• 文献检索
  • 文档翻译
  • 深度研究
  • 学术资讯
  • Suppr Zotero 插件Zotero 插件
  • 邀请有礼
  • 套餐&价格
  • 历史记录
应用&插件
Suppr Zotero 插件Zotero 插件浏览器插件Mac 客户端Windows 客户端微信小程序
定价
高级版会员购买积分包购买API积分包
服务
文献检索文档翻译深度研究API 文档MCP 服务
关于我们
关于 Suppr公司介绍联系我们用户协议隐私条款
关注我们

Suppr 超能文献

核心技术专利:CN118964589B侵权必究
粤ICP备2023148730 号-1Suppr @ 2026

文献检索

告别复杂PubMed语法,用中文像聊天一样搜索,搜遍4000万医学文献。AI智能推荐,让科研检索更轻松。

立即免费搜索

文件翻译

保留排版,准确专业,支持PDF/Word/PPT等文件格式,支持 12+语言互译。

免费翻译文档

深度研究

AI帮你快速写综述,25分钟生成高质量综述,智能提取关键信息,辅助科研写作。

立即免费体验

癌胚纤连蛋白是人类着床的滋养层黏合剂吗?

Is oncofetal fibronectin a trophoblast glue for human implantation?

作者信息

Feinberg R F, Kliman H J, Lockwood C J

机构信息

Department of Obstetrics and Gynecology, University of Pennsylvania Medical Center, Philadelphia 19104-4283.

出版信息

Am J Pathol. 1991 Mar;138(3):537-43.

PMID:2000933
原文链接:https://pmc.ncbi.nlm.nih.gov/articles/PMC1886265/
Abstract

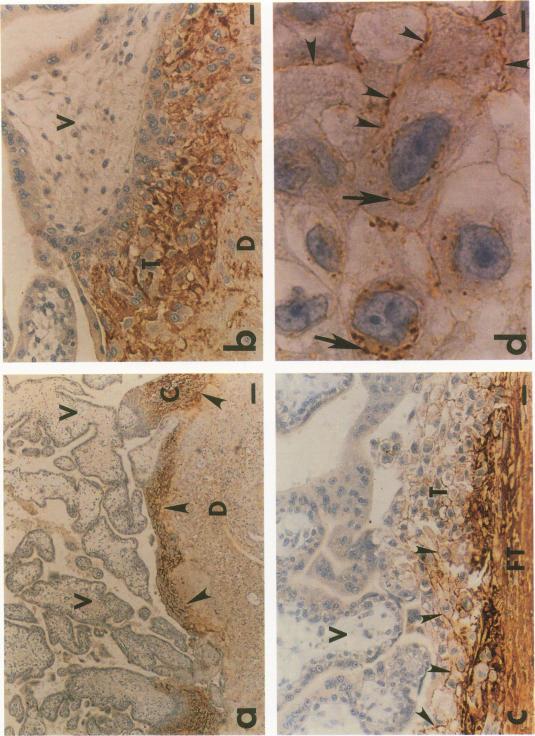
Using an antibody probe specific for the class of fibronectins that contain the oncofetal domain, it was shown that oncofetal fibronectin (onfFN) is present wherever trophoblasts make contact with extraplacental extracellular matrix (ECM). In normal human implantation sites, onfFN was localized to a highly specific region-the ECM connecting extravilous trophoblasts and trophoblastic cell columns to the uterine decidua. This same zone of onfFN was present in an analogous location in extrauterine gestations. Like these in vivo extravillous trophoblasts, isolated cytotrophoblasts in primary culture synthesized and secreted onfFN as they underwent differentiation. Furthermore, when cocultured with an ECM gel, cytotrophoblast aggregates deposited onfFN at cell-ECM contact sites, resembling early implanting trophoblasts in vivo. In the presence of cyclic AMP agonists, onfFN synthesis was inhibited markedly. It is concluded from these results that onfFN is a trophoblast protein that, under cAMP regulation, could mediate implantation and placental-uterine attachment throughout gestation.

摘要

使用针对含有癌胚结构域的纤连蛋白类别的抗体探针,研究表明,只要滋养层细胞与胎盘外细胞外基质(ECM)接触,癌胚纤连蛋白(onfFN)就会存在。在正常人类着床部位,onfFN定位于一个高度特定的区域——将绒毛外滋养层细胞和滋养层细胞柱与子宫蜕膜连接起来的ECM。在宫外妊娠的类似位置也存在相同的onfFN区域。与这些体内绒毛外滋养层细胞一样,原代培养中分离的细胞滋养层细胞在分化过程中合成并分泌onfFN。此外,当与ECM凝胶共培养时,细胞滋养层聚集体在细胞与ECM接触部位沉积onfFN,类似于体内早期着床的滋养层细胞。在环磷酸腺苷(cAMP)激动剂存在的情况下,onfFN的合成受到显著抑制。从这些结果可以得出结论,onfFN是一种滋养层蛋白,在cAMP调节下,它可能在整个妊娠期介导着床和胎盘与子宫的附着。

https://cdn.ncbi.nlm.nih.gov/pmc/blobs/7a6c/1886265/88395a9f9c34/amjpathol00099-0037-a.jpg
https://cdn.ncbi.nlm.nih.gov/pmc/blobs/7a6c/1886265/e95131deb798/amjpathol00099-0035-a.jpg
https://cdn.ncbi.nlm.nih.gov/pmc/blobs/7a6c/1886265/39bf889880c8/amjpathol00099-0036-a.jpg
https://cdn.ncbi.nlm.nih.gov/pmc/blobs/7a6c/1886265/88395a9f9c34/amjpathol00099-0037-a.jpg
https://cdn.ncbi.nlm.nih.gov/pmc/blobs/7a6c/1886265/e95131deb798/amjpathol00099-0035-a.jpg
https://cdn.ncbi.nlm.nih.gov/pmc/blobs/7a6c/1886265/39bf889880c8/amjpathol00099-0036-a.jpg
https://cdn.ncbi.nlm.nih.gov/pmc/blobs/7a6c/1886265/88395a9f9c34/amjpathol00099-0037-a.jpg

相似文献

1
Is oncofetal fibronectin a trophoblast glue for human implantation?癌胚纤连蛋白是人类着床的滋养层黏合剂吗?
Am J Pathol. 1991 Mar;138(3):537-43.
2
Transforming growth factor-beta stimulates trophoblast oncofetal fibronectin synthesis in vitro: implications for trophoblast implantation in vivo.转化生长因子-β在体外刺激滋养层癌胚纤连蛋白的合成:对体内滋养层植入的影响。
J Clin Endocrinol Metab. 1994 May;78(5):1241-8. doi: 10.1210/jcem.78.5.8175984.
3
Extracellular pH modulates the secretion of fibronectin isoforms by human trophoblast.细胞外pH值调节人滋养层细胞纤连蛋白异构体的分泌。
Acta Histochem. 2002;104(1):51-63. doi: 10.1078/0065-1281-00631.
4
CX3CL1 and CCL14 regulate extracellular matrix and adhesion molecules in the trophoblast: potential roles in human embryo implantation.CX3CL1和CCL14调节滋养层中的细胞外基质和黏附分子:对人类胚胎着床的潜在作用
Biol Reprod. 2008 Jul;79(1):58-65. doi: 10.1095/biolreprod.107.066480. Epub 2008 Mar 26.
5
Steroid regulation of oncofetal fibronectin expression in human cytotrophoblasts.类固醇对人细胞滋养层中癌胚纤连蛋白表达的调节
J Steroid Biochem Mol Biol. 1993 Jul;46(1):1-10. doi: 10.1016/0960-0760(93)90202-8.
6
Mouse trophoblast cell invasion of extracellular matrix purified from endometrial tissue: a model for peri-implantation development.小鼠滋养层细胞对从子宫内膜组织纯化的细胞外基质的侵袭:着床前发育的模型
J Exp Zool. 1994 Jun 1;269(2):146-56. doi: 10.1002/jez.1402690208.
7
Negative regulation of placental fibronectin expression by glucocorticoids and cyclic adenosine 3',5'-monophosphate.糖皮质激素和环磷酸腺苷对胎盘纤连蛋白表达的负调控
Ann N Y Acad Sci. 1994 Sep 30;734:132-42. doi: 10.1111/j.1749-6632.1994.tb21741.x.
8
Localization and expression of fibronectin during mouse decidualization in vitro: mechanisms of cell:matrix interactions.体外小鼠蜕膜化过程中纤连蛋白的定位与表达:细胞与基质相互作用的机制
Dev Dyn. 1996 Jul;206(3):330-42. doi: 10.1002/(SICI)1097-0177(199607)206:3<330::AID-AJA10>3.0.CO;2-3.
9
Invasive depth of extravillous trophoblast correlates with cellular phenotype: a comparison of intra- and extrauterine implantation sites.绒毛外滋养层细胞的浸润深度与细胞表型相关:子宫内和子宫外着床部位的比较。
Histochem Cell Biol. 2002 May;117(5):401-14. doi: 10.1007/s00418-002-0396-0. Epub 2002 Apr 20.
10
HLA Class I protein expression in the human placenta.人类胎盘中的HLA I类蛋白表达。
Early Pregnancy (Cherry Hill). 2001 Jan;5(1):67-9.

引用本文的文献

1
Quantitative assessment of placental alpha macroglobulin-1 for predicting impending preterm delivery in asymptomatic women with a short cervix.胎盘α巨球蛋白-1定量评估对预测无症状短宫颈妇女即将发生的早产的作用
J Obstet Gynaecol Res. 2025 Sep;51(9):e70071. doi: 10.1111/jog.70071.
2
Preterm Birth: Screening and Prediction.早产:筛查与预测
Int J Womens Health. 2023 Dec 21;15:1981-1997. doi: 10.2147/IJWH.S436624. eCollection 2023.
3
Using Fetal Fibronectin Test to Reduce Hospital Admissions with Diagnosis of Preterm Labor: An Economic Evaluation Study.

本文引用的文献

1
A description of 34 human ova within the first 17 days of development.对发育最初17天内的34枚人类卵子的描述。
Am J Anat. 1956 May;98(3):435-93. doi: 10.1002/aja.1000980306.
2
Identification of two distinct regions of the type III connecting segment of human plasma fibronectin that promote cell type-specific adhesion.鉴定人血浆纤连蛋白III型连接段中促进细胞类型特异性粘附的两个不同区域。
J Biol Chem. 1987 May 15;262(14):6886-92.
3
8-Bromo-3',5'-adenosine monophosphate stimulates the endocrine activity of human cytotrophoblasts in culture.
使用胎儿纤连蛋白检测减少早产诊断导致的住院:一项经济评估研究。
J Pers Med. 2023 May 25;13(6):894. doi: 10.3390/jpm13060894.
4
Preterm labor with intact membranes: a simple noninvasive method to identify patients at risk for intra-amniotic infection and/or inflammation.未破膜的早产:一种简单的非侵入性方法,可识别有发生羊膜内感染和/或炎症风险的患者。
J Matern Fetal Neonatal Med. 2022 Dec;35(26):10514-10529. doi: 10.1080/14767058.2022.2131388. Epub 2022 Oct 13.
5
The Involvement of Cell Adhesion Molecules, Tight Junctions, and Gap Junctions in Human Placentation.细胞黏附分子、紧密连接和缝隙连接在人类胎盘形成中的作用。
Reprod Sci. 2021 Feb;28(2):305-320. doi: 10.1007/s43032-020-00364-7. Epub 2020 Nov 4.
6
Application of Artificial Intelligence in Early Diagnosis of Spontaneous Preterm Labor and Birth.人工智能在自发性早产和分娩早期诊断中的应用
Diagnostics (Basel). 2020 Sep 22;10(9):733. doi: 10.3390/diagnostics10090733.
7
Quantitative fetal fibronectin to predict spontaneous preterm delivery after laser surgery for twin-twin transfusion syndrome.定量胎儿纤维连接蛋白预测激光手术治疗双胎输血综合征后自发性早产。
Sci Rep. 2019 Mar 14;9(1):4438. doi: 10.1038/s41598-019-41163-8.
8
Association of foetal size and sex with porcine foeto-maternal interface integrin expression.胎儿大小和性别与猪胎儿-母体界面整合素表达的关系。
Reproduction. 2019 Apr 1;157(4):317-328. doi: 10.1530/REP-18-0520.
9
Predicting preterm birth: Cervical length and fetal fibronectin.预测早产:宫颈长度和胎儿纤维连接蛋白。
Semin Perinatol. 2017 Dec;41(8):445-451. doi: 10.1053/j.semperi.2017.08.002. Epub 2017 Sep 19.
10
Cervical Sonoelastography and Cervical Length Measurement but not Cervicovaginal Interleukin-6 Are Predictors for Preterm Birth.宫颈弹性成像和宫颈长度测量而非宫颈阴道白细胞介素-6是早产的预测指标。
Ultrasound Int Open. 2016 Sep;2(3):E83-9. doi: 10.1055/s-0042-110317. Epub 2016 Aug 24.
8-溴-3',5'-单磷酸腺苷刺激培养的人细胞滋养层细胞的内分泌活性。
J Clin Endocrinol Metab. 1986 Nov;63(5):1211-7. doi: 10.1210/jcem-63-5-1211.
4
Purification, characterization, and in vitro differentiation of cytotrophoblasts from human term placentae.人足月胎盘细胞滋养层细胞的纯化、特性鉴定及体外分化
Endocrinology. 1986 Apr;118(4):1567-82. doi: 10.1210/endo-118-4-1567.
5
Differential expression of the ED sequence-containing form of cellular fibronectin in embryonic and adult human tissues.含ED序列形式的细胞纤连蛋白在人类胚胎组织和成人组织中的差异表达。
J Cell Sci. 1987 Nov;88 ( Pt 4):419-30. doi: 10.1242/jcs.88.4.419.
6
Immunohistochemical localization of fibronectin in the human placentas at their different stages of maturation.纤连蛋白在人胎盘不同成熟阶段的免疫组织化学定位。
Histochemistry. 1987;86(6):579-84. doi: 10.1007/BF00489550.
7
Identification of an alternatively spliced site in human plasma fibronectin that mediates cell type-specific adhesion.人血浆纤连蛋白中一个介导细胞类型特异性黏附的可变剪接位点的鉴定。
J Cell Biol. 1986 Dec;103(6 Pt 2):2637-47. doi: 10.1083/jcb.103.6.2637.
8
The human villous cytotrophoblast: interactions with extracellular matrix proteins, endocrine function, and cytoplasmic differentiation in the absence of syncytium formation.人绒毛细胞滋养层细胞:在无合体滋养层形成情况下与细胞外基质蛋白的相互作用、内分泌功能及细胞质分化
Dev Biol. 1988 Dec;130(2):693-702. doi: 10.1016/0012-1606(88)90361-2.
9
An alpha-N-acetylgalactosaminylation at the threonine residue of a defined peptide sequence creates the oncofetal peptide epitope in human fibronectin.在特定肽序列的苏氨酸残基上进行α-N-乙酰半乳糖胺基化,可在人纤连蛋白中产生癌胚肽表位。
J Biol Chem. 1989 Jun 25;264(18):10472-6.
10
The oncofetal structure of human fibronectin defined by monoclonal antibody FDC-6. Unique structural requirement for the antigenic specificity provided by a glycosylhexapeptide.由单克隆抗体FDC-6定义的人纤连蛋白的癌胚结构。糖基六肽提供抗原特异性的独特结构要求。
J Biol Chem. 1988 Mar 5;263(7):3314-22.