在泌尿生殖道的各种癌中发挥完全不同的作用,但FBP的相关性尚不清楚。

方法

使用组织微阵列通过免疫组织化学研究了105例肾细胞癌、95例前列腺癌和112例膀胱癌中的FBP1、FBP3和c-myc表达。

结果

在所有癌症类型中均观察到FBP1和FBP3的高表达率。肾细胞癌和前列腺癌中FBP1和FBP3同时上调(两者p均<0.001)。在21%的前列腺癌、30%的肾细胞癌和34%的尿路上皮癌中可检测到c-myc表达。有趣的是,在透明细胞肾细胞癌中,FBP1和FBP3的强表达与c-myc上调相关(分别为p<0.001和0.09),但在膀胱癌或前列腺癌中则不然。

结论

肾细胞癌中FBP1/FBP3、c-myc与高增殖率之间的相关性为FBP1和FBP3作为c-myc激活剂的假定作用提供了有力的体内支持。FBP1和FBP3在尿路上皮癌和前列腺癌中频繁上调表明FBP在这些肿瘤的基因调控中也具有重要功能。

https://cdn.ncbi.nlm.nih.gov/pmc/blobs/5809/2631590/7c9dbcdf6775/1471-2407-8-369-1.jpg

文献检索

告别复杂PubMed语法,用中文像聊天一样搜索,搜遍4000万医学文献。AI智能推荐,让科研检索更轻松。

立即免费搜索

文件翻译

保留排版,准确专业,支持PDF/Word/PPT等文件格式,支持 12+语言互译。

免费翻译文档

深度研究

AI帮你快速写综述,25分钟生成高质量综述,智能提取关键信息,辅助科研写作。

立即免费体验