Suppr超能文献

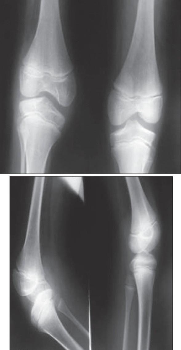
双侧先天性髌骨缺如。

Bilateral congenital absence of patella.

作者信息

Jerome J Terrence Jose, Varghese Mathew, Sankaran Balu, Thomas Simon

机构信息

Department of Orthopaedics, St Stephen's Hospital, New Delhi, India.

出版信息

Indian J Orthop. 2008 Apr;42(2):228-30. doi: 10.4103/0019-5413.40264.

Abstract

Absence of patella as an isolated anomaly is extremely rare. It is usually absent as part of a syndrome, most commonly hereditary arthro-onchyo-dysplasia (Nail Patella Syndrome). We present a case of congenital bilateral absence of patella in a nine-year-old boy with no associated anomalies.

摘要

孤立性髌骨缺如极为罕见。它通常作为综合征的一部分而缺如,最常见的是遗传性关节甲发育不良(指甲髌骨综合征)。我们报告一例9岁男孩先天性双侧髌骨缺如且无相关异常的病例。

https://cdn.ncbi.nlm.nih.gov/pmc/blobs/120a/2759612/d5360811160b/IJO-42-228-g001.jpg

文献AI研究员

20分钟写一篇综述,助力文献阅读效率提升50倍。

立即体验

用中文搜PubMed

大模型驱动的PubMed中文搜索引擎

马上搜索

文档翻译

学术文献翻译模型,支持多种主流文档格式。

立即体验