Suppr超能文献

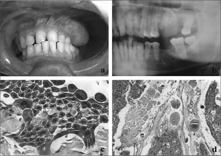
Calcifying epithelial odontogenic tumor of the maxilla.

作者信息

Nascimento George João Ferreira do, Pereira Karuza Maria Alves, Nonaka Cassiano Francisco Weege, Medeiros Ana Miryam Costa de, Galvão Hébel Cavalcanti

机构信息

Oral Pathology Graduate Program, Universidade Federal do Rio Grande do Norte.

出版信息

Braz J Otorhinolaryngol. 2009 May-Jun;75(3):468. doi: 10.1016/S1808-8694(15)30669-8.

Abstract
摘要
https://cdn.ncbi.nlm.nih.gov/pmc/blobs/9dda/9446033/274cab8fb585/gr1.jpg

文献检索

告别复杂PubMed语法,用中文像聊天一样搜索,搜遍4000万医学文献。AI智能推荐,让科研检索更轻松。

立即免费搜索

文件翻译

保留排版,准确专业,支持PDF/Word/PPT等文件格式,支持 12+语言互译。

免费翻译文档

深度研究

AI帮你快速写综述,25分钟生成高质量综述,智能提取关键信息,辅助科研写作。

立即免费体验