• 文献检索
  • 文档翻译
  • 深度研究
  • 学术资讯
  • Suppr Zotero 插件Zotero 插件
  • 邀请有礼
  • 套餐&价格
  • 历史记录
应用&插件
Suppr Zotero 插件Zotero 插件浏览器插件Mac 客户端Windows 客户端微信小程序
定价
高级版会员购买积分包购买API积分包
服务
文献检索文档翻译深度研究API 文档MCP 服务
关于我们
关于 Suppr公司介绍联系我们用户协议隐私条款
关注我们

Suppr 超能文献

核心技术专利:CN118964589B侵权必究
粤ICP备2023148730 号-1Suppr @ 2026

文献检索

告别复杂PubMed语法,用中文像聊天一样搜索,搜遍4000万医学文献。AI智能推荐,让科研检索更轻松。

立即免费搜索

文件翻译

保留排版,准确专业,支持PDF/Word/PPT等文件格式,支持 12+语言互译。

免费翻译文档

深度研究

AI帮你快速写综述,25分钟生成高质量综述,智能提取关键信息,辅助科研写作。

立即免费体验

冠状动脉锁骨下窃血综合征伴发室性心动过速。

Coronary-subclavian steal syndrome presenting with ventricular tachycardia.

机构信息

Department of Cardiology, Gulhane Military Medical Academy, Ankara, Turkey.

出版信息

Yonsei Med J. 2009 Dec 31;50(6):852-5. doi: 10.3349/ymj.2009.50.6.852. Epub 2009 Dec 18.

DOI:10.3349/ymj.2009.50.6.852
PMID:20046430
原文链接:https://pmc.ncbi.nlm.nih.gov/articles/PMC2796416/
Abstract

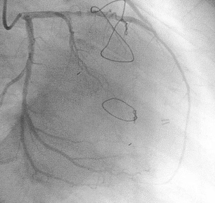
Coronary-subclavian steal through the left internal mammary graft is a rare cause of myocardial ischemia in patients who have had a coronary bypass surgery. We report a 70-year-old man who presented with sustained monomorphic ventricular tachycardia 5 years after the surgical creation of a left internal mammary to the left anterior descending artery. Cardiac catheterization illustrated that the left subclavian artery was occluded proximally and that the distal course was visualized by retrograde filling through the left internal mammary graft. Clinical ventricular tachycardia was reproducibly induced with a single ventricular extrastimulus, and antitachycardia pacing terminated the tachycardia. Restoration of blood flow by way of a Dacron graft placed between the descending aorta and the subclavian artery resulted in the total relief of symptoms. Ventricular tachycardia could not be induced during the control electrophysiologic study after surgical revascularization.

摘要

左内乳动脉桥至左前降支术后 5 年,1 例患者发生左锁骨下动脉近段闭塞,引起心肌缺血,导致持续性单形性室性心动过速,该患者为冠状动脉旁路移植术后少见的左内乳动脉窃血综合征。冠状动脉造影显示左锁骨下动脉近段闭塞,左内乳动脉桥通过逆行充盈显影。心外膜电生理检查时,单个心室早搏能诱发临床室性心动过速,抗心动过速起搏能终止心动过速。在降主动脉和锁骨下动脉之间放置涤纶移植物恢复血流,症状完全缓解。再次行冠状动脉旁路移植术后电生理检查时,室性心动过速不能诱发。

https://cdn.ncbi.nlm.nih.gov/pmc/blobs/263d/2796416/8b16a695e689/ymj-50-852-g005.jpg
https://cdn.ncbi.nlm.nih.gov/pmc/blobs/263d/2796416/7616176d1528/ymj-50-852-g001.jpg
https://cdn.ncbi.nlm.nih.gov/pmc/blobs/263d/2796416/f53f051666a9/ymj-50-852-g002.jpg
https://cdn.ncbi.nlm.nih.gov/pmc/blobs/263d/2796416/3ce3cd3d8573/ymj-50-852-g003.jpg
https://cdn.ncbi.nlm.nih.gov/pmc/blobs/263d/2796416/1f3207967399/ymj-50-852-g004.jpg
https://cdn.ncbi.nlm.nih.gov/pmc/blobs/263d/2796416/8b16a695e689/ymj-50-852-g005.jpg
https://cdn.ncbi.nlm.nih.gov/pmc/blobs/263d/2796416/7616176d1528/ymj-50-852-g001.jpg
https://cdn.ncbi.nlm.nih.gov/pmc/blobs/263d/2796416/f53f051666a9/ymj-50-852-g002.jpg
https://cdn.ncbi.nlm.nih.gov/pmc/blobs/263d/2796416/3ce3cd3d8573/ymj-50-852-g003.jpg
https://cdn.ncbi.nlm.nih.gov/pmc/blobs/263d/2796416/1f3207967399/ymj-50-852-g004.jpg
https://cdn.ncbi.nlm.nih.gov/pmc/blobs/263d/2796416/8b16a695e689/ymj-50-852-g005.jpg

相似文献

1
Coronary-subclavian steal syndrome presenting with ventricular tachycardia.冠状动脉锁骨下窃血综合征伴发室性心动过速。
Yonsei Med J. 2009 Dec 31;50(6):852-5. doi: 10.3349/ymj.2009.50.6.852. Epub 2009 Dec 18.
2
Coronary Subclavian Steal Syndrome in a 73-Year-Old Woman Presenting with Angiographically Confirmed Subclavian Artery Stenosis Proximal to the Left Internal Mammary.73 岁女性,因左内乳动脉近端有造影证实的锁骨下动脉狭窄而就诊,诊断为冠状锁骨下窃血综合征。
Am J Case Rep. 2022 Oct 26;23:e937015. doi: 10.12659/AJCR.937015.
3
The coronary subclavian steal syndrome: an uncommon sequel to internal mammary-coronary artery bypass surgery.冠状动脉锁骨下动脉盗血综合征:胸廓内动脉-冠状动脉搭桥手术后罕见的后遗症。
Thorac Cardiovasc Surg. 1994 Dec;42(6):351-4. doi: 10.1055/s-2007-1016522.
4
[Coronary-subclavian steal syndrome].[冠状动脉-锁骨下动脉窃血综合征]
Dtsch Med Wochenschr. 2002 May 24;127(21):1134-6. doi: 10.1055/s-2002-31527.
5
Coronary-subclavian steal syndrome. A case report.冠状动脉-锁骨下动脉窃血综合征。病例报告。
Rev Port Cardiol. 2005 Feb;24(2):253-8.
6
Diagnosis and management of the coronary-subclavian steal syndrome.冠状动脉-锁骨下动脉窃血综合征的诊断与管理
Eur J Cardiothorac Surg. 1989;3(6):565-7. doi: 10.1016/1010-7940(89)90121-8.
7
[Coronary subclavian steal syndrome after internal mammary artery bypass grafting. A cause of severe postoperative recurrent myocardial ischemia].[乳内动脉搭桥术后的冠状动脉锁骨下动脉窃血综合征。严重术后复发性心肌缺血的一个原因]
Arch Mal Coeur Vaiss. 2000 Dec;93(12):1555-9.
8
Incidence of coronary-subclavian steal syndrome in patients undergoing noncardiac surgery.非心脏手术患者冠状动脉-锁骨下动脉窃血综合征的发病率。
J Cardiothorac Vasc Anesth. 2001 Dec;15(6):689-92. doi: 10.1053/jcan.2001.28309.
9
Percutaneous transluminal angioplasty and stent placement for subclavian steal syndrome with concomitant anterograde flow in the left internal mammary artery graft for coronary artery bypass--case report.经皮腔内血管成形术及支架置入治疗锁骨下动脉窃血综合征并冠状动脉搭桥术中左乳内动脉桥顺行血流——病例报告
Neurol Med Chir (Tokyo). 2003 Oct;43(10):488-92. doi: 10.2176/nmc.43.488.
10
Subclavian-coronary steal through a LIMA-to-LAD bypass graft.通过左乳内动脉至左前降支搭桥移植术导致的锁骨下-冠状动脉窃血。
Cathet Cardiovasc Diagn. 1988;14(2):100-4. doi: 10.1002/ccd.1810140208.

引用本文的文献

1
Coronary subclavian steal syndrome: a case-based review.冠状动脉锁骨下动脉窃血综合征:基于病例的综述。
Herz. 2015 Apr;40(2):250-4. doi: 10.1007/s00059-013-3925-9. Epub 2013 Aug 8.

本文引用的文献

1
Reversed flow in internal mammary artery conduit and vertebral artery with left subclavian artery occlusion causing angina and vertigo. The coronary--subclavian steal syndrome.左锁骨下动脉闭塞致胸廓内动脉桥和椎动脉出现逆流,引发心绞痛和眩晕。冠状动脉-锁骨下动脉窃血综合征。
Int J Cardiol. 2001 Jul;79(2-3):311-4. doi: 10.1016/s0167-5273(01)00430-2.
2
[Coronary subclavian steal syndrome after internal mammary artery bypass grafting. A cause of severe postoperative recurrent myocardial ischemia].[乳内动脉搭桥术后的冠状动脉锁骨下动脉窃血综合征。严重术后复发性心肌缺血的一个原因]
Arch Mal Coeur Vaiss. 2000 Dec;93(12):1555-9.
3
Coronary artery bypass grafting and defibrillator implantation in patients with ventricular tachyarrhythmias and ischemic heart disease.
室性快速性心律失常和缺血性心脏病患者的冠状动脉旁路移植术和除颤器植入术。
Pacing Clin Electrophysiol. 1999 Aug;22(8):1132-9. doi: 10.1111/j.1540-8159.1999.tb00591.x.
4
Percutaneous transluminal angioplasty in coronary-internal thoracic-subclavian steal syndrome.经皮腔内血管成形术治疗冠状动脉-胸廓内动脉-锁骨下动脉窃血综合征
Can J Cardiol. 1997 Mar;13(3):285-9.
5
Percutaneous transluminal angioplasty of subclavian stenosis to improve inflow to internal mammary coronary arterial grafts.
Eur Radiol. 1996;6(2):220-3. doi: 10.1007/BF00181153.
6
Coronary subclavian steal syndrome following coronary by-pass surgery.冠状动脉搭桥术后的锁骨下动脉窃血综合征
Postgrad Med J. 1996 Jun;72(848):358-60. doi: 10.1136/pgmj.72.848.358.
7
[Coronary-subclavian steal syndrome: an unusual cause of recurrent myocardial ischemia following aortocoronary bypass].
Rev Med Liege. 1994 Jun 1;49(6):342-5.
8
Angina pectoris caused by subclavian coronary steal.锁骨下冠状动脉窃血所致心绞痛
Cathet Cardiovasc Diagn. 1993 Nov;30(3):230-2. doi: 10.1002/ccd.1810300311.
9
Coronary-subclavian steal: a cause of recurrent myocardial ischemia.冠状动脉-锁骨下动脉窃血:复发性心肌缺血的一个原因。
Ann Vasc Surg. 1993 Sep;7(5):452-6. doi: 10.1007/BF02002129.
10
Coronary-subclavian steal syndrome: report of five cases.冠状动脉-锁骨下动脉窃血综合征:5例报告
Ann Vasc Surg. 1995 Jan;9(1):115-22. doi: 10.1007/BF02015325.