• 文献检索
  • 文档翻译
  • 深度研究
  • 学术资讯
  • Suppr Zotero 插件Zotero 插件
  • 邀请有礼
  • 套餐&价格
  • 历史记录
应用&插件
Suppr Zotero 插件Zotero 插件浏览器插件Mac 客户端Windows 客户端微信小程序
定价
高级版会员购买积分包购买API积分包
服务
文献检索文档翻译深度研究API 文档MCP 服务
关于我们
关于 Suppr公司介绍联系我们用户协议隐私条款
关注我们

Suppr 超能文献

核心技术专利:CN118964589B侵权必究
粤ICP备2023148730 号-1Suppr @ 2026

文献检索

告别复杂PubMed语法,用中文像聊天一样搜索,搜遍4000万医学文献。AI智能推荐,让科研检索更轻松。

立即免费搜索

文件翻译

保留排版,准确专业,支持PDF/Word/PPT等文件格式,支持 12+语言互译。

免费翻译文档

深度研究

AI帮你快速写综述,25分钟生成高质量综述,智能提取关键信息,辅助科研写作。

立即免费体验

E2F-5的过表达与病理性基底表型及更差的临床预后相关。

Overexpression of E2F-5 correlates with a pathological basal phenotype and a worse clinical outcome.

作者信息

Umemura S, Shirane M, Takekoshi S, Kusakabe T, Itoh J, Egashira N, Tokuda Y, Mori K, Osamura Y R

机构信息

Department of Pathology, Tokai University School of Medicine, Isehara, Japan.

出版信息

Br J Cancer. 2009 Mar 10;100(5):764-71. doi: 10.1038/sj.bjc.6604900.

DOI:10.1038/sj.bjc.6604900
PMID:19259095
原文链接:https://pmc.ncbi.nlm.nih.gov/articles/PMC2653774/
Abstract

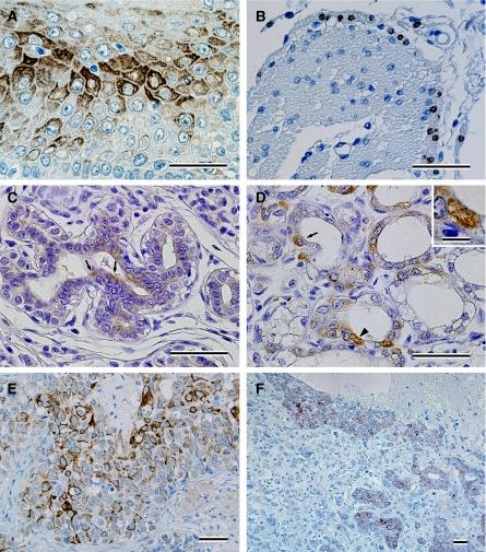
The purpose of the present study is to identify genes that contribute to cell proliferation or differentiation of breast cancers independent of signalling through the oestrogen receptor (ER) or human epidermal growth factor receptor 2 (HER2). An oligonucleotide microarray assayed 40 tumour samples from ER(+)/HER2(-), ER(+)/HER2(+), ER(-)/HER2(+), and ER(-)/HER2(-) breast cancer tissues. Quantitative reverse transcriptase PCR detected overexpression of a cell cycle-related transcription factor, E2F-5, in ER-negative breast cancers, and fluorescence in situ hybridisation detected gene amplification of E2F-5 in 5 out of 57 (8.8%) breast cancer samples. No point mutations were found in the DNA-binding or DNA-dimerisation domain of E2F-5. Immunohistochemically, E2F-5-positive cancers correlated with a higher Ki-67 labelling index (59.5%, P=0.001) and higher histological grades (P=0.049). E2F-5-positive cancers were found more frequently in ER(-)/progesterone receptor (PgR)(-)/HER2(-) cancer samples (51.9%, P=0.0049) and in breast cancer samples exhibiting a basal phenotype (56.0%, P=0.0012). Disease-free survival in node-negative patients with E2F-5-positive cancers was shorter than for patients with E2F-5-negative cancers. In conclusion, we identify, for the first time, a population of breast cancer cells that overexpress the cell cycle-related transcription factor, E2F-5. This E2F-5-positive breast cancer subtype was associated with an ER(-)/PgR(-)/HER2(-) status, a basal phenotype, and a worse clinical outcome.

摘要

本研究的目的是鉴定那些独立于雌激素受体(ER)或人表皮生长因子受体2(HER2)信号传导,而对乳腺癌细胞增殖或分化有作用的基因。一个寡核苷酸微阵列分析了来自ER(+)/HER2(-)、ER(+)/HER2(+)、ER(-)/HER2(+)和ER(-)/HER2(-)乳腺癌组织的40个肿瘤样本。定量逆转录聚合酶链反应检测到在ER阴性乳腺癌中一个细胞周期相关转录因子E2F-5的过表达,并且荧光原位杂交在57个乳腺癌样本中的5个(8.8%)检测到E2F-5的基因扩增。在E2F-5的DNA结合或DNA二聚化结构域未发现点突变。免疫组织化学显示,E2F-5阳性癌症与更高的Ki-67标记指数(59.5%,P = 0.001)和更高的组织学分级(P = 0.049)相关。E2F-5阳性癌症在ER(-)/孕激素受体(PgR)(-)/HER2(-)癌症样本中更常见(51.9%,P = 0.0049),并且在表现为基底样表型的乳腺癌样本中也更常见(56.0%,P = 0.0012)。E2F-5阳性癌症的淋巴结阴性患者的无病生存期短于E2F-5阴性癌症的患者。总之,我们首次鉴定出一群过表达细胞周期相关转录因子E2F-5的乳腺癌细胞。这种E2F-5阳性乳腺癌亚型与ER(-)/PgR(-)/HER2(-)状态、基底样表型以及更差的临床结局相关。

https://cdn.ncbi.nlm.nih.gov/pmc/blobs/95b4/2653774/1942c3d8e44d/6604900f4.jpg
https://cdn.ncbi.nlm.nih.gov/pmc/blobs/95b4/2653774/7943ab99102c/6604900f1.jpg
https://cdn.ncbi.nlm.nih.gov/pmc/blobs/95b4/2653774/c2951c3b523b/6604900f2.jpg
https://cdn.ncbi.nlm.nih.gov/pmc/blobs/95b4/2653774/75eee0197cb7/6604900f3.jpg
https://cdn.ncbi.nlm.nih.gov/pmc/blobs/95b4/2653774/1942c3d8e44d/6604900f4.jpg
https://cdn.ncbi.nlm.nih.gov/pmc/blobs/95b4/2653774/7943ab99102c/6604900f1.jpg
https://cdn.ncbi.nlm.nih.gov/pmc/blobs/95b4/2653774/c2951c3b523b/6604900f2.jpg
https://cdn.ncbi.nlm.nih.gov/pmc/blobs/95b4/2653774/75eee0197cb7/6604900f3.jpg
https://cdn.ncbi.nlm.nih.gov/pmc/blobs/95b4/2653774/1942c3d8e44d/6604900f4.jpg

相似文献

1
Overexpression of E2F-5 correlates with a pathological basal phenotype and a worse clinical outcome.E2F-5的过表达与病理性基底表型及更差的临床预后相关。
Br J Cancer. 2009 Mar 10;100(5):764-71. doi: 10.1038/sj.bjc.6604900.
2
Apocrine carcinoma as triple-negative breast cancer: novel definition of apocrine-type carcinoma as estrogen/progesterone receptor-negative and androgen receptor-positive invasive ductal carcinoma.三阴性乳腺癌中的大汗腺癌:大汗腺型浸润性导管癌为雌激素/孕激素受体阴性、雄激素受体阳性的新型定义。
Jpn J Clin Oncol. 2012 May;42(5):375-86. doi: 10.1093/jjco/hys034. Epub 2012 Mar 26.
3
Correlation of Wilms' tumor 1 isoforms with HER2 and ER-α and its oncogenic role in breast cancer.Wilms 瘤 1 异构体与 HER2 和 ER-α 的相关性及其在乳腺癌中的致癌作用。
Anticancer Res. 2014 Mar;34(3):1333-42.
4
Overexpression of fatty acid binding protein-7 correlates with basal-like subtype of breast cancer.脂肪酸结合蛋白-7 的过表达与乳腺癌的基底样亚型相关。
Pathol Res Pract. 2010 Feb 15;206(2):98-101. doi: 10.1016/j.prp.2009.06.010. Epub 2009 Jul 15.
5
Breast cancer biomarkers in clinical testing: analysis of a UK national external quality assessment scheme for immunocytochemistry and in situ hybridisation database containing results from 199 300 patients.临床检测中的乳腺癌生物标志物:对包含 199300 名患者结果的英国国家免疫细胞化学和原位杂交外部质量评估计划数据库进行分析。
J Pathol Clin Res. 2018 Oct;4(4):262-273. doi: 10.1002/cjp2.112. Epub 2018 Sep 21.
6
Expression of HER2 and estrogen receptor alpha depends upon nuclear localization of Y-box binding protein-1 in human breast cancers.HER2和雌激素受体α的表达取决于人乳腺癌中Y盒结合蛋白-1的核定位。
Cancer Res. 2008 Mar 1;68(5):1504-12. doi: 10.1158/0008-5472.CAN-07-2362.
7
Apoptosis-, proliferation, immune function-, and drug resistance- related genes in ER positive, HER2 positive and triple negative breast cancer.ER 阳性、HER2 阳性和三阴性乳腺癌中的凋亡、增殖、免疫功能和耐药相关基因。
Neoplasma. 2012;59(4):424-32. doi: 10.4149/neo_2012_055.
8
Over-Expressed Twist Associates with Markers of Epithelial Mesenchymal Transition and Predicts Poor Prognosis in Breast Cancers via ERK and Akt Activation.过表达的Twist与上皮-间质转化标志物相关,并通过激活ERK和Akt预测乳腺癌的不良预后。
PLoS One. 2015 Aug 21;10(8):e0135851. doi: 10.1371/journal.pone.0135851. eCollection 2015.
9
Forkhead box A1 expression in breast cancer is associated with luminal subtype and good prognosis.乳腺癌中叉头框A1的表达与腔面亚型及良好预后相关。
J Clin Pathol. 2008 Mar;61(3):327-32. doi: 10.1136/jcp.2007.052431. Epub 2007 Nov 23.
10
CpG island methylation profile of estrogen receptor alpha in Iranian females with triple negative or non-triple negative breast cancer: new marker of poor prognosis.伊朗三阴性或非三阴性乳腺癌女性雌激素受体α的CpG岛甲基化谱:预后不良的新标志物
Asian Pac J Cancer Prev. 2012;13(2):451-7. doi: 10.7314/apjcp.2012.13.2.451.

引用本文的文献

1
Insight into mammary gland development and tumor progression in an E2F5 conditional knockout mouse model.E2F5 条件性敲除小鼠模型中对乳腺发育和肿瘤进展的深入了解。
Oncogene. 2024 Nov;43(46):3402-3415. doi: 10.1038/s41388-024-03172-4. Epub 2024 Sep 28.
2
Role of non-coding RNAs and exosomal non-coding RNAs in retinoblastoma progression.非编码RNA和外泌体非编码RNA在视网膜母细胞瘤进展中的作用。
Front Cell Dev Biol. 2022 Dec 23;10:1065837. doi: 10.3389/fcell.2022.1065837. eCollection 2022.
3
CDK13 upregulation-induced formation of the positive feedback loop among circCDK13, miR-212-5p/miR-449a and E2F5 contributes to prostate carcinogenesis.

本文引用的文献

1
Progress and promise: highlights of the international expert consensus on the primary therapy of early breast cancer 2007.进展与前景:2007年早期乳腺癌主要治疗国际专家共识要点
Ann Oncol. 2007 Jul;18(7):1133-44. doi: 10.1093/annonc/mdm271.
2
Prognostic markers in triple-negative breast cancer.三阴性乳腺癌的预后标志物
Cancer. 2007 Jan 1;109(1):25-32. doi: 10.1002/cncr.22381.
3
Race, breast cancer subtypes, and survival in the Carolina Breast Cancer Study.《卡罗来纳乳腺癌研究中的种族、乳腺癌亚型与生存率》
CDK13 上调诱导 circCDK13、miR-212-5p/miR-449a 和 E2F5 之间的正反馈环形成,促进前列腺癌发生。
J Exp Clin Cancer Res. 2021 Jan 4;40(1):2. doi: 10.1186/s13046-020-01814-5.
4
The E2F Pathway Score as a Predictive Biomarker of Response to Neoadjuvant Therapy in ER+/HER2- Breast Cancer.E2F 通路评分作为 ER+/HER2- 乳腺癌新辅助治疗反应的预测性生物标志物。
Cells. 2020 Jul 8;9(7):1643. doi: 10.3390/cells9071643.
5
E2F6 is essential for cell viability in breast cancer cells during replication stress.在复制应激期间,E2F6对乳腺癌细胞的细胞活力至关重要。
Turk J Biol. 2019 Oct 14;43(5):293-304. doi: 10.3906/biy-1905-6. eCollection 2019.
6
The broken cycle: E2F dysfunction in cancer.断裂的循环:E2F 功能障碍与癌症。
Nat Rev Cancer. 2019 Jun;19(6):326-338. doi: 10.1038/s41568-019-0143-7.
7
Combined Androgen receptor blockade overcomes the resistance of breast cancer cells to palbociclib.联合雄激素受体阻断克服了乳腺癌细胞对帕博西利的耐药性。
Int J Biol Sci. 2019 Jan 1;15(3):522-532. doi: 10.7150/ijbs.30572. eCollection 2019.
8
The Proliferative and Apoptotic Landscape of Basal-like Breast Cancer.基底样乳腺癌的增殖和凋亡景观。
Int J Mol Sci. 2019 Feb 4;20(3):667. doi: 10.3390/ijms20030667.
9
Expressions and prognostic values of the transcription factors in human breast carcinoma.转录因子在人乳腺癌中的表达及其预后价值
Cancer Manag Res. 2018 Sep 13;10:3521-3532. doi: 10.2147/CMAR.S172332. eCollection 2018.
10
Expression patterns of E2F transcription factors and their potential prognostic roles in breast cancer.E2F转录因子在乳腺癌中的表达模式及其潜在的预后作用。
Oncol Lett. 2018 Jun;15(6):9216-9230. doi: 10.3892/ol.2018.8514. Epub 2018 Apr 17.
JAMA. 2006 Jun 7;295(21):2492-502. doi: 10.1001/jama.295.21.2492.
4
Phenotypic evaluation of the basal-like subtype of invasive breast carcinoma.浸润性乳腺癌基底样亚型的表型评估。
Mod Pathol. 2006 Feb;19(2):264-71. doi: 10.1038/modpathol.3800528.
5
Mitogenic activity of estrogens in human breast cancer cells does not rely on direct induction of mitogen-activated protein kinase/extracellularly regulated kinase or phosphatidylinositol 3-kinase.雌激素在人乳腺癌细胞中的促有丝分裂活性并不依赖于丝裂原活化蛋白激酶/细胞外调节激酶或磷脂酰肌醇3激酶的直接诱导。
Mol Endocrinol. 2004 Nov;18(11):2700-13. doi: 10.1210/me.2003-0133. Epub 2004 Aug 5.
6
Targeted therapy in breast cancer: the HER-2/neu gene and protein.乳腺癌的靶向治疗:HER-2/neu基因与蛋白
Mol Cell Proteomics. 2004 Apr;3(4):379-98. doi: 10.1074/mcp.R400001-MCP200. Epub 2004 Feb 3.
7
Repeated observation of breast tumor subtypes in independent gene expression data sets.在独立基因表达数据集中对乳腺肿瘤亚型的重复观察。
Proc Natl Acad Sci U S A. 2003 Jul 8;100(14):8418-23. doi: 10.1073/pnas.0932692100. Epub 2003 Jun 26.
8
pRb2/p130-E2F4/5-HDAC1-SUV39H1-p300 and pRb2/p130-E2F4/5-HDAC1-SUV39H1-DNMT1 multimolecular complexes mediate the transcription of estrogen receptor-alpha in breast cancer.pRb2/p130-E2F4/5-HDAC1-SUV39H1-p300和pRb2/p130-E2F4/5-HDAC1-SUV39H1-DNMT1多分子复合物介导乳腺癌中雌激素受体α的转录。
Oncogene. 2003 Jun 5;22(23):3511-7. doi: 10.1038/sj.onc.1206578.
9
EGFR family signaling and its association with breast cancer development and resistance to chemotherapy (Review).表皮生长因子受体(EGFR)家族信号传导及其与乳腺癌发生发展和化疗耐药性的关联(综述)
Int J Oncol. 2003 Feb;22(2):237-52.
10
Sibling rivalry in the E2F family.E2F家族中的同胞竞争。
Nat Rev Mol Cell Biol. 2002 Jan;3(1):11-20. doi: 10.1038/nrm714.