Suppr超能文献

肝脏子宫内膜异位症病例:持续存在的诊断难题。

Case hepatic endometriosis: a continuing diagnostic dilemma.

作者信息

Goldsmith P J, Ahmad N, Dasgupta D, Campbell J, Guthrie J A, Lodge J P A

机构信息

Hepatobiliary and Transplant Unit, St James's University Hospital, Leeds LS9 7TF, UK.

出版信息

HPB Surg. 2009;2009:407206. doi: 10.1155/2009/407206. Epub 2009 Jul 5.

Abstract

BACKGROUND

Intraparenchymal endometriosis of liver is rare. It may present as liver tumour and the diagnosis is not usually established till after surgery.

CASE OUTLINE

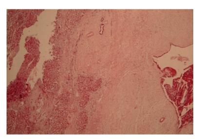
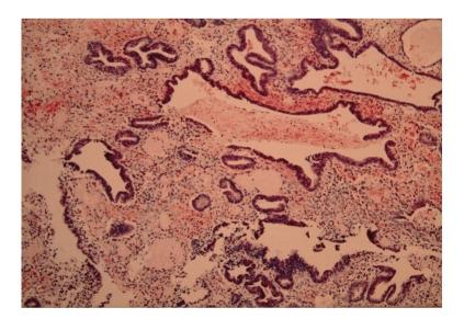
A 48-year-old postmenopausal woman presented with right upper quadrant pain and a cystic liver mass. Liver function tests and tumour markers (alphaFP, CEA, CA 19-9, and CA 125) were normal. Radiological imaging (USS, CT and MRI) suggested a thick walled cystic mass involving segments IV and VIII with complex intracystic septations. Frozen section at operation suggested a benign cystadenoma. The cyst was enucleated using a CUSA (Cavitron ultrasonic aspirator). The final histology confirmed endometriosis.

DISCUSSION

Eleven cases of hepatic endometrioma have been reported and only four in postmenopausal women. Preoperative diagnosis poses a challenge and so far none of the cases have been diagnosed preoperatively. Surgery remains the treatment of choice. Accurate diagnosis at time of operation may avoid extensive liver surgery and its associated morbidity.

摘要

背景

肝实质内子宫内膜异位症罕见。它可能表现为肝脏肿瘤,通常直到手术后才能确诊。

病例概述

一名48岁绝经后女性出现右上腹疼痛和肝脏囊性肿块。肝功能检查和肿瘤标志物(甲胎蛋白、癌胚抗原、糖类抗原19-9和糖类抗原125)均正常。放射学影像检查(超声、计算机断层扫描和磁共振成像)显示一个厚壁囊性肿块,累及肝段IV和VIII,囊内有复杂分隔。术中冰冻切片提示为良性囊腺瘤。使用超声吸引刀(Cavitron超声吸引器)将囊肿摘除。最终组织学检查确诊为子宫内膜异位症。

讨论

已报道11例肝子宫内膜瘤病例,绝经后女性仅有4例。术前诊断具有挑战性,迄今为止尚无病例在术前得到诊断。手术仍然是首选治疗方法。术中准确诊断可避免广泛的肝脏手术及其相关并发症。

https://cdn.ncbi.nlm.nih.gov/pmc/blobs/daa4/2705982/6d27b1c9f67c/HPB2009-407206.001.jpg

相似文献

1
Case hepatic endometriosis: a continuing diagnostic dilemma.
HPB Surg. 2009;2009:407206. doi: 10.1155/2009/407206. Epub 2009 Jul 5.
2
Hepatic endometrioma: a case report and review of the literature: report of a case.
Surg Today. 2013 Oct;43(10):1188-93. doi: 10.1007/s00595-012-0360-0. Epub 2012 Oct 19.
3
Hepatic endometriosis: a rare case and review of the literature.
Eur J Med Res. 2015 Apr 4;20(1):48. doi: 10.1186/s40001-015-0137-1.
4
Rare Case of Hepatic Endometriosis as an Incidental Finding: Difficult Diagnosis of a Diagnostic Dilemma.
Ann Hepatol. 2018 Aug 24;17(5):884-887. doi: 10.5604/01.3001.0012.3173.
5
Hepatic endometriosis diagnosed by liquid-based cytology: a case report.
Diagn Cytopathol. 2014 May;42(5):441-4. doi: 10.1002/dc.22945. Epub 2013 Jan 22.
6
Intrahepatic endometriosis as differential diagnosis: case report and literature review.
World J Gastroenterol. 2013 Aug 7;19(29):4818-22. doi: 10.3748/wjg.v19.i29.4818.
7
Adenosarcoma arising in hepatic endometriosis.
Eur Radiol. 2000;10(8):1287-9. doi: 10.1007/s003300000322.
8
[Endometriotic cyst of the liver: a case report].
J Radiol. 2004 Feb;85(2 Pt 1):124-7. doi: 10.1016/s0221-0363(04)97558-0.
9
Malignant transformation of hepatic endometriosis: a case report and literature review.
BMC Womens Health. 2021 Jun 21;21(1):249. doi: 10.1186/s12905-021-01366-6.
10
Endometrial cyst of the liver: case report and review.
Fertil Steril. 2003 May;79(5):1234-6. doi: 10.1016/s0015-0282(03)00178-x.

引用本文的文献

1
Rare Clinical Presentation of Postmenopausal Endometriosis: A New Perspective.
Aging Dis. 2023 Nov 5;15(6):2361-2368. doi: 10.14336/AD.2023.1022.
2
Subcapsular hepatic endometriosis: case report and review of the literature.
Radiol Case Rep. 2016 Sep 27;11(4):303-308. doi: 10.1016/j.radcr.2016.08.004. eCollection 2016 Dec.
3
A rare case of pancreatic endometriosis in a postmenopausal woman and review of the literature.
Acta Radiol Open. 2016 Sep 25;5(9):2058460116669385. doi: 10.1177/2058460116669385. eCollection 2016 Sep.
4
Giant endometrial cyst of the liver: a case report and review of the literature.
G Chir. 2016 Mar-Apr;37(2):79-83. doi: 10.11138/gchir/2016.37.2.079.
5
Hepatic endometriosis: a rare case and review of the literature.
Eur J Med Res. 2015 Apr 4;20(1):48. doi: 10.1186/s40001-015-0137-1.
6
Extrapelvic endometriosis: a rare entity or an under diagnosed condition?
Diagn Pathol. 2013 Dec 2;8:194. doi: 10.1186/1746-1596-8-194.
7
Intrahepatic endometriosis as differential diagnosis: case report and literature review.
World J Gastroenterol. 2013 Aug 7;19(29):4818-22. doi: 10.3748/wjg.v19.i29.4818.
9
Liver metastasis of endometrial stromal sarcoma.
World J Hepatol. 2012 Dec 27;4(12):415-8. doi: 10.4254/wjh.v4.i12.415.
10
Hepatic endometriosis mimicking metastatic disease: a case report and review of the literature.
J Radiol Case Rep. 2010;4(11):26-31. doi: 10.3941/jrcr.v4i11.589. Epub 2010 Nov 1.

本文引用的文献

2
Liver tumours due to endometriosis and endometrial stromal sarcoma.
HPB (Oxford). 2002;4(1):43-5. doi: 10.1080/136518202753598735.
3
Endometrial cyst of the liver: a case report and review of the literature.
J Clin Pathol. 2002 Sep;55(9):715-7. doi: 10.1136/jcp.55.9.715.
4
Hepatic endometrioma: a case report and review of the literature.
Eur Radiol. 2000;10(3):431-4. doi: 10.1007/s003300050070.
5
Endometriosis of the liver.
Surgery. 1998 Jan;123(1):106-8.
6
Hepatic endometriosis: a case report.
Fertil Steril. 1996 Oct;66(4):657-9. doi: 10.1016/s0015-0282(16)58585-9.
7
Cystic endometriosis of the upper abdominal organs. Report on three cases and review of the literature.
Pathol Res Pract. 1996 Mar;192(3):300-4; discussion 305. doi: 10.1016/S0344-0338(96)80235-4.
9
Endometrial cyst of the liver.
Am J Gastroenterol. 1986 Jul;81(7):576-8.
10
Hepatic endometrioma.
J Clin Ultrasound. 1986 Jul-Aug;14(6):478-80. doi: 10.1002/jcu.1870140616.

文献AI研究员

20分钟写一篇综述,助力文献阅读效率提升50倍。

立即体验

用中文搜PubMed

大模型驱动的PubMed中文搜索引擎

马上搜索

文档翻译

学术文献翻译模型,支持多种主流文档格式。

立即体验