Suppr超能文献

早产:筛查与预测

Preterm Birth: Screening and Prediction.

作者信息

Creswell Lyndsay, Rolnik Daniel Lorber, Lindow Stephen W, O'Gorman Neil

机构信息

Department of Obstetrics and Gynecology, The Coombe Hospital, Dublin, Ireland.

Department of Obstetrics and Gynecology, Monash University, Melbourne, VIC, Australia.

出版信息

Int J Womens Health. 2023 Dec 21;15:1981-1997. doi: 10.2147/IJWH.S436624. eCollection 2023.

Abstract

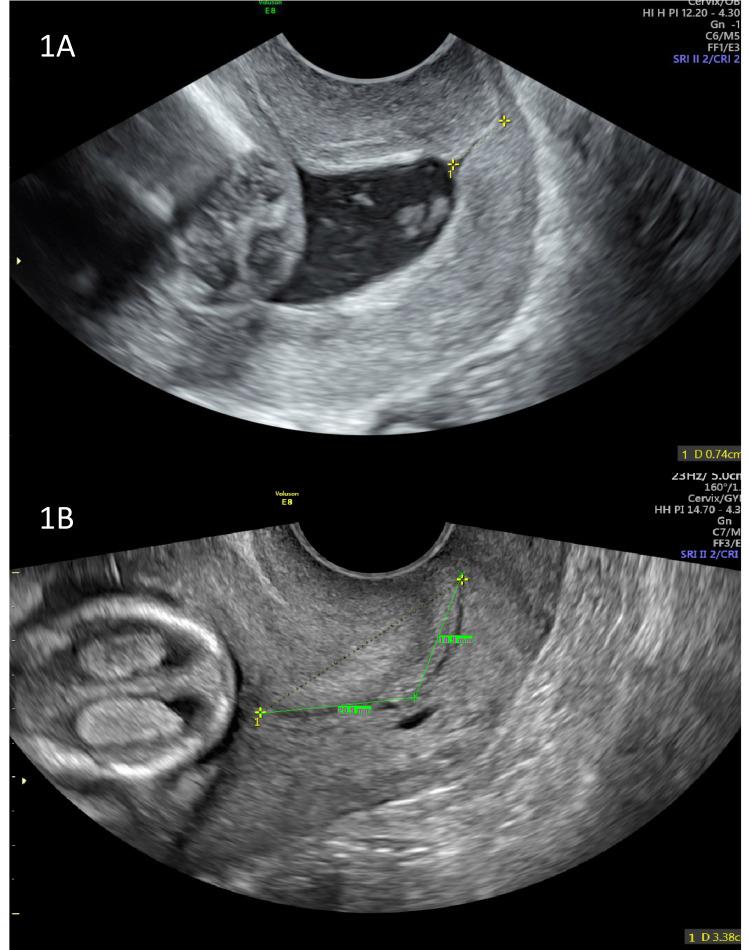
Preterm birth (PTB) affects approximately 10% of births globally each year and is the most significant direct cause of neonatal death and of long-term disability worldwide. Early identification of women at high risk of PTB is important, given the availability of evidence-based, effective screening modalities, which facilitate decision-making on preventative strategies, particularly transvaginal sonographic cervical length (CL) measurement. There is growing evidence that combining CL with quantitative fetal fibronectin (qfFN) and maternal risk factors in the extensively peer-reviewed and validated QUanititative Innovation in Predicting Preterm birth (QUiPP) application can aid both the triage of patients who present as emergencies with symptoms of preterm labor and high-risk asymptomatic women attending PTB surveillance clinics. The QUiPP app risk of delivery thus supports shared decision-making with patients on the need for increased outpatient surveillance, in-patient treatment for preterm labor or simply reassurance for those unlikely to deliver preterm. Effective triage of patients at preterm gestations is an obstetric clinical priority as correctly timed administration of antenatal corticosteroids will maximise their neonatal benefits. This review explores the predictive capacity of existing predictive tests for PTB in both singleton and multiple pregnancies, including the QUiPP app v.2. and discusses promising new research areas, which aim to predict PTB through cervical stiffness and elastography measurements, metabolomics, extracellular vesicles and artificial intelligence.

摘要

早产(PTB)每年影响全球约10%的分娩,是全球新生儿死亡和长期残疾的最重要直接原因。鉴于有循证有效的筛查方式,早期识别早产高危女性很重要,这些筛查方式有助于就预防策略做出决策,特别是经阴道超声测量宫颈长度(CL)。越来越多的证据表明,在经过广泛同行评审和验证的预测早产的定量创新(QUiPP)应用中,将宫颈长度与定量胎儿纤连蛋白(qfFN)和母体风险因素相结合,有助于对出现早产症状的急诊患者以及前往早产监测诊所的高危无症状女性进行分流。QUiPP应用程序的分娩风险因此支持与患者就是否需要增加门诊监测、早产住院治疗或仅仅是让那些不太可能早产的患者放心进行共同决策。对早产患者进行有效的分流是产科临床的一个优先事项,因为正确适时地使用产前皮质类固醇将使新生儿受益最大化。本综述探讨了现有预测早产的检测方法在单胎和多胎妊娠中的预测能力,包括QUiPP应用程序v.2,并讨论了有前景的新研究领域,这些领域旨在通过宫颈硬度和弹性成像测量、代谢组学、细胞外囊泡和人工智能来预测早产。

https://cdn.ncbi.nlm.nih.gov/pmc/blobs/8869/10749552/e16b902c1094/IJWH-15-1981-g0001.jpg

文献AI研究员

20分钟写一篇综述,助力文献阅读效率提升50倍。

立即体验

用中文搜PubMed

大模型驱动的PubMed中文搜索引擎

马上搜索

文档翻译

学术文献翻译模型,支持多种主流文档格式。

立即体验