• 文献检索
  • 文档翻译
  • 深度研究
  • 学术资讯
  • Suppr Zotero 插件Zotero 插件
  • 邀请有礼
  • 套餐&价格
  • 历史记录
应用&插件
Suppr Zotero 插件Zotero 插件浏览器插件Mac 客户端Windows 客户端微信小程序
定价
高级版会员购买积分包购买API积分包
服务
文献检索文档翻译深度研究API 文档MCP 服务
关于我们
关于 Suppr公司介绍联系我们用户协议隐私条款
关注我们

Suppr 超能文献

核心技术专利:CN118964589B侵权必究
粤ICP备2023148730 号-1Suppr @ 2026

文献检索

告别复杂PubMed语法,用中文像聊天一样搜索,搜遍4000万医学文献。AI智能推荐,让科研检索更轻松。

立即免费搜索

文件翻译

保留排版,准确专业,支持PDF/Word/PPT等文件格式,支持 12+语言互译。

免费翻译文档

深度研究

AI帮你快速写综述,25分钟生成高质量综述,智能提取关键信息,辅助科研写作。

立即免费体验

利用Affymetrix基因芯片对集合及单个肿瘤样本进行嫌色性肾细胞癌和肾嗜酸细胞瘤的基因表达谱分析。

Gene expression profiling of chromophobe renal cell carcinomas and renal oncocytomas by Affymetrix GeneChip using pooled and individual tumours.

作者信息

Yusenko Maria V, Zubakov Dmitry, Kovacs Gyula

机构信息

Laboratory of Molecular Oncology, Medical Faculty, Ruprecht-Karls University, Heidelberg, Germany.

出版信息

Int J Biol Sci. 2009 Jul 29;5(6):517-27. doi: 10.7150/ijbs.5.517.

DOI:10.7150/ijbs.5.517
PMID:19680475
原文链接:https://pmc.ncbi.nlm.nih.gov/articles/PMC2726578/
Abstract

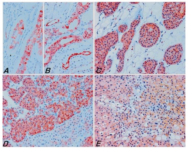
Due to overlapping morphology, malignant chromophobe renal cell carcinomas (RCC) and benign renal oncocytomas (RO) may pose a diagnostic problem. In the present study, we have applied different algorithms to evaluate the data sets obtained by hybridisation of pooled and also individual samples of renal cell tumours (RCT) onto two different gene expression platforms. The two approaches revealed high similarities in the gene expression profiles of chromophobe RCCs and ROs but also some differences. After identifying the differentially expressed genes by statistic analyses, the candidate genes were further selected by a real time and normal RT-PCR and their products were analysed by immunohistochemistry. We have identified CD82 and S100A1 as valuable markers for chromophobe RCC as well as AQP6 for ROs. However, these genes are expressed at the protein level in other types of RCTs as well albeit at a low frequency and low intensity. As none of the selected genes marks exclusively one type of RCTs, for the differential diagnosis of chromophobe RCCs and ROs, a set of markers such as CD82, S100A1 and AQP6 as well as some others would be an option in routine histological laboratories.

摘要

由于形态学上的重叠,恶性嫌色性肾细胞癌(RCC)和良性肾嗜酸细胞瘤(RO)可能会带来诊断难题。在本研究中,我们应用了不同算法来评估通过将肾细胞肿瘤(RCT)的混合样本以及单个样本与两种不同基因表达平台杂交而获得的数据集。这两种方法揭示了嫌色性RCC和RO的基因表达谱有高度相似性,但也存在一些差异。通过统计分析确定差异表达基因后,通过实时和常规RT-PCR进一步筛选候选基因,并通过免疫组织化学分析其产物。我们已确定CD82和S100A1是嫌色性RCC的有价值标志物,而AQP6是RO的标志物。然而,这些基因在其他类型的RCT中也有蛋白水平的表达,尽管频率低且强度弱。由于所选基因均不能唯一标记一种类型的RCT,对于嫌色性RCC和RO的鉴别诊断,在常规组织学实验室中,一组标志物如CD82、S100A1和AQP6以及其他一些标志物可能是一种选择。

https://cdn.ncbi.nlm.nih.gov/pmc/blobs/83f2/2726578/09209b83dbbe/ijbsv05p0517g06.jpg
https://cdn.ncbi.nlm.nih.gov/pmc/blobs/83f2/2726578/2c908cd4271f/ijbsv05p0517g01.jpg
https://cdn.ncbi.nlm.nih.gov/pmc/blobs/83f2/2726578/7ee22053e137/ijbsv05p0517g02.jpg
https://cdn.ncbi.nlm.nih.gov/pmc/blobs/83f2/2726578/0cde81f713e2/ijbsv05p0517g03.jpg
https://cdn.ncbi.nlm.nih.gov/pmc/blobs/83f2/2726578/ffe7c14063c6/ijbsv05p0517g04.jpg
https://cdn.ncbi.nlm.nih.gov/pmc/blobs/83f2/2726578/e41c0f7d23c1/ijbsv05p0517g05.jpg
https://cdn.ncbi.nlm.nih.gov/pmc/blobs/83f2/2726578/09209b83dbbe/ijbsv05p0517g06.jpg
https://cdn.ncbi.nlm.nih.gov/pmc/blobs/83f2/2726578/2c908cd4271f/ijbsv05p0517g01.jpg
https://cdn.ncbi.nlm.nih.gov/pmc/blobs/83f2/2726578/7ee22053e137/ijbsv05p0517g02.jpg
https://cdn.ncbi.nlm.nih.gov/pmc/blobs/83f2/2726578/0cde81f713e2/ijbsv05p0517g03.jpg
https://cdn.ncbi.nlm.nih.gov/pmc/blobs/83f2/2726578/ffe7c14063c6/ijbsv05p0517g04.jpg
https://cdn.ncbi.nlm.nih.gov/pmc/blobs/83f2/2726578/e41c0f7d23c1/ijbsv05p0517g05.jpg
https://cdn.ncbi.nlm.nih.gov/pmc/blobs/83f2/2726578/09209b83dbbe/ijbsv05p0517g06.jpg

相似文献

1
Gene expression profiling of chromophobe renal cell carcinomas and renal oncocytomas by Affymetrix GeneChip using pooled and individual tumours.利用Affymetrix基因芯片对集合及单个肿瘤样本进行嫌色性肾细胞癌和肾嗜酸细胞瘤的基因表达谱分析。
Int J Biol Sci. 2009 Jul 29;5(6):517-27. doi: 10.7150/ijbs.5.517.
2
Identifying CD82 (KAI1) as a marker for human chromophobe renal cell carcinoma.鉴定 CD82(KAI1)作为人嗜色性肾细胞癌的标志物。
Histopathology. 2009 Dec;55(6):687-95. doi: 10.1111/j.1365-2559.2009.03449.x.
3
The Role of CK7, S100A1, and CD82 (KAI1) Expression in the Differential Diagnosis of Chromophobe Renal Cell Carcinoma and Renal Oncocytoma.CK7、S100A1 和 CD82(KAI1)表达在嗜铬细胞瘤性肾细胞癌和肾嗜酸细胞瘤鉴别诊断中的作用。
Appl Immunohistochem Mol Morphol. 2021 Aug 1;29(7):534-540. doi: 10.1097/PAI.0000000000000916.
4
S100A1: a powerful marker to differentiate chromophobe renal cell carcinoma from renal oncocytoma.S100A1:一种区分嫌色性肾细胞癌与肾嗜酸细胞瘤的有力标志物。
Histopathology. 2007 Apr;50(5):642-7. doi: 10.1111/j.1365-2559.2007.02655.x.
5
Diagnostic utility of S100A1 expression in renal cell neoplasms: an immunohistochemical and quantitative RT-PCR study.S100A1表达在肾细胞肿瘤中的诊断效用:一项免疫组织化学和定量逆转录聚合酶链反应研究
Mod Pathol. 2007 Jul;20(7):722-8. doi: 10.1038/modpathol.3800828. Epub 2007 May 4.
6
Claudin-7 immunohistochemistry in renal tumors: a candidate marker for chromophobe renal cell carcinoma identified by gene expression profiling.肾肿瘤中的Claudin-7免疫组化:通过基因表达谱鉴定的嫌色性肾细胞癌候选标志物
Arch Pathol Lab Med. 2007 Oct;131(10):1541-6. doi: 10.5858/2007-131-1541-CIIRTA.
7
S100A1 and KIT gene expressions in common subtypes of renal tumours.肾肿瘤常见亚型中S100A1和KIT基因的表达
Eur J Surg Oncol. 2005 Apr;31(3):299-303. doi: 10.1016/j.ejso.2004.11.009.
8
Genomic expression and single-nucleotide polymorphism profiling discriminates chromophobe renal cell carcinoma and oncocytoma.基因组表达和单核苷酸多态性分析可区分嫌色细胞肾细胞癌和嗜酸细胞瘤。
BMC Cancer. 2010 May 12;10:196. doi: 10.1186/1471-2407-10-196.
9
Diagnostic biomarkers for renal cell carcinoma: selection using novel bioinformatics systems for microarray data analysis.肾细胞癌的诊断生物标志物:使用新型生物信息学系统进行微阵列数据分析以进行选择。
Hum Pathol. 2009 Dec;40(12):1671-8. doi: 10.1016/j.humpath.2009.05.006. Epub 2009 Aug 19.
10
Expression of vitamin D3 receptor in kidney tumors.维生素D3受体在肾肿瘤中的表达。
Hum Pathol. 2006 Oct;37(10):1268-78. doi: 10.1016/j.humpath.2006.04.029. Epub 2006 Jul 27.

引用本文的文献

1
Prognostic Significance of Gene Variants and Expression in Renal Cell Carcinoma.基因变异与表达在肾细胞癌中的预后意义
Biomedicines. 2024 Jul 30;12(8):1694. doi: 10.3390/biomedicines12081694.
2
An integrated bioinformatic investigation of kallikrein gene family members in kidney renel cell carcinoma.肾细胞癌中激肽释放酶基因家族成员的综合生物信息学研究
PLoS One. 2024 Aug 8;19(8):e0305070. doi: 10.1371/journal.pone.0305070. eCollection 2024.
3
Aquaporins in Urinary System.泌尿系统中的水通道蛋白

本文引用的文献

1
Identifying CD82 (KAI1) as a marker for human chromophobe renal cell carcinoma.鉴定 CD82(KAI1)作为人嗜色性肾细胞癌的标志物。
Histopathology. 2009 Dec;55(6):687-95. doi: 10.1111/j.1365-2559.2009.03449.x.
2
High-resolution DNA copy number and gene expression analyses distinguish chromophobe renal cell carcinomas and renal oncocytomas.高分辨率DNA拷贝数和基因表达分析可区分嫌色性肾细胞癌和肾嗜酸细胞瘤。
BMC Cancer. 2009 May 18;9:152. doi: 10.1186/1471-2407-9-152.
3
Differential expression of KAI1 metastasis suppressor protein in renal cell tumor histological subtypes.
Adv Exp Med Biol. 2023;1398:155-177. doi: 10.1007/978-981-19-7415-1_11.
4
Bioinformatics analysis and identification of genes and pathways involved in patients with Wilms tumor.肾母细胞瘤患者相关基因和通路的生物信息学分析与鉴定
Transl Cancer Res. 2022 Aug;11(8):2843-2857. doi: 10.21037/tcr-22-1847.
5
Bioinformatics Study Identified EGF as a Crucial Gene in Papillary Renal Cell Cancer.生物信息学研究鉴定 EGF 为乳头状肾细胞癌的关键基因。
Dis Markers. 2022 May 24;2022:4761803. doi: 10.1155/2022/4761803. eCollection 2022.
6
TIMP1 Indicates Poor Prognosis of Renal Cell Carcinoma and Accelerates Tumorigenesis EMT Signaling Pathway.TIMP1提示肾细胞癌预后不良并加速肿瘤发生的EMT信号通路。
Front Genet. 2022 Feb 25;13:648134. doi: 10.3389/fgene.2022.648134. eCollection 2022.
7
Oncocytoma-Related Gene Signature to Differentiate Chromophobe Renal Cancer and Oncocytoma Using Machine Learning.基于机器学习的嗜酸细胞瘤相关基因特征鉴别肾嫌色细胞癌和嗜酸细胞瘤
Cells. 2022 Jan 15;11(2):287. doi: 10.3390/cells11020287.
8
Overexpressing IFITM family genes predict poor prognosis in kidney renal clear cell carcinoma.过表达干扰素诱导跨膜蛋白(IFITM)家族基因预示着肾透明细胞癌的预后不良。
Transl Androl Urol. 2021 Oct;10(10):3837-3851. doi: 10.21037/tau-21-848.
9
Increased expression of PSME2 is associated with clear cell renal cell carcinoma invasion by regulating BNIP3‑mediated autophagy.PSME2 的表达增加通过调节 BNIP3 介导的自噬与肾透明细胞癌的侵袭有关。
Int J Oncol. 2021 Dec;59(6). doi: 10.3892/ijo.2021.5286. Epub 2021 Nov 15.
10
Human Aquaporins: Functional Diversity and Potential Roles in Infectious and Non-infectious Diseases.人类水通道蛋白:在感染性和非感染性疾病中的功能多样性及潜在作用
Front Genet. 2021 Mar 16;12:654865. doi: 10.3389/fgene.2021.654865. eCollection 2021.
KAI1转移抑制蛋白在肾细胞肿瘤组织学亚型中的差异表达。
J Urol. 2009 May;181(5):2305-11. doi: 10.1016/j.juro.2009.01.003. Epub 2009 Mar 19.
4
KAI-1/CD82, the molecule and clinical implication in cancer and cancer metastasis.KAI-1/CD82,该分子及其在癌症与癌症转移中的临床意义。
Histol Histopathol. 2009 Apr;24(4):519-30. doi: 10.14670/HH-24.519.
5
Diagnostic utility of S100A1 expression in renal cell neoplasms: an immunohistochemical and quantitative RT-PCR study.S100A1表达在肾细胞肿瘤中的诊断效用:一项免疫组织化学和定量逆转录聚合酶链反应研究
Mod Pathol. 2007 Jul;20(7):722-8. doi: 10.1038/modpathol.3800828. Epub 2007 May 4.
6
S100A1: a powerful marker to differentiate chromophobe renal cell carcinoma from renal oncocytoma.S100A1:一种区分嫌色性肾细胞癌与肾嗜酸细胞瘤的有力标志物。
Histopathology. 2007 Apr;50(5):642-7. doi: 10.1111/j.1365-2559.2007.02655.x.
7
ARPP protein is selectively expressed in renal oncocytoma, but rarely in renal cell carcinomas.ARPP蛋白在肾嗜酸细胞瘤中选择性表达,但在肾细胞癌中很少表达。
Mod Pathol. 2007 Feb;20(2):199-207. doi: 10.1038/modpathol.3800730. Epub 2007 Jan 5.
8
Gene expression profiling separates chromophobe renal cell carcinoma from oncocytoma and identifies vesicular transport and cell junction proteins as differentially expressed genes.基因表达谱分析可将嫌色性肾细胞癌与嗜酸细胞瘤区分开来,并鉴定出囊泡运输蛋白和细胞连接蛋白为差异表达基因。
Clin Cancer Res. 2006 Dec 1;12(23):6937-45. doi: 10.1158/1078-0432.CCR-06-1268.
9
Classification of renal neoplasms based on molecular signatures.基于分子特征的肾肿瘤分类
J Urol. 2006 Jun;175(6):2302-6. doi: 10.1016/S0022-5347(06)00255-2.
10
Differential expression of a new isoform of DLG2 in renal oncocytoma.DLG2新亚型在肾嗜酸细胞瘤中的差异表达。
BMC Cancer. 2006 Apr 26;6:106. doi: 10.1186/1471-2407-6-106.