Suppr超能文献

Surgical removal of subfoveal choroidal neovascular membranes in older patients without age-related macular degeneration.

作者信息

Wu Rebecca A, Best Richard M, Musch David C, Johnson Mark W

机构信息

Department of Ophthalmology and Visual Sciences, University of Michigan, Ann Arbor, Michigan, USA.

出版信息

Clin Ophthalmol. 2007 Jun;1(2):157-65.

Abstract

PURPOSE

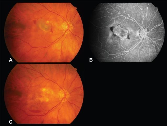
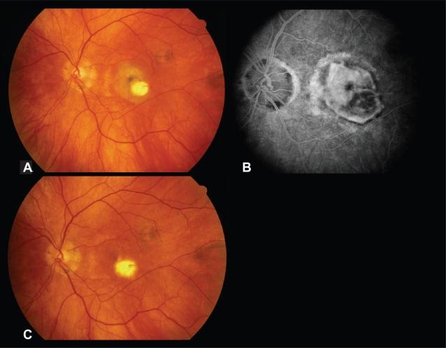
To assess visual and anatomical outcomes following the surgical removal of subfoveal choroidal neovascular membranes (CNVMs) in older patients without clinical evidence of diffuse disease of the retinal pigment epithelium (RPE).

METHODS

We retrospectively reviewed records of consecutive patients aged 50 years or older who underwent surgical removal of subfoveal CNVMs. Patients with clinical evidence for age-related macular degeneration (AMD) (>5 small drusen), angioid streaks, and myopic degeneration were excluded.

RESULTS

Twenty-two patients (8 women) ranged in age from 50 to 85 years (median, 67 years). All membranes were 100% classic, with a mean size of 2.5 MPS disc areas (range, 1 to 6.5). Best postoperative visual acuity (VA), measured a median 12.5 weeks after surgery, improved (>3 Snellen lines) in 10 eyes (45%) and worsened in 0 eyes, with 8 eyes (36%) achieving 20/50 or better. Over a mean follow-up of 37 months (range, 6 to 114 months), CNVM recurrence was seen in 13 eyes (59%), causing loss of VA from best postoperative levels in 5 eyes (23%). On final follow-up, 4 eyes (18%) retained acuity of 20/50 or better, 12 eyes (55%) had disciform scarring, and 5 eyes (23%) had geographic atrophy. Improvement in best postoperative VA occurred in a higher percentage of eyes with focal (58%) compared with idiopathic (30%) disease, but this trend was not statistically significant (p = 0.23, Fisher's exact test).

CONCLUSIONS

Surgical removal of subfoveal CNVMs may result in substantial visual improvement in older patients without other clinical evidence for AMD, particularly in eyes with focal diseases of the RPE-Bruch's membrane complex.

摘要
https://cdn.ncbi.nlm.nih.gov/pmc/blobs/bb90/2704507/d0565b441c36/opth-1-157f1.jpg

文献AI研究员

20分钟写一篇综述,助力文献阅读效率提升50倍。

立即体验

用中文搜PubMed

大模型驱动的PubMed中文搜索引擎

马上搜索

文档翻译

学术文献翻译模型,支持多种主流文档格式。

立即体验