Saxonhouse Matthew A, Tarquinio Dan, Carney Paul R, Bennett Jeff, Smith Amy, Hunger Stephen P, Geyer James D
Division of Neonatology, Department of Pediatrics, University of Florida, Gainesville, FL 32610-0296, USA.
Adv Hematol. 2009;2009:153643. doi: 10.1155/2009/153643. Epub 2009 Feb 16.
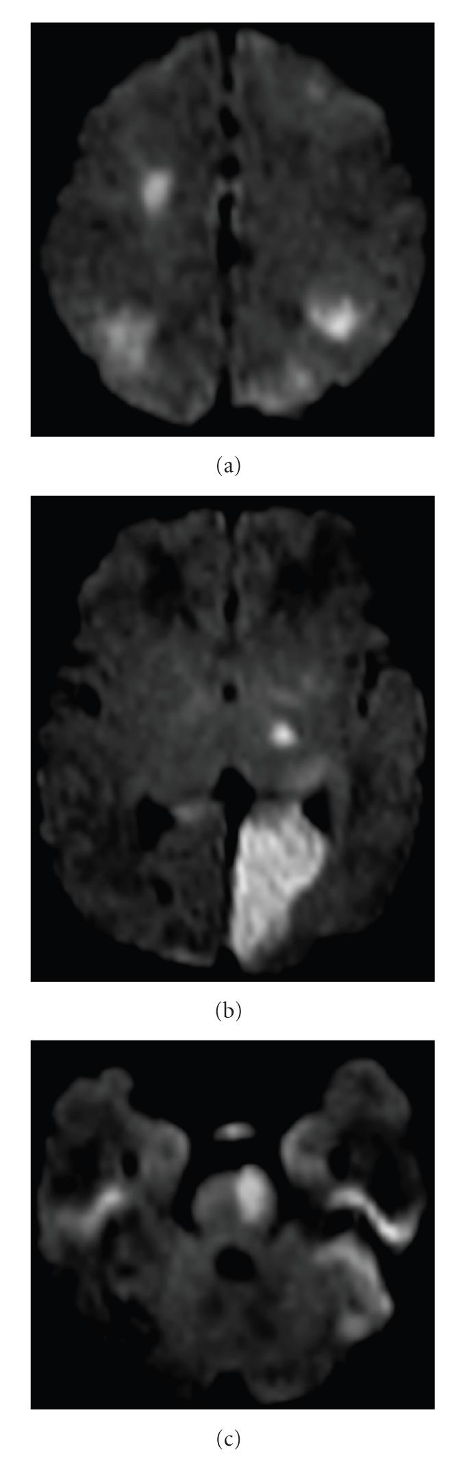
A full-term neonate suffered multifocal cerebral infarctions due to multiple large vessel thrombi. Thrombophilia and cardiovascular assessments were negative, but due to the severity of the lesions and the concern for expansion of the thrombi or future embolic events, treatment with low-molecular-weight heparin (LMWH) was initiated. No complications from treatment were experienced. We present this severe case in order to highlight difficult management decisions for newborns with multifocal perinatal thromboembolic stroke and to stress the need for further practice guidelines and research in this area.
一名足月儿因多条大血管血栓形成而发生多灶性脑梗死。血栓形成倾向和心血管评估结果均为阴性,但鉴于病变的严重程度以及对血栓扩展或未来栓塞事件的担忧,开始使用低分子肝素(LMWH)进行治疗。治疗过程中未出现并发症。我们展示这个严重病例,以突出多灶性围产期血栓栓塞性中风新生儿管理决策的困难,并强调该领域进一步实践指南和研究的必要性。