Suppr超能文献

使用迷你C型臂荧光透视法对一名精神分裂症女性摄入的针进行定位:病例报告

Localisation using mini c-arm fluoroscopy of needles ingested by a woman with schizophrenia: a case report.

作者信息

Parlakgumus Alper, Yildirim Sedat, Tokmak Naime, Colakoglu Tamer, Caliskan Kenan, Ezer Ali, Moray Gokhan

出版信息

J Med Case Rep. 2009 Mar 18;3:6491. doi: 10.1186/1752-1947-3-6491.

Abstract

INTRODUCTION

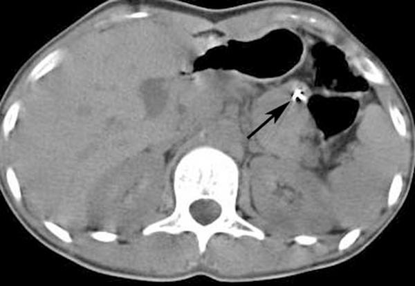
Our aim was to specify the use of mini C-arm fluoroscopy in a woman with schizophrenia who was suffering from abdominal pain because of ingested needles.

CASE PRESENTATION

Here we report the case of an 18-year-old Turkish woman with schizophrenia who was admitted to the emergency department with signs of an acute abdomen as a result of ingestion of multiple needles. This is the third case in the literature for which mini C-arm fluoroscopy has been used to localize metallic sewing needles.

CONCLUSION

When intentional ingestion occurs, surgery is rarely required. It is hard to localize ingested sewing needles and mini C-arm fluoroscopy is a good alternative when metal detectors are not available for localization of metal sewing needles. We recommend this approach because it helps to avoid unnecessary exploration, shortens the duration of surgery and provides outstanding results.

摘要

引言

我们的目的是明确微型C形臂透视在一名因吞食针头而腹痛的精神分裂症女性患者中的应用。

病例报告

在此,我们报告一例18岁的土耳其精神分裂症女性患者,因吞食多根针头出现急腹症体征而入住急诊科。这是文献中第三例使用微型C形臂透视定位金属缝纫针的病例。

结论

当发生故意吞食时,很少需要进行手术。吞食的缝纫针很难定位,当没有金属探测器来定位金属缝纫针时,微型C形臂透视是一个很好的选择。我们推荐这种方法,因为它有助于避免不必要的探查,缩短手术时间并提供出色的效果。

https://cdn.ncbi.nlm.nih.gov/pmc/blobs/3225/2726480/f266918d4055/1752-1947-0003-0000006491-1.jpg

文献检索

告别复杂PubMed语法,用中文像聊天一样搜索,搜遍4000万医学文献。AI智能推荐,让科研检索更轻松。

立即免费搜索

文件翻译

保留排版,准确专业,支持PDF/Word/PPT等文件格式,支持 12+语言互译。

免费翻译文档

深度研究

AI帮你快速写综述,25分钟生成高质量综述,智能提取关键信息,辅助科研写作。

立即免费体验