Suppr超能文献

表现为急性Vogt-小柳-原田病的急性淋巴细胞白血病

Acute lymphoblastic leukemia manifesting as acute Vogt-Koyanagi-Harada disease.

作者信息

Yang Hee Kyung, Yu Hyeong Gon

机构信息

Department of Ophthalmology, Seoul National University College of Medicine, Seoul Artificial Eye Center, Seoul National University Hospital Clinical Research Institute, Seoul, Korea.

出版信息

Korean J Ophthalmol. 2009 Dec;23(4):325-8. doi: 10.3341/kjo.2009.23.4.325. Epub 2009 Dec 4.

Abstract

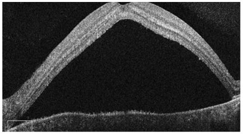
We describe a case of bilateral exudative retinal detachment associated with prodromal symptoms simulating the presentation of acute Vogt-Koyanagi-Harada disease that was eventually diagnosed as acute lymphoblastic leukemia. A 42-year-old man presented with sudden visual loss in both eyes for two weeks. He complained of intermittent headache, neck stiffness and tinnitus for a month. His best-corrected visual acuities were 20/200 in both eyes. Fluorescein angiography, optical coherence topography and indocyanine green angiography featured bilateral serous retinal detachments. A clinical diagnosis of incomplete type Vogt-Koyanagi-Harada disease was considered. However, complete blood cell count showed a marked increase in the number of white blood cells and bone marrow examination revealed precursor B cell lymphoblastic leukemia. The patient started on induction chemotherapy. A week later, his best-corrected visual acuities were 20/25 and the serous retinal detachments were nearly absorbed in both eyes. Bilateral exudative retinal detachment associated with neurologic and auditory abnormalities may be a presenting sign of acute lymphoblastic leukemia. Clinicians should be aware of the possibility of leukemia in such patients.

摘要

我们描述了一例双侧渗出性视网膜脱离病例,该病例伴有前驱症状,类似急性Vogt-小柳原田病的表现,最终被诊断为急性淋巴细胞白血病。一名42岁男性,双眼突发视力丧失两周。他主诉间歇性头痛、颈部僵硬和耳鸣一个月。他双眼的最佳矫正视力均为20/200。荧光素血管造影、光学相干断层扫描和吲哚菁绿血管造影显示双侧浆液性视网膜脱离。考虑临床诊断为不完全型Vogt-小柳原田病。然而,全血细胞计数显示白细胞数量显著增加,骨髓检查发现前体B细胞淋巴细胞白血病。患者开始进行诱导化疗。一周后,他的最佳矫正视力为20/25,双眼浆液性视网膜脱离几乎吸收。伴有神经和听觉异常的双侧渗出性视网膜脱离可能是急性淋巴细胞白血病的一个表现体征。临床医生应意识到此类患者患白血病的可能性。

https://cdn.ncbi.nlm.nih.gov/pmc/blobs/40a8/2789964/e46d6f22e647/kjo-23-325-g001.jpg

文献检索

告别复杂PubMed语法,用中文像聊天一样搜索,搜遍4000万医学文献。AI智能推荐,让科研检索更轻松。

立即免费搜索

文件翻译

保留排版,准确专业,支持PDF/Word/PPT等文件格式,支持 12+语言互译。

免费翻译文档

深度研究

AI帮你快速写综述,25分钟生成高质量综述,智能提取关键信息,辅助科研写作。

立即免费体验