Suppr超能文献

相似文献

1
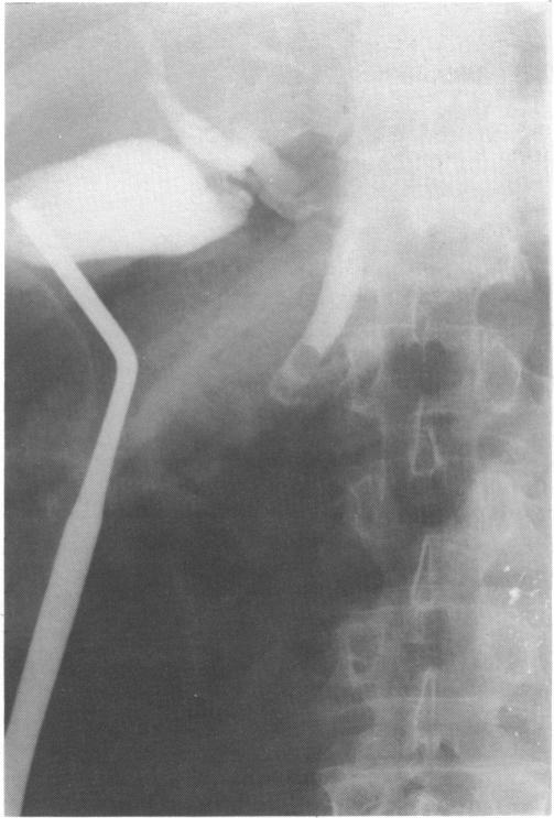
Transcholecystic operative cholangiography: an alternative technique.
Ann R Coll Surg Engl. 1991 Jan;73(1):39-42; discussion 43.
5
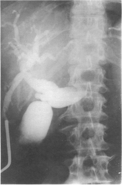
Percutaneous transcholecystic cholangiography: experimental study.
AJR Am J Roentgenol. 1985 May;144(5):1059-63. doi: 10.2214/ajr.144.5.1059.
7
Intraoperative cholangiography for laparoscopic cholecystectomy.
Surg Gynecol Obstet. 1993 May;176(5):411-7.
8
[X-ray technic for the gallbladder and bile ducts].
Z Gastroenterol Verh. 1976(9):28-33.
9
[Operative cholangiography].
Klin Khir (1962). 1973 Jul;7:18-20.
10
Cholangiography before biliary surgery: single-shot MR cholangiography versus intravenous cholangiography.
Radiology. 1996 Feb;198(2):561-6. doi: 10.1148/radiology.198.2.8596866.

本文引用的文献

1
CHOLANGIOGRAPHY: VISUALIZATION OF THE GALLBLADDER AND BILE DUCTS DURING AND AFTER OPERATION.
Ann Surg. 1936 Feb;103(2):210-29. doi: 10.1097/00000658-193602000-00005.
3
Cystic-duct cannula and cannula-holding clamp for operative cholangiography.
Lancet. 1972 Aug 26;2(7774):409. doi: 10.1016/s0140-6736(72)91802-8.
5
Iatrogenic bile duct stricture.
Br J Surg. 1986 Sep;73(9):768-9. doi: 10.1002/bjs.1800730932.
6
A complete suction system for operative surgery.
Br J Surg. 1977 Sep;64(9):653-4. doi: 10.1002/bjs.1800640914.

文献AI研究员

20分钟写一篇综述,助力文献阅读效率提升50倍。

立即体验

用中文搜PubMed

大模型驱动的PubMed中文搜索引擎

马上搜索

文档翻译

学术文献翻译模型,支持多种主流文档格式。

立即体验