Suppr超能文献

嗜肺军团菌感染期间盘基网柄菌线粒体中的转录下调和核糖体RNA切割

Transcriptional down-regulation and rRNA cleavage in Dictyostelium discoideum mitochondria during Legionella pneumophila infection.

作者信息

Zhang Chenyu, Kuspa Adam

机构信息

Verna and Marrs McLean Department of Biochemistry and Molecular Biology, Baylor College of Medicine, Houston, Texas, United States of America.

出版信息

PLoS One. 2009 May 27;4(5):e5706. doi: 10.1371/journal.pone.0005706.

Abstract

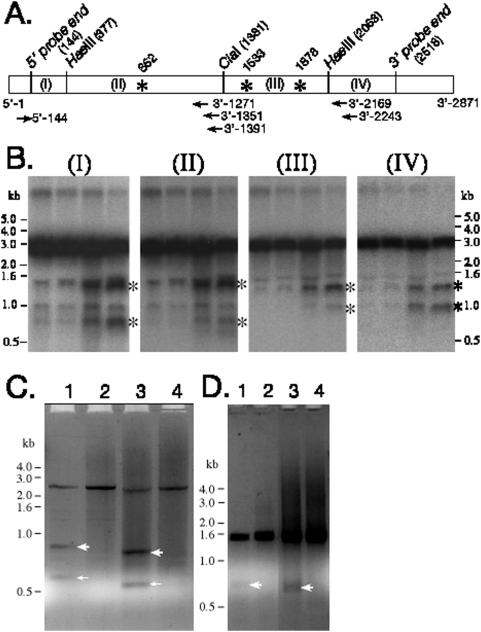
Bacterial pathogens employ a variety of survival strategies when they invade eukaryotic cells. The amoeba Dictyostelium discoideum is used as a model host to study the pathogenic mechanisms that Legionella pneumophila, the causative agent of Legionnaire's disease, uses to kill eukaryotic cells. Here we show that the infection of D. discoideum by L. pneumophila results in a decrease in mitochondrial messenger RNAs, beginning more than 8 hours prior to detectable host cell death. These changes can be mimicked by hydrogen peroxide treatment, but not by other cytotoxic agents. The mitochondrial large subunit ribosomal RNA (LSU rRNA) is also cleaved at three specific sites during the course of infection. Two LSU rRNA fragments appear first, followed by smaller fragments produced by additional cleavage events. The initial LSU rRNA cleavage site is predicted to be on the surface of the large subunit of the mitochondrial ribosome, while two secondary sites map to the predicted interface with the small subunit. No LSU rRNA cleavage was observed after exposure of D. discoideum to hydrogen peroxide, or other cytotoxic chemicals that kill cells in a variety of ways. Functional L. pneumophila type II and type IV secretion systems are required for the cleavage, establishing a correlation between the pathogenesis of L. pneumophila and D. discoideum LSU rRNA destruction. LSU rRNA cleavage was not observed in L. pneumophila infections of Acanthamoeba castellanii or human U937 cells, suggesting that L. pneumophila uses distinct mechanisms to interrupt metabolism in different hosts. Thus, L. pneumophila infection of D. discoideum results in dramatic decrease of mitochondrial RNAs, and in the specific cleavage of mitochondrial rRNA. The predicted location of the cleavage sites on the mitochondrial ribosome suggests that rRNA destruction is initiated by a specific sequence of events. These findings suggest that L. pneumophila specifically disrupts mitochondrial protein synthesis in D. discoideum during the course of infection.

摘要

细菌病原体在侵入真核细胞时会采用多种生存策略。变形虫盘基网柄菌被用作模型宿主,以研究军团病的病原体嗜肺军团菌用于杀死真核细胞的致病机制。在此我们表明,嗜肺军团菌感染盘基网柄菌会导致线粒体信使核糖核酸减少,这一现象在可检测到的宿主细胞死亡前8个多小时就开始出现。这些变化可以通过过氧化氢处理模拟,但其他细胞毒性剂无法模拟。在感染过程中,线粒体大亚基核糖体核糖核酸(LSU rRNA)也会在三个特定位点被切割。首先出现两个LSU rRNA片段,随后是由额外切割事件产生的较小片段。最初的LSU rRNA切割位点预计在线粒体核糖体大亚基的表面,而另外两个次要位点则位于与小亚基的预测界面处。将盘基网柄菌暴露于过氧化氢或其他以多种方式杀死细胞的细胞毒性化学物质后,未观察到LSU rRNA的切割。切割需要功能性的嗜肺军团菌II型和IV型分泌系统,这在嗜肺军团菌的致病机制与盘基网柄菌LSU rRNA破坏之间建立了关联。在嗜肺军团菌感染卡氏棘阿米巴或人U937细胞时未观察到LSU rRNA切割,这表明嗜肺军团菌在不同宿主中使用不同机制来干扰代谢。因此,嗜肺军团菌感染盘基网柄菌会导致线粒体RNA显著减少,并导致线粒体rRNA的特异性切割。线粒体核糖体上切割位点的预测位置表明,rRNA破坏是由特定的事件序列引发的。这些发现表明,嗜肺军团菌在感染过程中特异性地破坏了盘基网柄菌中的线粒体蛋白质合成。

https://cdn.ncbi.nlm.nih.gov/pmc/blobs/41ad/2683564/19c51fd3a199/pone.0005706.g001.jpg

文献AI研究员

20分钟写一篇综述,助力文献阅读效率提升50倍。

立即体验

用中文搜PubMed

大模型驱动的PubMed中文搜索引擎

马上搜索

文档翻译

学术文献翻译模型,支持多种主流文档格式。

立即体验