Suppr超能文献

蛋白激酶 C-α下调增强分枝杆菌的细胞内存活:PknG 的作用。

Downregulation of protein kinase C-alpha enhances intracellular survival of Mycobacteria: role of PknG.

机构信息

Division of Microbiology, Central Drug Research Institute, Lucknow, 226001, India.

出版信息

BMC Microbiol. 2009 Dec 24;9:271. doi: 10.1186/1471-2180-9-271.

Abstract

BACKGROUND

Intracellular trafficking of mycobacteria is comprehensively dependent on the unusual regulation of host proteins. Recently, we have reported that infection of macrophages by Mycobacterium tuberculosis H37Rv (Rv) selectively downregulates the expression of PKCalpha while infection by Mycobacterium smegmatis (MS) does not.

RESULTS

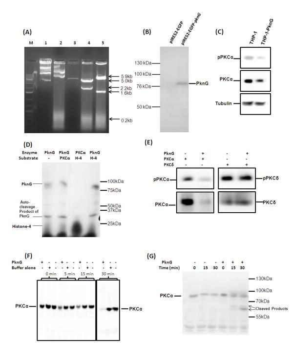
Based on our earlier study, we have extrapolated for the first time that knockdown of PKCalpha, impairs phagocytosis of mycobacteria by macrophages while their intracellular survival is drastically increased. Mycobacterium bovis BCG (BCG) and Mycobacterium tuberculosis H37Ra (Ra) have also been shown to downregulate the expression of PKCalpha during the infection. Since PknG is uniquely expressed in BCG, Ra, Rv but not in MS and has been reported to promote intracellular survival of mycobacteria, led us to believe that PknG may be involved in such downregulation of PKCalpha. THP-1 cells infected with recombinant MS expressing PknG (MS-G), showed significant reduction in PKCalpha expression. In normal THP-1 cells survival of MS-G was enhanced as compared to MS, while their behavior in PKCalpha deficient cells could not be distinguished. The results strongly demonstrate that pathogenic mycobacteria recognize and then inhibit PKCalpha to circumvent phagocytosis and the hostile environment of macrophages. We emphasize that, this inhibition is controlled by PknG.

CONCLUSIONS

All together, our data reveal a mechanism that shows substantial interdependence of PKCalpha with PknG, in sustaining mycobacterial infection.

摘要

背景

分枝杆菌的细胞内运输是全面依赖于宿主蛋白的异常调节。最近,我们报道了分枝杆菌结核 H37Rv(Rv)感染巨噬细胞选择性地下调 PKCalpha 的表达,而分枝杆菌耻垢亚种(MS)感染则不会。

结果

基于我们之前的研究,我们首次推断出,PKCalpha 的敲低会损害巨噬细胞吞噬分枝杆菌的能力,同时其细胞内存活能力大大增加。牛分枝杆菌卡介苗(BCG)和分枝杆菌结核 H37Ra(Ra)在感染过程中也被证明下调 PKCalpha 的表达。由于 PknG 仅在 BCG、Ra、Rv 中表达,而不在 MS 中表达,并且据报道它能促进分枝杆菌的细胞内存活,这使我们相信 PknG 可能参与了这种 PKCalpha 的下调。感染表达 PknG 的重组 MS 的 THP-1 细胞显示 PKCalpha 表达明显减少。在正常的 THP-1 细胞中,MS-G 的存活能力比 MS 增强,而在 PKCalpha 缺陷细胞中,它们的行为无法区分。结果强烈表明,致病性分枝杆菌识别并抑制 PKCalpha 以逃避吞噬作用和巨噬细胞的恶劣环境。我们强调,这种抑制受 PknG 控制。

结论

总的来说,我们的数据揭示了一种机制,表明 PKCalpha 与 PknG 在维持分枝杆菌感染方面存在实质性的相互依存关系。

https://cdn.ncbi.nlm.nih.gov/pmc/blobs/b687/2816201/ee8ed5055b51/1471-2180-9-271-1.jpg

文献AI研究员

20分钟写一篇综述,助力文献阅读效率提升50倍。

立即体验

用中文搜PubMed

大模型驱动的PubMed中文搜索引擎

马上搜索

文档翻译

学术文献翻译模型,支持多种主流文档格式。

立即体验