• 文献检索
  • 文档翻译
  • 深度研究
  • 学术资讯
  • Suppr Zotero 插件Zotero 插件
  • 邀请有礼
  • 套餐&价格
  • 历史记录
应用&插件
Suppr Zotero 插件Zotero 插件浏览器插件Mac 客户端Windows 客户端微信小程序
定价
高级版会员购买积分包购买API积分包
服务
文献检索文档翻译深度研究API 文档MCP 服务
关于我们
关于 Suppr公司介绍联系我们用户协议隐私条款
关注我们

Suppr 超能文献

核心技术专利:CN118964589B侵权必究
粤ICP备2023148730 号-1Suppr @ 2026

文献检索

告别复杂PubMed语法,用中文像聊天一样搜索,搜遍4000万医学文献。AI智能推荐,让科研检索更轻松。

立即免费搜索

文件翻译

保留排版,准确专业,支持PDF/Word/PPT等文件格式,支持 12+语言互译。

免费翻译文档

深度研究

AI帮你快速写综述,25分钟生成高质量综述,智能提取关键信息,辅助科研写作。

立即免费体验

先天性颊部硬纤维瘤:一例临床病理病例报告

Congenital desmoid tumor of the cheek: a clinicopathological case report.

作者信息

Dalit Amar, Karen Meir, Alexander Margulis

机构信息

Department of Plastic and Reconstructive Surgery, Hadassah Medical Organization, Jerusalem, Israel.

出版信息

Eplasty. 2009 Nov 10;9:e52.

PMID:20011031
原文链接:https://pmc.ncbi.nlm.nih.gov/articles/PMC2779781/
Abstract

OBJECTIVE

Desmoid tumors are rare benign neoplasms of fibroblastic origin, frequently presenting in the abdomen of adult patients. Little is reported about clinical features and outcome of desmoid tumors appearing in infants and children, especially when they are located in the face.

METHODS

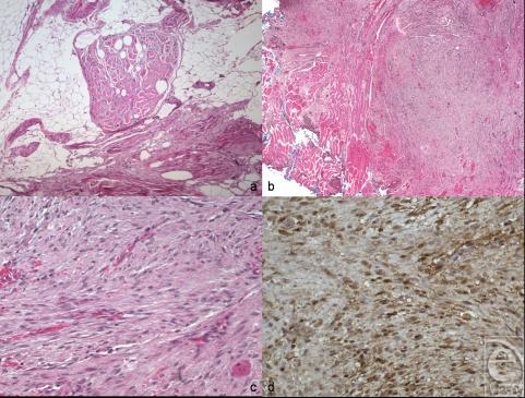
We report a girl with a desmoid tumor of her cheek, which was present at birth.

RESULTS

The tumor was treated by surgical excision, with no additional treatment, other than follow-up. No recurrence of the tumor was witnessed 15 months following surgical excision.

SUMMARY

Radical surgical treatment with tumor excision, sometimes accompanied by radiotherapy, is the current standard therapy for infantile desmoid tumors. Pharmacological treatment may be added in selected cases. These modalities may be challenging when desmoid tumors appear in the face because of risks of facial distortion and associated growth problems.

摘要

目的

韧带样瘤是一种罕见的起源于成纤维细胞的良性肿瘤,常见于成年患者的腹部。关于婴儿和儿童韧带样瘤的临床特征及预后报道较少,尤其是位于面部的此类肿瘤。

方法

我们报告一名出生时即患有脸颊韧带样瘤的女孩。

结果

该肿瘤通过手术切除进行治疗,术后除随访外未进行其他治疗。手术切除15个月后未见肿瘤复发。

总结

肿瘤切除的根治性手术治疗,有时联合放疗,是目前婴儿韧带样瘤的标准治疗方法。在某些特定病例中可加用药物治疗。当韧带样瘤出现在面部时,由于存在面部畸形和相关生长问题的风险,这些治疗方式可能具有挑战性。

https://cdn.ncbi.nlm.nih.gov/pmc/blobs/9dc0/2779781/54fcb643a350/eplasty09e52_fig4.jpg
https://cdn.ncbi.nlm.nih.gov/pmc/blobs/9dc0/2779781/d749dad1c519/eplasty09e52_fig1.jpg
https://cdn.ncbi.nlm.nih.gov/pmc/blobs/9dc0/2779781/614e5273c7ce/eplasty09e52_fig2.jpg
https://cdn.ncbi.nlm.nih.gov/pmc/blobs/9dc0/2779781/5920c4f72c58/eplasty09e52_fig3.jpg
https://cdn.ncbi.nlm.nih.gov/pmc/blobs/9dc0/2779781/54fcb643a350/eplasty09e52_fig4.jpg
https://cdn.ncbi.nlm.nih.gov/pmc/blobs/9dc0/2779781/d749dad1c519/eplasty09e52_fig1.jpg
https://cdn.ncbi.nlm.nih.gov/pmc/blobs/9dc0/2779781/614e5273c7ce/eplasty09e52_fig2.jpg
https://cdn.ncbi.nlm.nih.gov/pmc/blobs/9dc0/2779781/5920c4f72c58/eplasty09e52_fig3.jpg
https://cdn.ncbi.nlm.nih.gov/pmc/blobs/9dc0/2779781/54fcb643a350/eplasty09e52_fig4.jpg

相似文献

1
Congenital desmoid tumor of the cheek: a clinicopathological case report.先天性颊部硬纤维瘤:一例临床病理病例报告
Eplasty. 2009 Nov 10;9:e52.
2
Congenital desmoid tumor of the scalp: a histologically benign lesion with aggressive clinical behavior.头皮先天性硬纤维瘤:一种组织学上为良性但临床行为具有侵袭性的病变。
Childs Nerv Syst. 1996 Jul;12(7):409-12. doi: 10.1007/BF00395097.
3
[Intra-abdominal desmoid tumors: rare but important disease].[腹腔内硬纤维瘤:罕见但重要的疾病]
G Chir. 2007 Jan-Feb;28(1-2):20-4.
4
Sporadic Abdominal Wall Desmoid type Fibromatosis: treatment paradigm after thirty two years.散发性腹壁硬纤维瘤型纤维瘤病:32年的治疗模式
BMC Surg. 2018 Jun 7;18(1):37. doi: 10.1186/s12893-018-0367-6.
5
The clinical effect of a positive surgical margin and adjuvant postoperative radiotherapy in the treatment of resectable desmoid tumors.手术切缘阳性及术后辅助放疗在可切除韧带样瘤治疗中的临床效果
Mol Clin Oncol. 2013 Nov;1(6):1061-1064. doi: 10.3892/mco.2013.185. Epub 2013 Sep 17.
6
Surgical management of desmoid tumors of the female pelvis.女性骨盆硬纤维瘤的手术治疗
J Am Coll Surg. 2000 Aug;191(2):175-83. doi: 10.1016/s1072-7515(00)00323-9.
7
Isolated desmoid tumor of pancreatic tail with cyst formation diagnosed by beta-catenin immunostaining: a rare case report with review of literature.通过β-连环蛋白免疫染色诊断的孤立性胰腺尾部硬纤维瘤伴囊肿形成:一例罕见病例报告并文献复习
JOP. 2013 May 10;14(3):296-301. doi: 10.6092/1590-8577/1475.
8
PROMIS Function Scores Are Lower in Patients Who Underwent More Aggressive Local Treatment for Desmoid Tumors.接受更积极的局部治疗的韧带样纤维瘤患者的 PROMIS 功能评分较低。
Clin Orthop Relat Res. 2020 Mar;478(3):563-577. doi: 10.1097/CORR.0000000000000918.
9
Desmoid tumor of the spinal canal causing scoliosis and paralysis.引起脊柱侧弯和瘫痪的椎管硬纤维瘤。
Spine (Phila Pa 1976). 2002 Jun 15;27(12):E304-7. doi: 10.1097/00007632-200206150-00025.
10
Rare extragonadal teratomas in children: complete tumor excision as a reliable and essential procedure for significant survival. Clinical experience and review of the literature.儿童罕见的性腺外畸胎瘤:完整肿瘤切除是显著提高生存率的可靠且必要的手术。临床经验及文献综述
Ann Ital Chir. 2014 Jan-Feb;85(1):56-68.

引用本文的文献

1
Massive congenital cervicofacial desmoid-type fibromatosis in a 5-month-old infant.一名5个月大婴儿的巨大先天性颈面部硬纤维瘤病样纤维瘤病
J Surg Case Rep. 2021 May 27;2021(5):rjab206. doi: 10.1093/jscr/rjab206. eCollection 2021 May.

本文引用的文献

1
Infantile fibromatosis of the mandible: a case report.
Dentomaxillofac Radiol. 2008 Mar;37(3):167-70. doi: 10.1259/dmfr/51942076.
2
[Mandibular aggressive fibromatosis].
Rev Stomatol Chir Maxillofac. 2007 Apr;108(2):153-5. doi: 10.1016/j.stomax.2006.05.003. Epub 2007 Mar 12.
3
Complications of mandibular reconstruction in childhood: Report of a case of Juvenile Aggressive Fibromatosis.
J Craniomaxillofac Surg. 2006 Apr;34(3):168-72. doi: 10.1016/j.jcms.2005.12.003. Epub 2006 Mar 20.
4
Aggressive infantile (desmoid-type) fibromatosis of the maxilla: a case report and new classification.
West Indian Med J. 2005 Oct;54(5):337-40. doi: 10.1590/s0043-31442005000500013.
5
Extra-abdominal fibromatosis of the cheek: report of a case.颊部腹外纤维瘤病:1例报告
J Oral Maxillofac Surg. 2005 Aug;63(8):1222-6. doi: 10.1016/j.joms.2005.04.015.
6
Pediatric aggressive fibromatosis: a retrospective analysis of 13 patients and review of literature.小儿侵袭性纤维瘤病:13例患者的回顾性分析及文献复习
Cancer. 2005 Sep 1;104(5):1090-9. doi: 10.1002/cncr.21275.
7
Agressive fibromatosis involving the mandible--case report and review of the literature.累及下颌骨的侵袭性纤维瘤病——病例报告及文献复习
Oral Surg Oral Med Oral Pathol Oral Radiol Endod. 2005 Jan;99(1):30-8. doi: 10.1016/j.tripleo.2004.03.026.
8
Response of progressive fibromatosis to therapy with liposomal doxorubicin.进展性纤维瘤病对脂质体阿霉素治疗的反应。
Onkologie. 2004 Dec;27(6):552-6. doi: 10.1159/000081337.
9
Infantile fibromatosis of the nose and paranasal sinuses: report of a rare case and brief review of the literature.鼻及鼻窦婴儿纤维瘤病:1例罕见病例报告并文献简要回顾
Ear Nose Throat J. 2004 Jul;83(7):481-4.
10
Fibromatosis of the mandible in a child.
Kulak Burun Bogaz Ihtis Derg. 2002 Jan-Feb;9(1):59-62.