Suppr超能文献

温德利希氏综合征与失血性休克。

Wunderlich's syndrome and hemorrhagic shock.

作者信息

Medda Massimo, Picozzi Stefano Cm, Bozzini Giorgio, Carmignani Luca

机构信息

Urology Department, IRCCS Policlinico San Donato, University of Milan, San Donato Milanese, Milan, Italy.

出版信息

J Emerg Trauma Shock. 2009 Sep;2(3):203-5. doi: 10.4103/0974-2700.55346.

Abstract

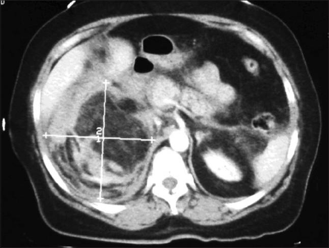
We report a case of Wunderlich's syndrome in an obese woman associated with massive retroperitoneal hemorrhage. Stable hemodynamic patient condition was obtained by selective arterial embolization. Since the first embolization of a renal angiomyolipoma in 1976 by Moorhead et al., highly selective renal arterial embolization of angiomyolipoma with rupture has become a procedure that offers greater efficacy, particularly in life-threatening cases.

摘要

我们报告一例肥胖女性的肾血管平滑肌脂肪瘤破裂综合征伴大量腹膜后出血。通过选择性动脉栓塞使患者血流动力学状况稳定。自1976年Moorhead等人首次对肾血管平滑肌脂肪瘤进行栓塞以来,对破裂的肾血管平滑肌脂肪瘤进行高选择性肾动脉栓塞已成为一种疗效更佳的治疗方法,尤其是在危及生命的病例中。

https://cdn.ncbi.nlm.nih.gov/pmc/blobs/75ea/2776371/9614d5ddf7a7/JETS-02-203-g001.jpg

文献AI研究员

20分钟写一篇综述,助力文献阅读效率提升50倍。

立即体验

用中文搜PubMed

大模型驱动的PubMed中文搜索引擎

马上搜索

文档翻译

学术文献翻译模型,支持多种主流文档格式。

立即体验