Suppr超能文献

表现为小肠梗阻的急性阑尾炎:两例病例报告

Acute appendicitis presenting as small bowel obstruction: two case reports.

作者信息

Harrison Sanjay, Mahawar Kamal, Brown Dougal, Boobis Leslie, Small Peter

机构信息

Department of General Surgery, Sunderland Royal Hospital, Kayll Road, Sunderland SR4 7TP, UK.

出版信息

Cases J. 2009 Nov 28;2:9106. doi: 10.1186/1757-1626-2-9106.

Abstract

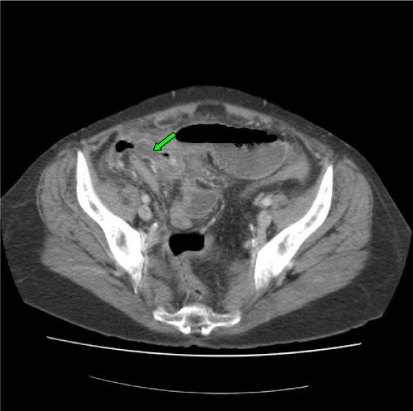
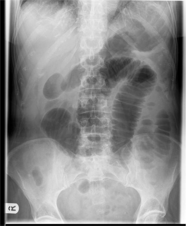
Acute appendicitis is a common surgical problem however the diagnosis is often overlooked when it presents as a small bowel obstruction. In this report we present two cases of elderly patients who presented with small bowel obstruction and raised inflammatory markers. Both patients were successfully treated with a laparotomy, adhesiolysis and appendicectomy and went on to make a good recovery.

摘要

急性阑尾炎是常见的外科问题,然而,当它表现为小肠梗阻时,诊断常常被忽视。在本报告中,我们介绍了两例老年患者,他们表现为小肠梗阻且炎症标志物升高。两名患者均通过剖腹手术、粘连松解术和阑尾切除术成功治疗,并顺利康复。

https://cdn.ncbi.nlm.nih.gov/pmc/blobs/7ff7/2803903/2e56bc163ede/1757-1626-2-9106-1.jpg

文献AI研究员

20分钟写一篇综述,助力文献阅读效率提升50倍。

立即体验

用中文搜PubMed

大模型驱动的PubMed中文搜索引擎

马上搜索

文档翻译

学术文献翻译模型,支持多种主流文档格式。

立即体验