• 文献检索
  • 文档翻译
  • 深度研究
  • 学术资讯
  • Suppr Zotero 插件Zotero 插件
  • 邀请有礼
  • 套餐&价格
  • 历史记录
应用&插件
Suppr Zotero 插件Zotero 插件浏览器插件Mac 客户端Windows 客户端微信小程序
定价
高级版会员购买积分包购买API积分包
服务
文献检索文档翻译深度研究API 文档MCP 服务
关于我们
关于 Suppr公司介绍联系我们用户协议隐私条款
关注我们

Suppr 超能文献

核心技术专利:CN118964589B侵权必究
粤ICP备2023148730 号-1Suppr @ 2026

文献检索

告别复杂PubMed语法,用中文像聊天一样搜索,搜遍4000万医学文献。AI智能推荐,让科研检索更轻松。

立即免费搜索

文件翻译

保留排版,准确专业,支持PDF/Word/PPT等文件格式,支持 12+语言互译。

免费翻译文档

深度研究

AI帮你快速写综述,25分钟生成高质量综述,智能提取关键信息,辅助科研写作。

立即免费体验

结核分枝杆菌一种新的类核相关蛋白是GroEL的序列同源物。

A novel nucleoid-associated protein of Mycobacterium tuberculosis is a sequence homolog of GroEL.

作者信息

Basu Debashree, Khare Garima, Singh Shashi, Tyagi Anil, Khosla Sanjeev, Mande Shekhar C

机构信息

Laboratory of Structural Biology, Centre for DNA Fingerprinting and Diagnostics, Hyderabad 500001, India.

出版信息

Nucleic Acids Res. 2009 Aug;37(15):4944-54. doi: 10.1093/nar/gkp502. Epub 2009 Jun 15.

DOI:10.1093/nar/gkp502
PMID:19528065
原文链接:https://pmc.ncbi.nlm.nih.gov/articles/PMC2731897/
Abstract

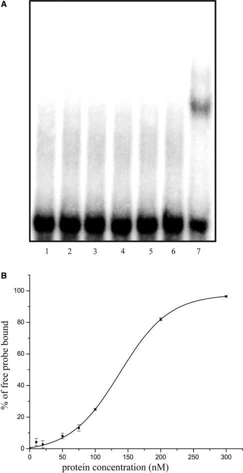
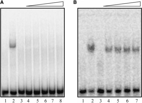
The Mycobacterium tuberculosis genome sequence reveals remarkable absence of many nucleoid-associated proteins (NAPs), such as HNS, Hfq or DPS. In order to characterize the nucleoids of M. tuberculosis, we have attempted to identify NAPs, and report an interesting finding that a chaperonin-homolog, GroEL1, is nucleoid associated. We report that M. tuberculosis GroEL1 binds DNA with low specificity but high affinity, suggesting that it might have naturally evolved to bind DNA. We are able to demonstrate that GroEL1 can effectively function as a DNA-protecting agent against DNase I or hydroxyl-radicals. Moreover, Atomic Force Microscopic studies reveal that GroEL1 can condense a large DNA into a compact structure. We also provide in vivo evidences that include presence of GroEL1 in purified nucleoids, in vivo crosslinking followed by Southern hybridizations and immunofluorescence imaging in M. tuberculosis confirming that GroEL1: DNA interactions occur in natural biological settings. These findings therefore reveal that M. tuberculosis GroEL1 has evolved to be associated with nucleoids.

摘要

结核分枝杆菌基因组序列显示,许多类核相关蛋白(NAPs),如HNS、Hfq或DPS明显缺失。为了表征结核分枝杆菌的类核,我们试图鉴定NAPs,并报告了一个有趣的发现,即一种伴侣蛋白同源物GroEL1与类核相关。我们报告说,结核分枝杆菌GroEL1以低特异性但高亲和力结合DNA,这表明它可能在自然进化过程中获得了结合DNA的能力。我们能够证明,GroEL1可以有效地作为一种抗DNase I或羟基自由基的DNA保护剂。此外,原子力显微镜研究表明,GroEL1可以将大片段DNA浓缩成紧密的结构。我们还提供了体内证据,包括纯化类核中存在GroEL1、体内交联后进行Southern杂交以及结核分枝杆菌中的免疫荧光成像,证实了GroEL1与DNA的相互作用发生在自然生物环境中。因此,这些发现揭示了结核分枝杆菌GroEL1已经进化到与类核相关。

https://cdn.ncbi.nlm.nih.gov/pmc/blobs/2136/2731897/94a6cd13ffd8/gkp502f8.jpg
https://cdn.ncbi.nlm.nih.gov/pmc/blobs/2136/2731897/e279e37cc8f9/gkp502f1.jpg
https://cdn.ncbi.nlm.nih.gov/pmc/blobs/2136/2731897/aa2e5cfe368f/gkp502f2.jpg
https://cdn.ncbi.nlm.nih.gov/pmc/blobs/2136/2731897/d827d3cfb504/gkp502f3.jpg
https://cdn.ncbi.nlm.nih.gov/pmc/blobs/2136/2731897/8e63ce8d1c09/gkp502f4.jpg
https://cdn.ncbi.nlm.nih.gov/pmc/blobs/2136/2731897/1e23e68ee143/gkp502f5.jpg
https://cdn.ncbi.nlm.nih.gov/pmc/blobs/2136/2731897/d1a2154aa357/gkp502f6.jpg
https://cdn.ncbi.nlm.nih.gov/pmc/blobs/2136/2731897/2435769b4541/gkp502f7.jpg
https://cdn.ncbi.nlm.nih.gov/pmc/blobs/2136/2731897/94a6cd13ffd8/gkp502f8.jpg
https://cdn.ncbi.nlm.nih.gov/pmc/blobs/2136/2731897/e279e37cc8f9/gkp502f1.jpg
https://cdn.ncbi.nlm.nih.gov/pmc/blobs/2136/2731897/aa2e5cfe368f/gkp502f2.jpg
https://cdn.ncbi.nlm.nih.gov/pmc/blobs/2136/2731897/d827d3cfb504/gkp502f3.jpg
https://cdn.ncbi.nlm.nih.gov/pmc/blobs/2136/2731897/8e63ce8d1c09/gkp502f4.jpg
https://cdn.ncbi.nlm.nih.gov/pmc/blobs/2136/2731897/1e23e68ee143/gkp502f5.jpg
https://cdn.ncbi.nlm.nih.gov/pmc/blobs/2136/2731897/d1a2154aa357/gkp502f6.jpg
https://cdn.ncbi.nlm.nih.gov/pmc/blobs/2136/2731897/2435769b4541/gkp502f7.jpg
https://cdn.ncbi.nlm.nih.gov/pmc/blobs/2136/2731897/94a6cd13ffd8/gkp502f8.jpg

相似文献

1
A novel nucleoid-associated protein of Mycobacterium tuberculosis is a sequence homolog of GroEL.结核分枝杆菌一种新的类核相关蛋白是GroEL的序列同源物。
Nucleic Acids Res. 2009 Aug;37(15):4944-54. doi: 10.1093/nar/gkp502. Epub 2009 Jun 15.
2
Structural and functional conservation of Mycobacterium tuberculosis GroEL paralogs suggests that GroEL1 Is a chaperonin.结核分枝杆菌 GroEL 同源物的结构和功能保守性表明 GroEL1 是一种伴侣蛋白。
J Mol Biol. 2011 Jan 21;405(3):831-9. doi: 10.1016/j.jmb.2010.11.021. Epub 2010 Nov 19.
3
A novel function of Mycobacterium tuberculosis chaperonin paralog GroEL1 in copper homeostasis.结核分枝杆菌伴侣蛋白 GroEL1 新功能:在铜稳态平衡中的作用
FEBS Lett. 2020 Oct;594(20):3305-3323. doi: 10.1002/1873-3468.13906. Epub 2020 Sep 16.
4
Towards understanding the biological function of the unusual chaperonin Cpn60.1 (GroEL1) of Mycobacterium tuberculosis.深入了解结核分枝杆菌异常伴侣蛋白Cpn60.1(GroEL1)的生物学功能。
Tuberculosis (Edinb). 2016 Mar;97:137-46. doi: 10.1016/j.tube.2015.11.003. Epub 2015 Dec 12.
5
Mycobacterium tuberculosis nucleoid-associated DNA-binding protein H-NS binds with high-affinity to the Holliday junction and inhibits strand exchange promoted by RecA protein.结核分枝杆菌核小体相关 DNA 结合蛋白 H-NS 与 Holliday 连接点具有高亲和力结合,并抑制 RecA 蛋白促进的链交换。
Nucleic Acids Res. 2010 Jun;38(11):3555-69. doi: 10.1093/nar/gkq064. Epub 2010 Feb 21.
6
Analysis of nucleoid-associated protein-binding regions reveals DNA structural features influencing genome organization in Mycobacterium tuberculosis.核相关蛋白结合区域分析揭示影响结核分枝杆菌基因组组织的 DNA 结构特征。
FEBS Lett. 2021 Oct;595(19):2504-2521. doi: 10.1002/1873-3468.14178. Epub 2021 Aug 27.
7
Modulation of DNA-binding activity of Mycobacterium tuberculosis HspR by chaperones.伴侣蛋白对结核分枝杆菌HspR DNA结合活性的调控
Microbiology (Reading). 2008 Feb;154(Pt 2):484-490. doi: 10.1099/mic.0.2007/012294-0.
8
The Mycobacterium tuberculosis GroEL1 chaperone is a substrate of Ser/Thr protein kinases.结核分枝杆菌GroEL1伴侣蛋白是丝氨酸/苏氨酸蛋白激酶的底物。
J Bacteriol. 2009 Apr;191(8):2876-83. doi: 10.1128/JB.01569-08. Epub 2009 Feb 6.
9
Facilitated oligomerization of mycobacterial GroEL: evidence for phosphorylation-mediated oligomerization.分枝杆菌GroEL的促进寡聚化:磷酸化介导寡聚化的证据
J Bacteriol. 2009 Nov;191(21):6525-38. doi: 10.1128/JB.00652-09. Epub 2009 Aug 28.
10
Improved mycobacterial protein production using a Mycobacterium smegmatis groEL1ΔC expression strain.利用缺失 groEL1ΔC 的耻垢分枝杆菌表达菌株提高分枝杆菌蛋白的产量。
BMC Biotechnol. 2011 Mar 25;11:27. doi: 10.1186/1472-6750-11-27.

引用本文的文献

1
Exploring Novel Antibiotics by Targeting the GroEL/GroES Chaperonin System.通过靶向GroEL/GroES伴侣蛋白系统探索新型抗生素
ACS Pharmacol Transl Sci. 2024 Dec 11;8(1):10-20. doi: 10.1021/acsptsci.4c00397. eCollection 2025 Jan 10.
2
Moonlighting genes harbor antisense ORFs that encode potential membrane proteins.兼职基因含有编码潜在膜蛋白的反义 ORF。
Sci Rep. 2023 Aug 3;13(1):12591. doi: 10.1038/s41598-023-39869-x.
3
Computational Approaches for the Structure-Based Identification of Novel Inhibitors Targeting Nucleoid-Associated Proteins in Mycobacterium Tuberculosis.

本文引用的文献

1
Mycobacterium smegmatis histone-like protein Hlp is nucleoid associated.耻垢分枝杆菌组蛋白样蛋白Hlp与类核相关。
FEMS Microbiol Lett. 2009 Feb;291(2):232-40. doi: 10.1111/j.1574-6968.2008.01458.x.
2
Functional studies of multiple thioredoxins from Mycobacterium tuberculosis.结核分枝杆菌多种硫氧还蛋白的功能研究
J Bacteriol. 2008 Nov;190(21):7087-95. doi: 10.1128/JB.00159-08. Epub 2008 Aug 22.
3
A Mycobacterium tuberculosis mutant lacking the groEL homologue cpn60.1 is viable but fails to induce an inflammatory response in animal models of infection.
基于结构的计算方法鉴定结核分枝杆菌核相关蛋白的新型抑制剂
Mol Biotechnol. 2024 Apr;66(4):814-823. doi: 10.1007/s12033-023-00710-5. Epub 2023 Mar 13.
4
The BCG GroEL1 Contributes to Isoniazid Tolerance in a Dormant-Like State Model.卡介苗GroEL1在类似休眠状态模型中有助于异烟肼耐受性。
Microorganisms. 2023 Jan 21;11(2):286. doi: 10.3390/microorganisms11020286.
5
PlzA is a cyclic-di-GMP dependent DNA and RNA binding protein.PlzA是一种依赖环二鸟苷酸的DNA和RNA结合蛋白。
bioRxiv. 2024 Jan 22:2023.01.30.526351. doi: 10.1101/2023.01.30.526351.
6
Are Reactive Oxygen Species (ROS) the Main Mechanism by Which Copper Ion Treatment Degrades the DNA of subsp. Suspended in Milk?活性氧(ROS)是铜离子处理降解牛奶中悬浮的亚种DNA的主要机制吗?
Microorganisms. 2022 Nov 16;10(11):2272. doi: 10.3390/microorganisms10112272.
7
Xenogeneic nucleoid-associated EnrR thwarts H-NS silencing of bacterial virulence with unique DNA binding.异种核相关 EnrR 通过独特的 DNA 结合阻止 H-NS 对细菌毒力的沉默。
Nucleic Acids Res. 2022 Apr 22;50(7):3777-3798. doi: 10.1093/nar/gkac180.
8
DnaK Promotes Fibronectin-Mediated Adherence to HUVECs and Induces a Proinflammatory Response.DnaK 促进纤连蛋白介导的与人脐静脉内皮细胞黏附,并诱导促炎反应。
Int J Mol Sci. 2021 Aug 8;22(16):8528. doi: 10.3390/ijms22168528.
9
and BCG Moreau Fumarate Reductase Operons Produce Different Polypeptides That May Be Related to Non-canonical Functions.卡介苗莫罗延胡索酸还原酶操纵子产生可能与非经典功能相关的不同多肽。
Front Microbiol. 2021 Jan 12;11:624121. doi: 10.3389/fmicb.2020.624121. eCollection 2020.
10
Cpn60.1 (GroEL1) Contributes to Mycobacterial Crabtree Effect: Implications for Biofilm Formation.Cpn60.1(GroEL1)促成分枝杆菌的克奈特效应:对生物膜形成的影响
Front Microbiol. 2019 Jun 11;10:1149. doi: 10.3389/fmicb.2019.01149. eCollection 2019.
一种缺乏groEL同源物cpn60.1的结核分枝杆菌突变体是有活力的,但在感染动物模型中未能诱导炎症反应。
Infect Immun. 2008 Apr;76(4):1535-46. doi: 10.1128/IAI.01078-07. Epub 2008 Jan 28.
4
HU binds and folds single-stranded DNA.HU蛋白结合并折叠单链DNA。
Nucleic Acids Res. 2008 Feb;36(3):1026-36. doi: 10.1093/nar/gkm667. Epub 2007 Dec 20.
5
Multiple gene duplication and rapid evolution in the groEL gene: functional implications.groEL基因中的多个基因复制与快速进化:功能意义
J Mol Evol. 2006 Dec;63(6):781-7. doi: 10.1007/s00239-006-0037-7. Epub 2006 Nov 10.
6
H-NS mediates the silencing of laterally acquired genes in bacteria.H-NS介导细菌中横向获得基因的沉默。
PLoS Pathog. 2006 Aug;2(8):e81. doi: 10.1371/journal.ppat.0020081.
7
Isolation of a single-stranded DNA-binding protein from the methylotrophic yeast, Pichia pastoris and its identification as zeta crystallin.从甲基营养型酵母巴斯德毕赤酵母中分离出一种单链DNA结合蛋白,并鉴定其为ζ晶状体蛋白。
Nucleic Acids Res. 2006;34(14):4060-8. doi: 10.1093/nar/gkl577. Epub 2006 Aug 16.
8
Permeabilization of the mycobacterial envelope for protein cytolocalization studies by immunofluorescence microscopy.通过免疫荧光显微镜进行蛋白质细胞定位研究时对分枝杆菌包膜的通透处理。
BMC Microbiol. 2006 Apr 18;6:35. doi: 10.1186/1471-2180-6-35.
9
The serine/threonine kinase PknB of Mycobacterium tuberculosis phosphorylates PBPA, a penicillin-binding protein required for cell division.结核分枝杆菌的丝氨酸/苏氨酸激酶PknB使PBPA磷酸化,PBPA是细胞分裂所需的一种青霉素结合蛋白。
Microbiology (Reading). 2006 Feb;152(Pt 2):493-504. doi: 10.1099/mic.0.28630-0.
10
GroEL1: a dedicated chaperone involved in mycolic acid biosynthesis during biofilm formation in mycobacteria.GroEL1:一种在分枝杆菌生物膜形成过程中参与分枝菌酸生物合成的特异性伴侣蛋白。
Cell. 2005 Dec 2;123(5):861-73. doi: 10.1016/j.cell.2005.09.012.