Marcy Pierre-Yves René, Thariat Juliet, Bozec Alex, Poissonnet Gilles, Benisvy Danielle, Dassonville Olivier
Head & Neck Oncology Imaging Department, Antoine Lacassagne Cancer Research Institute, 33 Avenue Valombrose, 06189, Nice, cedex1, France.
World J Surg Oncol. 2009 Apr 17;7:40. doi: 10.1186/1477-7819-7-40.
To show the benefits of Ultrasonography in the diagnosis of great vein involvement in the neck and mediastinum in thyroid malignancies (primary or secondary) in our experience and to report patient outcomes.
Clinical data were collected from the thyroid unit database of the Antoine Lacassagne Institute.
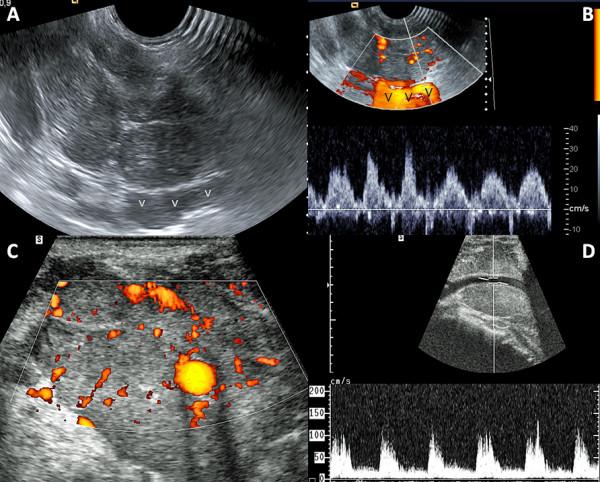
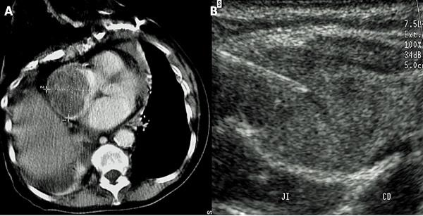
Of 1171 patients with thyroid cancer treated at our institution over the last 18 years, we retrospectively identified nine patients (0.8%), three women and six men, aged 34-81 years (median age: 70 years) presenting with malignant thyroid tumor of median diameter 45 mm (range: 23-87) having venous obstruction of thyroid malignancy origin. Two patients underwent multimodal therapy. All other patients underwent external beam radiation therapy alone +/- chemotherapy or palliative care. Ultrasound (US) provided particularly useful information on venous involvement characteristics. Median survival was 7 months and median progression-free survival was 6 months. Survival in our series was worse than that of previously reported series despite diagnosis of vein involvement at an early stage in 2/3 cases using US.
Despite small numbers of patients, it seems that aggressive treatment modalities including surgery are required to improve survival. In our experience, US was a useful non-invasive method to describe tumor extensions to great veins of the neck (invasion versus compression, tumor thrombus versus blood clot) and should be recommended to depict early venous invasion in cases of suspected thyroid malignancy.
根据我们的经验,展示超声检查在诊断甲状腺恶性肿瘤(原发性或继发性)颈部和纵隔大静脉受累情况方面的益处,并报告患者的预后。
从安托万·拉卡萨涅研究所的甲状腺科数据库收集临床数据。
在过去18年中,我们机构治疗的1171例甲状腺癌患者中,我们回顾性地确定了9例患者(0.8%),3名女性和6名男性,年龄34 - 81岁(中位年龄:70岁),患有中位直径45 mm(范围:23 - 87)的甲状腺恶性肿瘤且伴有甲状腺恶性肿瘤起源的静脉阻塞。2例患者接受了多模式治疗。所有其他患者仅接受了外照射放疗+/-化疗或姑息治疗。超声(US)提供了关于静脉受累特征的特别有用的信息。中位生存期为7个月,中位无进展生存期为6个月。尽管在2/3的病例中使用US早期诊断出静脉受累,但我们系列中的生存率仍低于先前报道的系列。
尽管患者数量较少,但似乎需要包括手术在内的积极治疗方式来提高生存率。根据我们的经验,US是一种有用的非侵入性方法,可用于描述肿瘤向颈部大静脉的扩展情况(侵犯与压迫、肿瘤血栓与血凝块),对于疑似甲状腺恶性肿瘤的病例,应推荐使用US来描绘早期静脉侵犯情况。