Suppr超能文献

伴有肉碱缺乏的脂质贮积性肌病致死病例。

Fatal cases of lipid storage myopathy with carnitine deficiency.

作者信息

Cornelio F, Di Donato S, Peluchetti D, Bizze A, Bertagnolio B, D'Angelo A, Wiesmann U

出版信息

J Neurol Neurosurg Psychiatry. 1977 Feb;40(2):170-8. doi: 10.1136/jnnp.40.2.170.

Abstract

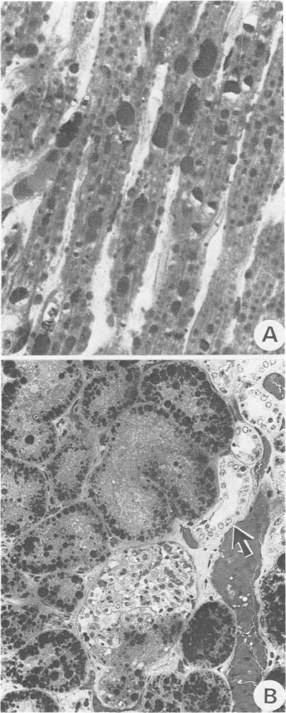
Three patients affected by a progressive myopathy with rapid lethal evolution are presented. Excessive lipid storage was found in type 1 fibres of muscle and in liver, kidney, and myocardium. Carnitine concentrations were markedly reduced in muscle, plasma, and heart, significantly lower in the liver, and normal in kidney. D-L carnitine replacement therapy was ineffective in the only case treated. The relationship of the present cases with the syndrome of lipid storage myopathy and carnitine deficiency is discussed.

摘要

本文报告了3例患有进行性肌病且病情迅速致命进展的患者。在肌肉的1型纤维以及肝脏、肾脏和心肌中发现了过量的脂质蓄积。肌肉、血浆和心脏中的肉碱浓度显著降低,肝脏中的浓度明显更低,而肾脏中的浓度正常。在唯一接受治疗的病例中,D - L肉碱替代疗法无效。本文还讨论了这些病例与脂质贮积性肌病综合征和肉碱缺乏症之间的关系。

https://cdn.ncbi.nlm.nih.gov/pmc/blobs/0871/492634/a3408d35ce0d/jnnpsyc00152-0067-a.jpg

文献检索

告别复杂PubMed语法,用中文像聊天一样搜索,搜遍4000万医学文献。AI智能推荐,让科研检索更轻松。

立即免费搜索

文件翻译

保留排版,准确专业,支持PDF/Word/PPT等文件格式,支持 12+语言互译。

免费翻译文档

深度研究

AI帮你快速写综述,25分钟生成高质量综述,智能提取关键信息,辅助科研写作。

立即免费体验