• 文献检索
  • 文档翻译
  • 深度研究
  • 学术资讯
  • Suppr Zotero 插件Zotero 插件
  • 邀请有礼
  • 套餐&价格
  • 历史记录
应用&插件
Suppr Zotero 插件Zotero 插件浏览器插件Mac 客户端Windows 客户端微信小程序
定价
高级版会员购买积分包购买API积分包
服务
文献检索文档翻译深度研究API 文档MCP 服务
关于我们
关于 Suppr公司介绍联系我们用户协议隐私条款
关注我们

Suppr 超能文献

核心技术专利:CN118964589B侵权必究
粤ICP备2023148730 号-1Suppr @ 2026

文献检索

告别复杂PubMed语法,用中文像聊天一样搜索,搜遍4000万医学文献。AI智能推荐,让科研检索更轻松。

立即免费搜索

文件翻译

保留排版,准确专业,支持PDF/Word/PPT等文件格式,支持 12+语言互译。

免费翻译文档

深度研究

AI帮你快速写综述,25分钟生成高质量综述,智能提取关键信息,辅助科研写作。

立即免费体验

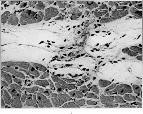
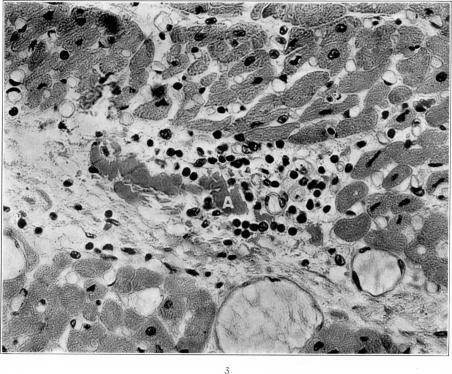
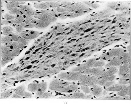
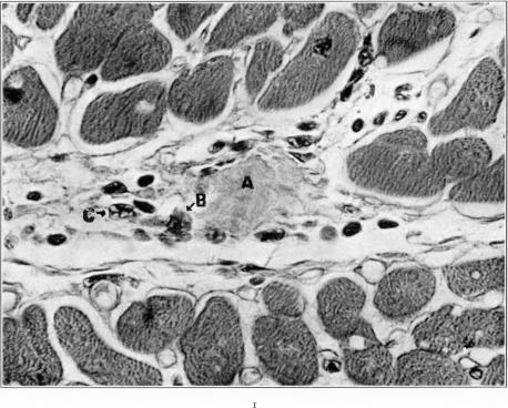
Studies on the Myocardial Aschoff Body: I. Descriptive Classification of Lesions.

作者信息

Gross L, Ehrlich J C

出版信息

Am J Pathol. 1934 Jul;10(4):467-488.15.

PMID:19970160
原文链接:https://pmc.ncbi.nlm.nih.gov/articles/PMC2062865/
Abstract
摘要
https://cdn.ncbi.nlm.nih.gov/pmc/blobs/24fc/2062865/91b627ebf8c8/amjpathol00710-0069-b.jpg
https://cdn.ncbi.nlm.nih.gov/pmc/blobs/24fc/2062865/06fd887c1304/amjpathol00710-0071-a.jpg
https://cdn.ncbi.nlm.nih.gov/pmc/blobs/24fc/2062865/26e1b2142afe/amjpathol00710-0071-b.jpg
https://cdn.ncbi.nlm.nih.gov/pmc/blobs/24fc/2062865/9790e1d76bce/amjpathol00710-0061-a.jpg
https://cdn.ncbi.nlm.nih.gov/pmc/blobs/24fc/2062865/ca4e6aeed6ce/amjpathol00710-0061-b.jpg
https://cdn.ncbi.nlm.nih.gov/pmc/blobs/24fc/2062865/77450e0ad318/amjpathol00710-0073-a.jpg
https://cdn.ncbi.nlm.nih.gov/pmc/blobs/24fc/2062865/a8179c5715f0/amjpathol00710-0073-b.jpg
https://cdn.ncbi.nlm.nih.gov/pmc/blobs/24fc/2062865/de71c7baf345/amjpathol00710-0059-a.jpg
https://cdn.ncbi.nlm.nih.gov/pmc/blobs/24fc/2062865/52d17e98549f/amjpathol00710-0059-b.jpg
https://cdn.ncbi.nlm.nih.gov/pmc/blobs/24fc/2062865/529f22bc720c/amjpathol00710-0067-a.jpg
https://cdn.ncbi.nlm.nih.gov/pmc/blobs/24fc/2062865/83387f2275f7/amjpathol00710-0067-b.jpg
https://cdn.ncbi.nlm.nih.gov/pmc/blobs/24fc/2062865/9d2faf67c849/amjpathol00710-0063-a.jpg
https://cdn.ncbi.nlm.nih.gov/pmc/blobs/24fc/2062865/a18b40d0c34c/amjpathol00710-0063-b.jpg
https://cdn.ncbi.nlm.nih.gov/pmc/blobs/24fc/2062865/14ace4826c94/amjpathol00710-0065-a.jpg
https://cdn.ncbi.nlm.nih.gov/pmc/blobs/24fc/2062865/25246285115e/amjpathol00710-0065-b.jpg
https://cdn.ncbi.nlm.nih.gov/pmc/blobs/24fc/2062865/b901ee9c3904/amjpathol00710-0069-a.jpg
https://cdn.ncbi.nlm.nih.gov/pmc/blobs/24fc/2062865/91b627ebf8c8/amjpathol00710-0069-b.jpg
https://cdn.ncbi.nlm.nih.gov/pmc/blobs/24fc/2062865/06fd887c1304/amjpathol00710-0071-a.jpg
https://cdn.ncbi.nlm.nih.gov/pmc/blobs/24fc/2062865/26e1b2142afe/amjpathol00710-0071-b.jpg
https://cdn.ncbi.nlm.nih.gov/pmc/blobs/24fc/2062865/9790e1d76bce/amjpathol00710-0061-a.jpg
https://cdn.ncbi.nlm.nih.gov/pmc/blobs/24fc/2062865/ca4e6aeed6ce/amjpathol00710-0061-b.jpg
https://cdn.ncbi.nlm.nih.gov/pmc/blobs/24fc/2062865/77450e0ad318/amjpathol00710-0073-a.jpg
https://cdn.ncbi.nlm.nih.gov/pmc/blobs/24fc/2062865/a8179c5715f0/amjpathol00710-0073-b.jpg
https://cdn.ncbi.nlm.nih.gov/pmc/blobs/24fc/2062865/de71c7baf345/amjpathol00710-0059-a.jpg
https://cdn.ncbi.nlm.nih.gov/pmc/blobs/24fc/2062865/52d17e98549f/amjpathol00710-0059-b.jpg
https://cdn.ncbi.nlm.nih.gov/pmc/blobs/24fc/2062865/529f22bc720c/amjpathol00710-0067-a.jpg
https://cdn.ncbi.nlm.nih.gov/pmc/blobs/24fc/2062865/83387f2275f7/amjpathol00710-0067-b.jpg
https://cdn.ncbi.nlm.nih.gov/pmc/blobs/24fc/2062865/9d2faf67c849/amjpathol00710-0063-a.jpg
https://cdn.ncbi.nlm.nih.gov/pmc/blobs/24fc/2062865/a18b40d0c34c/amjpathol00710-0063-b.jpg
https://cdn.ncbi.nlm.nih.gov/pmc/blobs/24fc/2062865/14ace4826c94/amjpathol00710-0065-a.jpg
https://cdn.ncbi.nlm.nih.gov/pmc/blobs/24fc/2062865/25246285115e/amjpathol00710-0065-b.jpg
https://cdn.ncbi.nlm.nih.gov/pmc/blobs/24fc/2062865/b901ee9c3904/amjpathol00710-0069-a.jpg
https://cdn.ncbi.nlm.nih.gov/pmc/blobs/24fc/2062865/91b627ebf8c8/amjpathol00710-0069-b.jpg

相似文献

1
Studies on the Myocardial Aschoff Body: I. Descriptive Classification of Lesions.心肌阿绍夫小体的研究:I. 病变的描述性分类
Am J Pathol. 1934 Jul;10(4):467-488.15.
2
Evidence that Aschoff bodies of rheumatic myocarditis develop from injured myofibers.风湿性心肌炎的阿绍夫小体由受损肌纤维发展而来的证据。
J Exp Med. 1952 Mar;95(3):319-32. doi: 10.1084/jem.95.3.319.
3
Aschoff bodies of rheumatic carditis are granulomatous lesions of histiocytic origin.风湿性心肌炎的阿绍夫小体是源于组织细胞的肉芽肿性病变。
Mod Pathol. 1988 Jul;1(4):256-61.
4
Rheumatic Aschoff nodules revisited. II: Cytokine expression corroborates recently proposed sequential stages.风湿性阿绍夫结节再探讨。II:细胞因子表达证实了最近提出的连续阶段。
Histopathology. 1997 Nov;31(5):460-4. doi: 10.1046/j.1365-2559.1997.2990883.x.
5
Rheumatic Aschoff nodules revisited: an immunohistological reappraisal of the cellular component.再探风湿性阿绍夫小体:细胞成分的免疫组织学重新评估
Histopathology. 1995 Nov;27(5):457-61. doi: 10.1111/j.1365-2559.1995.tb00310.x.
6
ON THE SIGNIFICANCE OF THE SUBMILIARY MYOCARDIAL NODULES OF ASCHOFF IN RHEUMATIC FEVER.风湿热中小梁心肌结的意义。
J Exp Med. 1914 May 1;19(5):417-28. doi: 10.1084/jem.19.5.417.
7
EXPERIMENTAL FOCALIZED MYOCARDIAL LESIONS PRODUCED WITH STREPTOCOCCUS MITIS.实验性地用草绿色链球菌制造局灶性心肌损伤。
J Exp Med. 1914 May 1;19(5):429-42. doi: 10.1084/jem.19.5.429.
8
Aschoff bodies in an operatively excised mitral valve.手术切除的二尖瓣中的阿绍夫小体。
Cardiovasc Pathol. 1997 Jul;6(4):231-6. doi: 10.1016/S1054-8807(96)00114-7.
9
Studies on the Myocardial Aschoff Body: II. Life Cycle, Sites of Predilection and Relation to Clinical Course of Rheumatic Fever.心肌阿绍夫小体的研究:II. 生命周期、好发部位及其与风湿热临床病程的关系
Am J Pathol. 1934 Jul;10(4):489-504.1.
10
Immunofluorescence studies of florid rheumatic Aschoff lesions.急性风湿性阿绍夫小体的免疫荧光研究。
Arthritis Rheum. 1986 Feb;29(2):207-11. doi: 10.1002/art.1780290208.

引用本文的文献

1
CXCL9/Mig mediates T cells recruitment to valvular tissue lesions of chronic rheumatic heart disease patients.CXCL9/Mig 介导 T 细胞募集到慢性风湿性心脏病患者的瓣膜组织病变部位。
Inflammation. 2013 Aug;36(4):800-11. doi: 10.1007/s10753-013-9606-2.
2
The cytologic response of rats and mice to a strain of greening streptococci.大鼠和小鼠对一株绿色链球菌的细胞学反应。
Am J Pathol. 1941 May;17(3):377-384.1.
3
The Rôle Played by Rheumatic Fever in the Implantation of Bacterial Endocarditis.风湿热在细菌性心内膜炎发病过程中所起的作用。
Am J Pathol. 1937 Sep;13(5):769-798.9.
4
Lesions of the Cardiac Valves in Rheumatic Fever.风湿热时心脏瓣膜的病变
Am J Pathol. 1936 Nov;12(6):855-910.9.
5
Lesions of the Cardiac Valve Rings in Rheumatic Fever.风湿热时心脏瓣膜环的病变
Am J Pathol. 1936 Jul;12(4):469-494.7.
6
Lesions in the Auriculoventricular Conduction System Occurring in Rheumatic Fever.风湿热时发生的房室传导系统病变。
Am J Pathol. 1936 Jan;12(1):31-44.5.
7
Lesions of the Left Auricle in Rheumatic Fever.风湿热时左心耳的病变
Am J Pathol. 1935 Sep;11(5):711-736.7.
8
Studies on the Myocardial Aschoff Body: II. Life Cycle, Sites of Predilection and Relation to Clinical Course of Rheumatic Fever.心肌阿绍夫小体的研究:II. 生命周期、好发部位及其与风湿热临床病程的关系
Am J Pathol. 1934 Jul;10(4):489-504.1.
9
Histochemical studies on the pathogenesis of fibrinoid.纤维蛋白样变性发病机制的组织化学研究。
Am J Pathol. 1949 Sep;25(5):1061-77.
10
Induction of cardiac lesions, closely resembling those of rheumatic fever, in rabbits following repeated skin infections with group A streptococci.在兔子身上,经A组链球菌反复皮肤感染后诱发的心脏病变,与风湿热的病变极为相似。
J Exp Med. 1949 Jun 1;89(6):687-98. doi: 10.1084/jem.89.6.687.